باندینگ دندان چیست؟
باندینگ دندان (Dental bonding) به حالتی گفته می شود که در طی آن از یک ماده رزینی به رنگ دندان یا اصطلاحاً یک ماده پلاستیکی با طول عمر بالا برای ترمیم دندانها و پوشش نقاط ضعف آنها استفاده می شود و از یک نور خاص برای سخت کردن آن کمک گرفته میشود. روشهای باندینگ دندانی ابزار خوبی برای حفظ ظاهر و سلامت دندان است و به همین دلیل دندانپزشک متخصص ترمیمی و زیبایی از آن به عنوان یک راهکار برای جلوگیری از پوسیدگی دندان ها و حفظ ظاهر آنها استفاده میکند.
معمولاً باندینگ دندان به عنوان یک راهکار در نظر گرفته می شود که زیبایی دندان ها را در بهترین سطح ممکن حفظ می کند. با این وجود در این مطلب به شما خواهیم گفت که استفاده از این روش با چه امتیاز هایی همراه است.
باندینگ دندان در چه حالت هایی به کار گرفته می شود؟
در این نوشته می خوانید:
باندینگ دندان ها هم از لحاظ سلامتی و هم از لحاظ زیبایی راهکار مناسبی است. در این شیوه یک پوشش محکم روی دندان ها قرار داده می شود تا از آسیب دیدن بیشتر آنها جلوگیری کند و ظاهر زیبایی به دندانها ببخشد. دندانپزشک ترمیمی و زیبایی از روشهای باندینگ دندانی برای موارد زیر استفاده می کند:
- به منظور ترمیم دندانهای پوسیده و استفاده از رزین های کامپوزیتی برای پر کردن حفره دندان ها
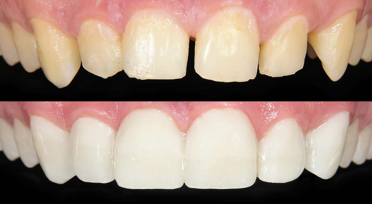
- برای ترمیم دندانهای خرد شده یا ترک خورده
- برای بهبود ظاهر دندان های تغییر رنگ داده
- برای پر کردن فاصله بین دندانی
- برای این که دندان ها بزرگ تر به نظر برسند
- برای تغییر شکل دندان ها
- به عنوان یک روکش زیبایی برای پرکننده آمالگام
- به عنوان یک عامل محافظ برای ریشه دندان به هنگام تحلیل لثه
باندینگ دندان چگونه انجام میشود؟
قرار دادن لایه رزین کامپوزیتی روی دندان ها نیاز به چند مرحله دارد و دندانپزشک باید این لایه را تحت شرایط استاندارد و مناسب روی دندان ها اعمال کند. این فرایند را می توانیم به چند بخش زیر تقسیم کنیم:
آماده سازی
دندانپزشکان معمولاً باید چند مرحله را به عنوان مقدمه باندینگ دندان انجام دهند. در اغلب موارد نیازی به استفاده از مواد بی حسی موضعی نیست، اما زمانی که بحث باندینگ و پرکردن دندان های پوسیده مطرح شود یا دندانپزشک به دنبال تغییر شکل دندان باشد ممکن است از بیحسی موضعی استفاده کند. معمولاً دندانپزشک با توجه به رنگ دندان های شما به سراغ یک رنگ نزدیک به آنها میرود و ممکن است از سایه هم برای طبیعی تر کردن باندینگ کمک بگیرد.
انجام باندینگ دندان
در این مرحله باید ابتدا سطح دندان تراش خورده و از یک مایع خاص برای تمیز کردن آن استفاده کند. این کار برای چسبیدن ماده رزینی به سطح دندان لازم است. در ادامه رزین روی دندان ها اعمال می شود و با استفاده از ابزارهای خاص صاف و به شکل دلخواه میرسد. دندانپزشک از یک لیزر روشن به رنگ آبی برای سخت کردن مواد استفاده می کند.
بعد از سخت شدن مواد رزینی دندانپزشک وظیفه اصلاح و شکل دهی آن را به عهده میگیرد و سطح آن را صیقل می دهد تا همانند سطح دندان های طبیعی باشد. مدت زمان انجام باندینگ دندان به مهارت دندانپزشک و شرایط دندانهای فرد بستگی دارد و معمولاً به زمانی بین ۳۰ تا ۶۰ دقیقه نیاز دارد.
مزایای باندینگ دندانپزشکی چیست؟
باندینگ دندان از ساده ترین و کم هزینه ترین روش های ترمیمی و زیبایی دندان است. برخلاف استفاده از روکش ها که معمولاً به صورت سفارشی هستند و باید در آزمایشگاه تولید شوند، این روش معمولاً به هنگام مراجعه به مطب انجام می شود و نیازی به صبر کردن برای تولید آن نیست و معمولا در یک جلسه قابل انجام است
مزیت دیگری که این شیوه نسبت به روکش دندان دارد این است که معمولاً نیازی به بی حسی موضعی و بیهوشی نیست. به همین دلیل هم دندان پزشک و بیمار دردسر کمتری تحمل می کنند و برای آنها راحت است.
معایب باندینگ دندان
اگر چه پوشش رزین کامپوزیتی مقاومت بالایی در برابر لکه دار شدن دارد اما به اندازه روکش مقاوم نیست. ایراد دیگری که به آنها وارد می شود این است که مواد باندینگی به اندازه سایر روش های ترمیمی مانند روکش دندان یا پرکننده ها قوی نیست و به همین دلیل امکان جدا شدن آن وجود دارد. در ضمن امکان تراشیده شدن و ساییدگی سطح دندان در اثر برخورد آنها با یکدیگر وجود دارد.
این ویژگی های خاص باعث شده که برخی از دندانپزشکان آن را برای تغییرات کوچک ظاهری و برای تصحیح موقت نقص های ظاهری و برای اصلاح دندان در قسمتهای جلو مناسب بدانند و باندینگ دندان را برای کسانی انجام دهند که در قسمت دندان های جلویی خود مشکل دارند. با این وجود دندانپزشک ترمیمی و زیبایی می تواند نظر نهایی را در مورد مشکل شما و استفاده از گزینه های مختلف بدهد.
آیا دندان های باندینگ شده به مراقبت خاصی نیاز دارند؟
دندان های باندینگ شده نیازی به مراقبت خاص و ویژه ندارند. هنگام استفاده از این روش تمامی اصول بهداشت دهان و دندان را رعایت کنید و حداقل دو بار در روز مسواک بزنید. استفاده روزانه از نخ دندان و یک یا دو بار از محلول دهانشویه به شما کمک میکند که بهداشت دهان و دندان را به خوبی رعایت کنید و برای معاینه منظم و تمیز کردن حرفهای دندان ها هم به دندانپزشک مراجعه کنید.
با توجه به اینکه باندینگ دندان احتمال جدا شدن آن به صورت تراشه را فراهم می کند باید عادت هایی مانند گاز زدنناخن یا مداد را ترک کنید. جویدن اشیا سخت و یخ با استفاده از دندان های باندینگ شده به هیچ وجه توصیه نمی شود. اگر احساس کردید که دندانهای شما لبه های تیز دارند یا در هنگام گاز زدن احساس عجیب و غریب داشتید حتماً با دندانپزشک خود تماس بگیرید.
باندینگ دندان به چه اندازه عمر دارد؟
طول عمر دندان های باندینگ شده بسته به حجم باندینگ و عادت های فردی شما ممکن است تغییر کند. به طور معمول این ابزار از ۳ تا ۱۰ سال عمر میکند و اگر به خوبی از آن نگهداری کنید می توانید برای مدت زمان طولانی تری دندان های زیبایی داشته باشید.
هزینه باندینگ دندانپزشکی چقدر است؟
هزینه باندینگ دندان بسته به مکانی که در آنجا زندگی می کنید ممکن است متفاوت باشد. بطور کلی هزینه این روش درمانی با توجه به شرایط بیمه و نوع دندان ها و تغییراتی که دندانپزشک روی دندانها اعمال میکند متغیر است و بهتر است که در این مورد با دندانپزشک به توافق برسید. همچنین انجام آن در مطب خصوصی یا کلینیک دندانپزشکی با تعرفه های جداگانه انجام میشود
جمع بندی
باندینگ دندان یعنی اعمال یک لایه رزین کامپوزیتی روی دندان ها به منظور پوشش دادن نقاط ضعف آنها و از بین بردن شکاف بین دندان ها. این روش نسبت به روکش دندان و لمینت ها ارزان تر است و به همین دلیل اکثر بیماران از آن استقبال می کنند. از طرف دیگر مراقبت از دندانهای باندینگ شده نیاز به ترک برخی عادت ها مانند جویدن یخ و جویدن مداد دارد و کسانی که دندان قروچه دارند امکان استفاده از این ابزار را ندارند.
حالا اگر میخواهید بدانید که روش باندینگ دندان برای شما مناسب است یا خیر از شماره های سایت استفاده کنید تا هم امکان رزرو وقت را به شما بدهیم و هم بتوانید سوالات خود را مطرح کنید.






دیدگاه خود را ثبت کنید
تمایل دارید در گفتگوها شرکت کنید؟در گفتگو ها شرکت کنید.