بلیچینگ دندان

بازیابی سفیدی و درخشندگی دندان ها

بلیچینگ (سفید کردن دندان)

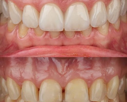
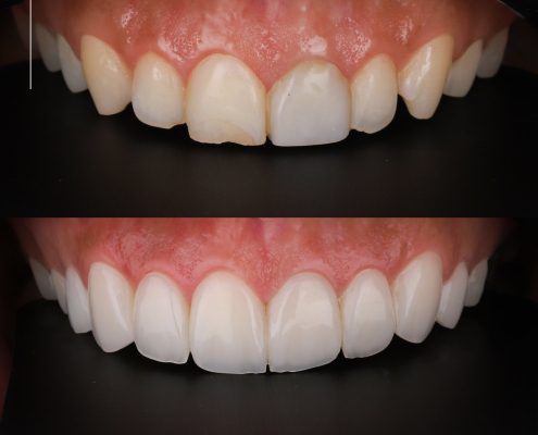
بلیچینگ دندان یکی از محبوب‌ترین و مؤثرترین روش‌ها برای سفید کردن دندان‌ها و بهبود ظاهر لبخند است. این روش با استفاده از مواد سفیدکننده انجام می‌شود که به طور عمیق لکه‌ها و زردی‌های دندان را از بین می‌برد. بسیاری از افراد از بلیچینگ دندان به عنوان راهی برای افزایش اعتماد به نفس و جذابیت ظاهری خود استفاده می‌کنند

سفیدی لبخندتان، هدیه‌ای از دکتر سید رضا خسروانی

دندان‌ها آیینه‌ای هستند که لبخندتان را به جهان نشان می‌دهند. زیبایی و درخشش دندان‌ها، اعتماد به نفس و جذابیت را به همراه دارد. اما گاه زردی یا کدری دندان‌ها، همچون ابری روی این آینه می‌نشیند و لبخند شما را کم‌فروغ می‌کند. خوشبختانه، دکتر سید رضا خسروانی، متخصص برجسته دندانپزشکی زیبایی و ترمیمی، با بهره‌گیری از دانش روز و تجربه‌ای بی‌بدیل، خدمات حرفه‌ای بلیچینگ دندان را به شما ارائه می‌دهد تا لبخندتان همچون الماس بدرخشد.

چرا دکتر سید رضا خسروانی؟

دکتر خسروانی، عضو هیئت علمی دانشکده دندانپزشکی شهید بهشتی و رتبه برتر بورد تخصصی کشور، سال‌هاست که با تلاش و پشتکار، جایگاهی ویژه در دندانپزشکی زیبایی به دست آورده است. وی، به‌عنوان مدرس دوره‌های پیشرفته دندانپزشکی زیبایی و سخنران معتبر کنگره‌های داخلی و بین‌المللی، از جدیدترین تکنیک‌های علمی و عملی بهره می‌برد. مقالات علمی متعدد او که در معتبرترین مجلات دندانپزشکی جهان منتشر شده‌اند، گواهی بر تخصص و توانایی او هستند.

بلیچینگ دندان؛ بازگرداندن روشنایی به لبخندتان

بلیچینگ دندان یکی از خدمات تخصصی ارائه‌شده در کلینیک دکتر خسروانی است که با دقت و توجهی مثال‌زدنی انجام می‌شود. این روش، برای کسانی که به دنبال سفیدی طبیعی و جذاب دندان‌های خود هستند، بهترین انتخاب است. زردی ناشی از مصرف قهوه، چای، سیگار یا حتی گذر زمان، با بلیچینگ حرفه‌ای قابل رفع است.

تکنیک بلیچینگ در کلینیک دکتر خسروانی

در کلینیک تخصصی دکتر خسروانی، بلیچینگ دندان با پیشرفته‌ترین دستگاه‌ها و مواد استاندارد جهانی انجام می‌شود. این روش در محیطی آرام صورت می‌گیرد و بسته به نیاز بیمار، ممکن است یک جلسه یا چند جلسه طول بکشد. نکته برجسته در این کلینیک، توجه به جزئیات و دقت در اجرای تکنیک‌هاست تا نتیجه‌ای بی‌نقص حاصل شود.

لبخندی ماندگار با دکتر خسروانی

دکتر خسروانی با رویکردی علمی و هنری، بلیچینگ دندان را نه تنها به‌عنوان یک روش دندانپزشکی زیبایی، بلکه به‌عنوان خلق زیبایی می‌نگرد. او با ترکیب تجربه، دانش و هنر، هر دندان را همچون اثری هنری می‌بیند و تلاش می‌کند لبخند شما به‌یادماندنی باشد.

بلیچینگ یا سفیدکننده‌های خانگی؟

شاید از خود بپرسید چرا بلیچینگ حرفه‌ای در کلینیک دکتر خسروانی را انتخاب کنید. پاسخ ساده است: نتیجه‌ای ایمن، ماندگار و تخصصی. دکتر خسروانی با ارزیابی دقیق وضعیت دندان‌های شما، روشی متناسب با شرایطتان ارائه می‌دهد. استفاده از مواد غیراستاندارد در خانه می‌تواند آسیب جدی به مینای دندان وارد کند، اما در کلینیک دکتر خسروانی، همه چیز تحت نظارت مستقیم و حرفه‌ای انجام می‌شود.

چرا بلیچینگ مهم است؟

سفیدی دندان‌ها نه تنها بر زیبایی ظاهری تأثیر می‌گذارد، بلکه باعث می‌شود افراد هنگام صحبت یا لبخند زدن احساس راحتی بیشتری کنند. در کلینیک دکتر خسروانی، بلیچینگ تنها یک تغییر ظاهری نیست، بلکه سرمایه‌گذاری بر اعتماد به نفس و جذابیت شخصی شماست.

تجربه بیماران کلینیک

بیمارانی که بلیچینگ دندان خود را در کلینیک دکتر خسروانی انجام داده‌اند، از نتایج بی نظیر آن شگفت‌زده شده‌اند. تجربه‌ای که لبخندی درخشان‌تر و حسی بهتر از خود به ارمغان آورده است. یکی از مراجعین می‌گوید: “لبخندم پس از بلیچینگ در کلینیک دکتر خسروانی، به معنای واقعی تغییر کرد. حالا با اعتماد به نفس بیشتری می‌خندم.

بلیچینگ؛ فراتر از یک زیبایی سطحی

دکتر خسروانی معتقد است که بلیچینگ تنها یک فرآیند زیبایی نیست، بلکه راهی برای افزایش کیفیت زندگی است. او با استفاده از دانش و تجربه خود، تلاش می‌کند تا لبخند شما بازتابی از شخصیت و جذابیت شما باشد.

دعوت به تجربه لبخندی نو

اگر رویای داشتن دندان‌هایی سفید و لبخندی بی‌نقص را در سر دارید، کلینیک تخصصی دندانپزشکی دکتر سید رضا خسروانی انتخابی است که شما را ناامید نخواهد کرد. هم‌اکنون وقت مشاوره خود را رزرو کنید و اولین گام را به‌سوی لبخندی درخشان بردارید.

تجربیات بیماران

تجربیات بیماران

واقعا محشر بود! من قبلاً کلی تحقیق کردم برای بلیچینگ دندان در تهران و در نهایت به دکتر خسروانی رسیدم. نتیجه فوق‌العاده طبیعی و درخشان شده! مهم‌تر از همه اینه که هیچ حساسیتی بعد از انجام Teeth whitening نداشتم. ممنون از تیم حرفه‌ای و خوش‌برخورد کلینیک! 🙌✨

ر. م

اگه دنانتخاب درست! چند ماه بود دنبال یه متخصص حرفه‌ای برای بلیچ دندان می‌گشتم، چون دندون‌هام لک‌های قدیمی داشتن. دکتر خسروانی رو به توصیه یکی از دوستام انتخاب کردم و بهترین تصمیم زندگیم بود. دندونام نه تنها سفید شده، بلکه طبیعی و درخشان به نظر میاد. 😍

س. ک

بهترینکیفیت و مهارت در یک جا! دکتر خسروانی یه فوق‌العاده‌س! از قبل از انجام سفید کردن دندان همه چیزو دقیق توضیح داد و مواد بلیچینگ خیلی باکیفیتی استفاده کرد. نتیجه؟ یه لبخند هالیوودی بدون آسیب!

م. ن

کیفیتاز نتیجه راضی‌ام! تا حالا اینقدر از دندونام راضی نبودم! بلیچینگ رو با دستگاه حرفه‌ای انجام دادن و واقعاً تفاوتو حس می‌کنم. حتی اطرافیانم هم متوجه تغییر شدن! 😁✨

ف. ج

بدون من حساسیت دندون دارم و خیلی نگران بودم، ولی دکتر خسروانی با تجربه بالاش کاری کرد که هیچ مشکلی برام پیش نیاد. لبخندم واقعاً درخشان شده! 😍

ن. ش

پیشنهاد می‌کنم بدون شک! اگه دنبال بهترین بلیچینگ دندان در تهران هستید، حتماً پیش دکتر خسروانی برید. فوق‌العاده حرفه‌ای و دلسوز هستن، نتیجه هم خیلی طبیعی و زیبا شده!

ی. ق

بعد از سال‌ها نوشیدن قهوه، دندونام زرد شده بود. دکتر خسروانی با Teeth whitening حرفه‌ای‌شون دندونامو مثل روز اولش کرد! حس می‌کنم چند سال جوون‌تر شدم.

ح. و

کلی گشتم تا یه متخصص خوب پیدا کنم که بلیچینگ رو اصولی انجام بده. توی کلینیک دکتر خسروانی از مواد درجه‌یک استفاده میشه و نتیجه عالی بود. دندونام نه‌تنها سفید، بلکه خیلی سالم‌تر شدن!

ش. ر

بالاتر از انتظارم بود! از بلیچینگ می‌ترسیدم که نکنه دندونام ضعیف بشن، ولی دکتر خسروانی با مواد باکیفیت و روش درست باعث شد بهترین نتیجه رو بگیرم. بدون شک پیشنهادش می‌کنم!

د. ن

نتیجه ماندگار و عالی! شش ماه از سفید کردن دندان‌هام می‌گذره و هنوزم فوق‌العاده‌س! رنگش ثابت مونده و درخشان‌تر از قبل. ممنون از دکتر خسروانی عزیز. 🌟

م. د

لبخند، الماسی درخشان در چهره شما

لبخند، زبان بی‌صدای روح است، و دندان‌های سفید، جواهراتی که آن را به گوش جهانیان می‌رسانند. اما اگر این جواهرات درخشش خود را از دست داده‌اند، پاسخ به این پرسش که بلیچینگ دندان چیست؟ پاسخی به این نیاز است. این روش، همانند وزیدن نسیمی تازه بر برگ‌های پاییزی، لکه‌ها و تیرگی‌های دندان‌ها را می‌زداید و زیبایی طبیعی را به لبخندتان بازمی‌گرداند.

قصه‌ی رنگ‌ها و زمان

دندان‌ها، همچون بوم نقاشی، طی سال‌ها رنگ‌های مختلفی را از زندگی دریافت می‌کنند؛ از سیاهی قهوه صبحگاهی تا قرمزی چای شامگاهی. اما آیا نمی‌خواهید این بوم، سفید و درخشان باقی بماند؟ سفید کردن دندان، پاسخی به این آرزو است که رنگ‌ها و لکه‌ها را پاک کرده و داستانی تازه از شفافیت روایت می‌کند.

انواع بلیچینگ دندان: انتخابی برای هر لبخند

همانطور که هر انسانی داستانی خاص دارد، بلیچینگ نیز روش‌های متنوعی را ارائه می‌دهد:

  • انواع بلیچینگ دندان به دو روش اصلی تقسیم می‌شوند که هر کدام ویژگی‌ها و مراحل خاص خود را دارند:
    • بلیچینگ خانگی (Home Bleaching): برای کسانی که ترجیح می‌دهند خودشان و در زمان دلخواه، دندان‌هایشان را سفید کنند.
    • بلیچینگ در مطب (Office Bleaching): انتخابی برای افرادی که به دنبال نتیجه‌ای سریع و حرفه‌ای هستند.

    بلیچینگ دندان در منزل: سفیدی در آرامش خانه

    در روش بلیچینگ خانگی یا هوم بلیچینگ، دندانپزشک با قالب‌گیری از فک شما، وسیله‌ای به نام تری شفاف تهیه می‌کند.

    • این تری به طور دقیق طراحی شده تا ماده سفیدکننده به تمام دندان‌ها برسد.
    • مواد مخصوص بلیچینگ را در این قالب قرار می‌دهید و طبق دستور متخصص، از آن استفاده می‌کنید.
    • نتیجه؟ لبخندی که مثل صبحی آفتابی، روشن و شفاف است.

    بلیچینگ دندان در مطب: جادوی دست‌های حرفه‌ای

    روش بلیچینگ در مطب یا آفیس بلیچینگ مانند یک مراسم جادویی است که در آن:

    • ابتدا لثه‌های شما با مواد محافظت می‌شوند.
    • سپس، ماده سفیدکننده با غلظت بالا روی دندان‌ها قرار می‌گیرد.
    • بسته به نوع ماده، از نور، گرما یا واکنش شیمیایی برای فعال‌سازی استفاده می‌شود.
      نتیجه این روش سریع‌تر و با ظرافت و درخشندگی بیشتر است و در کمتر از یک ساعت، دندان‌هایی سفیدتر خواهید داشت.

نکات مهم در انتخاب روش مناسب بلیچینگ دندان

  • اگر زمان کافی دارید و به دنبال روشی اقتصادی‌تر هستید، بلیچینگ خانگی انتخابی مناسب است.
  • اگر می‌خواهید سریعو با بهترین کیفیت زیر نظر متخصص به نتیجه برسید، بلیچینگ در مطب راهی عالی است.
  • در هر دو روش، همکاری با دندانپزشک ضروری است تا نتیجه‌ای مطلوب داشته باشید.

بلیچینگ دندان؛ راهی به سوی لبخند جاودانه

سفیدی دندان‌ها، نمادی از درخشندگی روح و جذابیت چهره است. اما کدام روش می‌تواند این درخشندگی را بهتر به لبخند شما بازگرداند؟ انتخاب میان روش‌های مختلف سفید کردن دندان می‌تواند گیج‌کننده باشد. در این بخش، به بررسی دقیق  دو روش اصلی بلیچ دندان می‌پردازیم و راهنمایی می‌کنیم که چگونه بهترین نتیجه را کسب کنید:

بهترین روش سفید کردن دندان‌ها چیست؟

اساتید دندانپزشکی زیبایی معتقدند ترکیب این دو روش، نتیجه‌ای بی‌نظیر را به همراه دارد.

  1. ابتدا با بلیچینگ در مطب، دندان‌ها به سرعت سفیدی اولیه خود را بازیابند.
  2. سپس با بلیچینگ خانگی، این سفیدی تثبیت و ماندگار می‌شود.

این ترکیب، همانند دو بال برای پرواز به سوی لبخندی کامل عمل می‌کند.

مزایای بلیچینگ دندان در مطب

بلیچ دندان در مطب یا آفیس بلیچینگ برای کسانی مناسب است که به دنبال نتایج فوری و با ظرافت بالا تحت نظر متخصص هستند:

  • تنها در یک جلسه، دندان‌های شما چند درجه روشن‌تر می‌شوند.
  • مواد قوی‌تر و دستگاه‌های پیشرفته، فرآیند را سریع‌تر می‌کنند.
  • بهترین گزینه برای مراسم یا رویدادهای نزدیک.

چرا بلیچینگ خانگی مکملی بی‌نظیر است؟

بلیچینگ خانگی، برخلاف روش در مطب، روندی آرام‌تر اما ماندگار دارد:

  • با استفاده از قالب‌های سفارشی و مواد مخصوص، کنترل بیشتری بر فرآیند خواهید داشت.
  • سفیدی به تدریج به دندان‌ها نفوذ کرده و ماندگاری بیشتری ایجاد می‌کند.
  • هزینه این روش معمولاً اقتصادی‌تر است.

ترکیب دو روش: راز موفقیت در سفید کردن دندان‌ها

  • شروع در مطب: اولین قدم برای دستیابی به نتیجه سریع و قابل مشاهده.
  • ادامه در خانه: تثبیت و حفظ سفیدی برای مدت طولانی‌تر.
  • نتیجه؟ لبخندی که همچون نوری درخشان، هر نگاه را به خود جلب می‌کند.

چقدر بلیچینگ دندان موثر است؟

اثربخشی بلیچینگ دندان به عوامل متعددی بستگی دارد:

  • نوع لکه‌ها و تیرگی‌های دندان.
  • همکاری شما با دندانپزشک و رعایت توصیه‌ها.
  • استفاده منظم از قالب‌ها و مواد در روش خانگی.

نکات کلیدی برای افزایش ماندگاری بلیچینگ دندان

  • پس از بلیچینگ، از مصرف نوشیدنی‌های رنگی مانند قهوه و چای خودداری کنید.
  • از خمیر دندان‌های مخصوص برای حفظ سفیدی استفاده کنید.
  • معاینات دوره‌ای نزد دندانپزشک را فراموش نکنید.

سفید کردن دندان تنها یک درمان نیست، بلکه سرمایه‌گذاری روی زیبایی و اعتماد به نفس شماست. ترکیب روش‌های بلیچ دندان، راهی است به سوی لبخندی که مانند یک اثر هنری، برای همیشه در ذهن‌ها باقی می‌ماند. با انتخاب هوشمندانه و همکاری با دندانپزشک، می‌توانید سفیدی دندان‌هایتان را جاودانه کنید.

سفیدتر از برف: بلیچینگ دندان چقدر می‌تواند لبخندتان را دگرگون کند؟

هنگامی که صحبت از بلیچینگ دندان می‌شود، اغلب افراد به دنبال پاسخی دقیق برای این پرسش هستند که “دندان‌ها چقدر روشن‌تر می‌شوند؟” اما واقعیت این است که این فرآیند، همانند خلق یک اثر هنری روی بوم سفید دندان‌های شما، پاسخی ثابت ندارد. در ادامه، این موضوع را دقیق تر بررسی میکنیم:


۱. فرایندی که به درخشندگی لبخند می‌انجامد

بلیچینگ دندان‌ها به معنای بازگرداندن روشنی طبیعی آنهاست، اما نتایج آن به عوامل متعددی وابسته است. برخی از این عوامل شامل جنس دندان‌ها، میزان لکه‌های سطحی یا عمقی، و حتی روش استفاده‌شده برای بلیچینگ می‌شوند. اگرچه نمی‌توان یک عدد مشخص برای میزان سفید شدن دندان‌ها اعلام کرد، اما بسته به شرایط، این فرآیند می‌تواند از یک درجه روشن‌تر تا چندین درجه تغییر ایجاد کند.


۲. چرا نتایج بلیچینگ متفاوت است؟

نوع رنگدانه‌های موجود در سطح و عمق دندان یکی از مهم‌ترین عوامل تأثیرگذار بر نتایج بلیچینگ است. رنگدانه‌هایی که به‌مرور زمان از طریق مصرف مواد غذایی، نوشیدنی‌ها و سیگار روی دندان‌ها رسوب کرده‌اند، ممکن است سخت‌تر از بین بروند. به همین دلیل، دندان‌هایی که رنگدانه‌های قدیمی‌تر و مقاوم‌تری دارند، معمولاً به جلسات بیشتری نیاز دارند. حتی دندانپزشکان با تجربه نیز نمی‌توانند پیش‌بینی دقیقی از میزان روشن شدن دندان‌ها ارائه دهند. اما آنچه که می‌توان با اطمینان گفت این است که بلیچینگ دندان لبخندی زیباتر و درخشان‌تر برای شما به ارمغان خواهد آورد.

مزایای بلیچینگ دندان: سفیدی که فراتر از زیبایی است

مزایای بلیچینگ دندان فراتر از ظاهر است:

  • مانند پرتو خورشید که به گلبرگ‌ها انرژی می‌بخشد، بلیچ دندان اعتماد به نفس شما را تقویت می‌کند.
  • دندان‌هایی سفید، لبخند شما را به شاهکاری بی‌همتا بدل می‌سازد.
  • دیگر نگران آثار قهوه، چای یا سیگار نباشید؛ بلیچینگ همه را از بین می‌برد.
  • دندان‌های سفیدتر، شما را جوان‌تر و شاداب‌تر نشان می‌دهد.
  • لبخندتان به ابزاری برای جلب توجه و تحسین تبدیل می‌شود.
  • لکه‌ها و تیرگی‌هایی که سال‌ها روی دندان‌ها جا خوش کرده‌اند، به یکباره محو می‌شوند.

راز ماندگاری لبخندی درخشان: مراقبت‌های بعد از بلیچینگ دندان

بلیچینگ دندان یکی از محبوب‌ترین روش‌ها برای دستیابی به لبخندی سفید و زیبا است. اما سفیدی دندان‌ها تنها به فرآیند بلیچینگ ختم نمی‌شود؛ مراقبت‌های پس از آن نقش مهمی در حفظ نتیجه دارند. در این بخش، به بررسی نکات ضروری و کاربردی برای نگهداری از دندان‌ها پس از بلیچینگ می‌پردازیم تا بتوانید زیبایی لبخندتان را برای مدت طولانی‌تری حفظ کنید.


۱. بهداشت دهان و دندان: ستون اصلی سفیدی دندان‌ها

پس از انجام بلیچینگ دندان، رعایت دقیق بهداشت دهان ضروری است. روزانه حداقل دو بار مسواک بزنید و از نخ دندان برای پاکسازی بین دندان‌ها استفاده کنید. این عادت‌ها به جلوگیری از تجمع پلاک و لکه‌های جدید کمک می‌کنند و درخشندگی دندان‌ها را حفظ خواهند کرد.


۲. نوشیدنی‌های رنگدانه‌دار: دوست یا دشمن؟

نوشیدنی‌هایی مانند قهوه، چای، و نوشابه‌های گازدار دشمن اصلی دندان‌های سفید شده هستند. اگر نمی‌توانید از مصرف این نوشیدنی‌ها صرف‌نظر کنید، سعی کنید از نی استفاده کنید تا تماس مستقیم آنها با دندان‌ها کاهش یابد. همچنین، پس از مصرف این نوشیدنی‌ها، دهان خود را با آب شستشو دهید.


۳. تأثیر رژیم غذایی بر ماندگاری سفیدی دندان‌ها

رژیم غذایی شما نقش حیاتی در ماندگاری نتایج بلیچینگ دارد. غذاهای رنگی مانند زعفران، سس سویا، و انواع توت‌ها می‌توانند به مرور زمان دندان‌ها را لک کنند. سعی کنید این مواد غذایی را در رژیم خود کاهش دهید یا بلافاصله پس از مصرف آنها دهان خود را تمیز کنید.


۴. خمیردندان‌های سفیدکننده: گزینه‌ای مؤثر برای مراقبت

استفاده از خمیردندان‌های سفیدکننده به حفظ نتایج بلیچینگ کمک می‌کند. این خمیردندان‌ها حاوی مواد خاصی هستند که مانع از ایجاد لکه‌های جدید روی دندان‌ها می‌شوند. با این حال، از مصرف بیش از حد آنها خودداری کنید تا به مینای دندان آسیب نرسد.


۵. آب کافی بنوشید

نوشیدن آب نه‌تنها برای سلامت عمومی بدن مفید است، بلکه می‌تواند به شستشوی طبیعی دندان‌ها و کاهش لکه‌ها کمک کند. همچنین، آب باعث می‌شود که بزاق کافی در دهان تولید شود که به جلوگیری از خشکی دهان و ایجاد لکه کمک می‌کند.


۶. بلیچینگ دوره‌ای: کلید ماندگاری نتایج

فراموش نکنید که نتایج بلیچینگ دندان دائمی نیستند. برای حفظ رنگ سفید دندان‌ها، بهتر است پس از یک الی دو سال (بسته به میزان مراقبت از دندان ها) به دندانپزشک خود مراجعه کرده و جلسات تکمیلی بلیچینگ را انجام دهید. این کار باعث تازه شدن رنگ دندان‌ها و جلوگیری از زرد شدن مجدد آنها می‌شود.


۷. سیگار: دشمن شماره یک دندان‌های سفید

سیگار کشیدن نه تنها برای سلامت کلی بدن مضر است، بلکه تأثیر منفی شدیدی بر سفیدی دندان‌ها دارد. نیکوتین موجود در سیگار باعث زرد شدن سریع دندان‌ها می‌شود. اگر به سفیدی دندان‌های خود اهمیت می‌دهید، ترک سیگار یکی از بهترین تصمیماتی است که می‌توانید بگیرید.


۸. مراجعه منظم به دندانپزشک

مراجعه به دندانپزشک برای چکاپ‌های منظم، فرصتی عالی برای اطمینان از سلامت و زیبایی دندان‌های شماست. دندانپزشک می‌تواند هرگونه مشکل احتمالی را شناسایی کرده و قبل از بروز آسیب جدی، آن را برطرف کند.


۹. عادت‌هایی برای لبخندی ماندگار

برای داشتن لبخندی که همواره درخشان و زیبا باشد:

  • از دهانشویه‌های مناسب استفاده کنید.
  • به طور مرتب مسواک خود را تعویض کنید.
  • مواد غذایی اسیدی مانند مرکبات را با احتیاط مصرف کنید.

مراقبت‌های بعد از بلیچینگ دندان، همانند نگهداری از یک اثر هنری ارزشمند است. با رعایت نکات گفته‌شده، می‌توانید مدت‌ها از لبخند درخشان خود لذت ببرید و اعتمادبه‌نفس بیشتری در تعاملات روزمره داشته باشید.

عوارض بلیچینگ دندان: هر زیبایی به تلاشی نیاز دارد

مانند هر تغییر بزرگی، بلیچینگ هم ممکن است حساسیت‌های کوتاه‌مدتی ایجاد کند. اما این عوارض، مثل مه صبحگاهی، به سرعت از بین می‌روند. استفاده از خمیردندان‌های مخصوص و پرهیز از مواد رنگ‌زا می‌تواند این حساسیت‌ها را به حداقل برساند.

هزینه و قیمت بلیچینگ دندان: زیبایی به چه قیمتی؟

وقتی صحبت از زیبایی لبخند به میان می‌آید، ارزش آن فراتر از هر هزینه‌ای است. اما اگر بخواهید بدانید، هزینه و قیمت بلیچینگ دندان به نوع روش، مواد استفاده شده و تجربه دندانپزشک بستگی دارد. این یک سرمایه‌گذاری برای خودتان است که نتایج آن تا سال‌ها باقی می‌ماند.

طول عمر و هزینه بلیچینگ دندان 1403: چقدر ماندگاری دارد؟

نتایج بلیچینگ، همانند پرنده‌ای آزاد، بسته به مراقبت شما ماندگار است. اگر به توصیه‌های دندانپزشک عمل کنید، این روش می‌تواند تا چندین سال لبخندی درخشان را به شما هدیه دهد.

توصیه‌هایی برای درخشندگی بیشتر دندان پس از بلیچینگ

  • از نوشیدنی‌های رنگی مانند قهوه و چای دوری کنید، چرا که دشمن شماره یک سفیدی دندان‌ها هستند.
  • با مسواک زدن منظم و استفاده از نخ دندان، به دندان‌های خود عشق بورزید.
  • استفاده از خمیردندان‌های مناسب می‌تواند ماندگاری نتایج را تضمین کند.

راز دندان‌های مرواریدی: سفیدی که هر لبخندی را جادویی می‌کند

دندان‌ها، قهرمانان خاموش لبخند ما هستند. اما چه می‌شود اگر این قهرمانان درخشش خود را از دست بدهند؟ در اینجا، ماده‌ای شگفت‌انگیز به نام پراکسید هیدروژن نقش یک جادوگر را ایفا می‌کند. این ماده با نفوذ به هرم‌های مینایی، رنگدانه‌های ناخواسته را مثل غباری از گذشته پاک می‌کند و دندان‌ها را به درخششی رؤیایی بازمی‌گرداند.

چگونه سفید کردن دندان‌ها به یک علم دقیق تبدیل شد؟

روند سفید کردن دندان‌ها دیگر یک راز نیست. با نفوذ مواد فعال به لایه‌های زیرین مینا و حتی عاج دندان، رنگ دندان‌ها روشن‌تر و درخشان‌تر می‌شود. این فرآیند نه‌تنها ظاهری زیبا به دندان‌ها می‌بخشد، بلکه اعتماد به نفس شما را نیز تقویت می‌کند.

سفیدی، هدیه‌ای از طبیعت و علم

بلیچ دندان سفری است به سوی زیبایی و اعتماد به نفس. با توجه به انواع بلیچینگ دندان و همکاری با دندانپزشک، می‌توانید روش مناسب خود را انتخاب کنید و لبخندی بی‌مانند داشته باشید. یادمان باشد، دندان‌های سفید، جادویی هستند که هر لبخندی را به یک شاهکار تبدیل می‌کنند.

لبخند، پلی به قلب‌ها

مزایای بلیچینگ دندان تنها در سفیدی نیست؛ بلکه در تحولی است که در روح و چهره شما ایجاد می‌کند. همانطور که جواهری براق، نگاه‌ها را به خود جلب می‌کند، دندان‌های سفید نیز لبخند شما را جاودانه می‌سازند. اگر به دنبال راهی برای کشف دوباره زیبایی لبخندتان هستید، بلیچینگ دندان، همان پاسخ درخشان شماست.

اطلاعات تماس مطب

دکتر رضا خسروانی متخصص زیبایی دندان

تهران، ولنجک، خیابان چهاردهم، پلاک ۱۹، ساختمان هوما، واحد ۵۰۴

تلفن تماس: ۰۲۱۲۶۸۷۸۶۰۰

Hide picture