لمینت دندان یکی از بهترین روشها برای بهبود ظاهر و زیبایی دندانهاست و در منطقه شمال تهران، این روش توسط متخصصین برجسته و با کیفیت بالایی انجام میشود. بسیاری از افراد به دنبال داشتن لبخندی زیبا و جذاب هستند و لمینت دندان میتواند این آرزو را به واقعیت تبدیل کند. با استفاده از لمینت سرامیکی دندان، شما میتوانید دندانهای سفیدتر، صافتر و یکدستتری داشته باشید که تاثیر زیادی در زیبایی چهره و افزایش اعتماد به نفس شما خواهد داشت.
اگر شما در شمال تهران (منطقه 1 تهران) زندگی میکنید و به دنبال بهترین دکتر برای انجام لمینت دندان هستید، خوشبختانه گزینههای بسیار خوبی در این منطقه وجود دارند. بهترین دکتر لمینت دندان در شمال تهران از تکنیکها و مواد پیشرفتهای استفاده میکند تا نتایج طبیعی و ماندگاری را برای شما فراهم کند. انتخاب دکتر مناسب و متخصص در این زمینه بسیار مهم است تا از کیفیت کار و دوام لمینت دندانهای خود اطمینان حاصل کنید.
لمینت دندان در شمال تهران با بهرهگیری از متخصصین لمینت خوب در شمال تهران به یکی از محبوبترین و پرتقاضاترین خدمات دندانپزشکی تبدیل شده است. متخصصین این منطقه با داشتن تجربه فراوان و دانش روز دنیا در این حوزه، میتوانند بهترین مشاوره و خدمات را به شما ارائه دهند. لمینت شمال تهران به دلیل کیفیت بالا و استفاده از مواد سرامیکی پیشرفته، از طول عمر بالایی برخوردار است و نتایج بسیار طبیعیای را ارائه میدهد که تفاوتی با دندانهای طبیعی ندارد.
یکی از مزایای بزرگ انجام لمینت دندان در شمال تهران، دسترسی آسان به بهترین متخصصین و مراکز دندانپزشکی مدرن و مجهز است. این منطقه از تهران دارای بهترین کلینیکها و متخصصین در حوزه دندانپزشکی زیبایی است که شما میتوانید با اطمینان کامل به آنها مراجعه کنید. استفاده از لمینت سرامیکی دندان در این مراکز علاوه بر زیبایی، به محافظت از دندانهای شما نیز کمک میکند.
در صورتی که به دنبال یک دکتر متخصص برای لمینت شمال تهران هستید، توصیه میشود قبل از هر تصمیمی با دندانپزشکان مختلف مشورت کنید و نظرات بیماران قبلی را مطالعه کنید. این کار به شما کمک میکند تا با آگاهی کامل، بهترین تصمیم را برای زیبایی و سلامت دندانهای خود بگیرید. در این منطقه، متخصصین زیادی با تجربه و تخصص بالا فعالیت میکنند که میتوانند بهترین نتایج را برای شما به ارمغان بیاورند.
لمینت دندان میتواند تغییرات بزرگی در لبخند و چهره شما ایجاد کند و انجام این درمان توسط یک متخصص لمینت خوب در شمال تهران میتواند تضمینی برای زیبایی و سلامت دندانهای شما باشد. اگر به دنبال لبخندی بینقص و درخشان هستید، لمینت دندان یکی از بهترین انتخابهاست. این روش نه تنها ظاهر دندانهای شما را بهبود میبخشد، بلکه به سلامت و استحکام آنها نیز کمک میکند. بنابراین، اگر در منطقه شمال تهران (منطقه 1 تهران) زندگی میکنید و به فکر لمینت دندان هستید، فرصت را از دست ندهید و با مراجعه به بهترین دکتر لمینت دندان در شمال تهران، لبخندی زیبا و دلنشین به خود هدیه دهید.
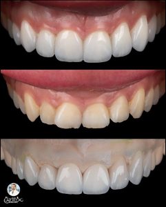
لبخندی درخشان با لمینت دندان در شمال تهران 😁 | بهترین متخصصین در منطقه ۱ تهران

لبخندی درخشان با لمینت دندان در شمال تهران 😁 | بهترین متخصصین در منطقه ۱ تهران
آیا تا به حال آرزو داشتهاید که با لبخندی زیبا و درخشان بدرخشید؟ لمینت دندان شمال تهران یکی از بهترین روشها برای زیباسازی دندانها و افزایش اعتمادبهنفس است. اگر در منطقه ۱ تهران زندگی میکنید، خوشبختانه بهترین متخصصین در این منطقه آمادهاند تا با استفاده از روشهای مدرن و مواد باکیفیت، لبخند رویایی شما را به واقعیت تبدیل کنند.
لمینت دندان یک لایه نازک سرامیکی یا کامپوزیتی است که روی سطح جلویی دندانها قرار میگیرد و ظاهر آنها را بهبود میبخشد. این روش برای رفع مشکلات مختلفی مانند: ✔ تغییر رنگ دندانها
✔ شکستگیهای جزئی
✔ نامنظمی خفیف دندانها
✔ فاصلههای بین دندانی
بسیاری از افراد به دنبال دندانهایی یکدست و درخشان هستند، و لمینت دندان این امکان را به بهترین شکل فراهم میکند.
چرا لمینت دندان در شمال تهران؟
اگر به دنبال بهترین متخصص لمینت دندان در شمال تهران هستید، دلایل زیادی وجود دارد که چرا باید این منطقه را برای درمان خود انتخاب کنید:
- دسترسی به بهترین دندانپزشکان و متخصصین حرفهای
- استفاده از مواد سرامیکی باکیفیت و بادوام
- امکانات مدرن و پیشرفته در کلینیکهای این منطقه
- مشاوره تخصصی برای انتخاب مناسبترین نوع لمینت
چگونه بهترین دکتر لمینت در شمال تهران را پیدا کنیم؟ 🔎
انتخاب دکتر لمینت در شمال تهران اهمیت بسیار زیادی دارد، زیرا یک لمینت با کیفیت میتواند سالها ماندگار باشد و زیبایی طبیعی را حفظ کند. برای یافتن بهترین دندانپزشک در شمال تهران، این نکات را در نظر بگیرید:
- بررسی سوابق و تجربیات دندانپزشک
- مشاهده نمونه کارهای قبلی و مقایسه نتایج
- خواندن نظرات بیماران و مشاهده رضایت آنها
- بررسی کیفیت مواد مورد استفاده در لمینت
- توجه به قیمت و مقرونبهصرفه بودن خدمات
مراحل انجام لمینت دندان در شمال تهران
✅ مشاوره اولیه و بررسی وضعیت دندانها
✅ آمادهسازی دندان و قالبگیری
✅ ساخت لمینتهای سفارشی در لابراتوار تخصصی
✅ نصب و چسباندن لمینت روی دندانها
✅ تنظیم نهایی و ارائه توصیههای مراقبتی
مزایای لمینت دندان در طراحی لبخند
- زیبایی طبیعی: لمینتها به طور طبیعی با دندانهای موجود ترکیب میشوند و هیچ تفاوتی در ظاهر آنها با دندانهای واقعی مشاهده نمیشود. این امر به فرد امکان میدهد تا با اطمینان کامل لبخند بزند.
- اصلاح مشکلات دندانی: لمینتها قادرند مشکلات مختلف دندانی نظیر لکهها، ترکها، و فاصلههای میان دندانها را به خوبی پوشش دهند و دندانهایی زیبا و یکنواخت ایجاد کنند.
- پایداری و دوام: لمینت سرامیکی در شمال تهران به دلیل استفاده از مواد با کیفیت بالا، مقاومت بالایی در برابر تغییر رنگ و ساییدگی دارد و میتواند سالها بدون تغییر باقی بماند.
- غیرتهاجمی بودن: یکی از بزرگترین مزایای لمینت این است که برای نصب آن نیازی به تراشیدن بیش از حد دندان نیست و این فرآیند به عنوان یکی از روشهای غیرتهاجمی شناخته میشود.
- لبخندی دلپذیر و جذاب: لبخندی زیبا میتواند تصویر ذهنی افراد از شما را به طور چشمگیری تغییر دهد. لمینت دندان با ایجاد توازن و همترازی در دندانها به بهبود ظاهر کلی لبخند کمک میکند.
چگونه لمینت دندان میتواند اعتماد به نفس شما را افزایش دهد؟

چگونه لمینت دندان میتواند اعتماد به نفس شما را افزایش دهد؟
بهترین دکتر لمینت شمال تهران میتواند با طراحی دقیق و حرفهای لمینتها، به شما کمک کند تا دندانهایی زیبا و لبخندی جذاب داشته باشید. داشتن دندانهای سفید، صاف و همشکل میتواند اعتماد به نفس شما را در موقعیتهای مختلف مانند جلسات کاری، رویدادهای اجتماعی و ملاقاتهای روزانه افزایش دهد.
بسیاری از افراد از مشکلات دندانی خود خجالت میکشند و این موضوع میتواند بر روحیه و رفتار آنها تاثیر منفی بگذارد. با استفاده از لمینت، شما میتوانید از دندانهایی بینقص لذت ببرید و بدون نگرانی از ظاهر دندانهایتان لبخند بزنید.
چه زمانی لمینت دندان مناسب است؟
لمینت دندان معمولاً برای افرادی مناسب است که مشکلات جزئی در دندانهای جلویی خود دارند. اگر دندانهای شما لکهدار شده، ترک خورده، یا فاصلههای غیرطبیعی دارند، لمینت میتواند راهحلی عالی برای اصلاح این مشکلات باشد. همچنین، اگر به دنبال دندانهایی سفید و درخشان هستید، لمینت میتواند گزینهای مناسب باشد.
افرادی که در محدوده شمال تهران زندگی میکنند، به راحتی میتوانند به بهترین متخصص لمینت شمال تهران دسترسی پیدا کنند و از خدمات با کیفیتی بهرهمند شوند. انتخاب یک پزشک متخصص و مجرب در این حوزه بسیار اهمیت دارد زیرا طراحی و نصب لمینت نیاز به دقت و تجربه بالایی دارد.
مراقبتهای پس از انجام لمینت
پس از انجام لمینت، مراقبت از دندانها بسیار اهمیت دارد. با رعایت بهداشت دهان و دندان و مراجعه منظم به دندانپزشک، میتوانید از ماندگاری و زیبایی لمینتها بهرهمند شوید. برخی از نکات مهم شامل:
- مسواک زدن منظم: حداقل دو بار در روز دندانهای خود را مسواک بزنید تا پلاک و لکههای ممکن را از بین ببرید.
- استفاده از نخ دندان: نخ دندان کمک میکند تا فاصلههای میان دندانها نیز تمیز شوند و از ایجاد مشکلات احتمالی جلوگیری شود.
- پرهیز از خوردن مواد غذایی سخت: خوردن مواد غذایی سفت ممکن است به لمینتها آسیب برساند، بنابراین بهتر است از گاز زدن خوراکیهای سخت خودداری کنید.
- مراجعه منظم به دندانپزشک: انجام معاینات منظم باعث میشود تا هر گونه مشکل احتمالی در مراحل اولیه شناسایی و برطرف شود.
معیارهای انتخاب بهترین دکتر لمینت شمال تهران سال 1404
انتخاب بهترین دکتر لمینت شمال تهران یکی از مهمترین مراحل برای دستیابی به لبخندی زیبا و سالم است. سال 1404 شاهد پیشرفتهای قابل توجهی در حوزه دندانپزشکی زیبایی در کشور بوده ایم و بسیاری از افراد به دنبال یافتن دکتری با تجربه و متخصص در این زمینه هستند. در این بخش به معیارهایی میپردازیم که باید در انتخاب بهترین دکتر لمینت دندان مدنظر قرار دهید تا از نتایج عالی و ماندگار بهرهمند شوید:
- یکی از مهمترین معیارهای انتخاب دکتر لمینت، تخصص و تجربهی او در زمینه دندانپزشکی زیبایی است. بهترین دندانپزشک زیبایی در شمال تهران باید تجربه کافی در انجام لمینت دندان داشته باشد و با تکنیکهای روز دنیا آشنا باشد. یک دکتر ماهر میتواند با بررسی دقیق وضعیت دندانهای شما و استفاده از لمینت مناسب، نتیجهای طبیعی و هماهنگ با سایر دندانها ایجاد کند که هم زیبا و هم بادوام باشد.
- عامل دیگری که باید در انتخاب دکتر لمینت در نظر بگیرید، قیمت لمینت دندان در شمال تهران است. هزینههای لمینت دندان بسته به مواد استفاده شده، تکنیکها و تجربه دکتر متفاوت است. انتخاب دکتری که علاوه بر ارائه خدمات با کیفیت، قیمت مناسبی نیز داشته باشد، اهمیت زیادی دارد. همیشه به یاد داشته باشید که هزینه بالاتر لزوماً به معنای کیفیت بهتر نیست و بررسی دقیق و مشاوره با چند دندانپزشک میتواند به شما در یافتن تعادل بین قیمت و کیفیت کمک کند.
- مراجعه به بهترین و مجهزترین کلینیک دندانپزشکی در شمال تهران نیز یکی دیگر از معیارهای مهم است. یک کلینیک مجهز با استفاده از تجهیزات پیشرفته و تکنولوژیهای نوین میتواند بهترین نتایج را در درمانهای لمینت دندان ارائه دهد. همچنین، کلینیکهایی که از مواد باکیفیت و استاندارد برای لمینت دندان استفاده میکنند، نتایج ماندگارتر و طبیعیتری را برای شما به ارمغان خواهند آورد.
برای یافتن بهترین دکتر لمینت، بهتر است نگاهی به لیست دندانپزشکهای شمال تهران داشته باشید و با مقایسه آنها از نظر تخصص، تجربه و نظرات بیماران، انتخاب آگاهانهتری داشته باشید. بسیاری از دندانپزشکان شناختهشده در این منطقه دارای سابقه کاری طولانی و موفق هستند و میتوانند به شما در داشتن لبخندی زیبا و جذاب کمک کنند.
یک دکتر حرفهای نه تنها باید مهارت بالایی در انجام لمینت دندان داشته باشد، بلکه باید توانایی ایجاد یک برنامه درمانی متناسب با نیازهای خاص هر بیمار را نیز داشته باشد. جلسات مشاوره قبل از درمان اهمیت زیادی دارند، چرا که در این جلسات دکتر میتواند تمامی سوالات و نگرانیهای شما را پاسخ دهد و انتظارات شما را از نتیجه نهایی مشخص کند.
پس اگر به دنبال لمینت دندان در شمال تهران هستید، حتماً با توجه به این معیارها و بررسی دقیق دندانپزشکان، بهترین انتخاب را انجام دهید. سال 1403 فرصتی عالی برای بهبود لبخند شما با استفاده از جدیدترین تکنولوژیها و مهارتهای دندانپزشکی است. با انتخاب بهترین دندانپزشک زیبایی در شمال تهران و بهرهمندی از خدمات او، میتوانید لبخندی درخشان و ماندگار داشته باشید.
قیمت لمینت دندان شمال تهران در سال 1403 به چه پارامترهایی وابسته است؟
یکی از نگرانیهای اصلی افرادی که به فکر انجام لمینت دندان هستند، هزینههای آن است. خوشبختانه، لمینت دندان با قیمت مناسب در محدوده شمال تهران امکانپذیر است. مراکز مختلفی در این منطقه وجود دارند که خدمات لمینت دندان را با کیفیت بالا و قیمت مناسب ارائه میدهند. همچنین، مرکز لمینت سرامیکی در شمال تهران با بهرهگیری از بهترین مواد و تکنیکها، میتواند نتایج عالی را با قیمتهای مقرون به صرفه فراهم کند.
همان طور که پیش از این نیز ذکر شد، لمینت دندان بهعنوان یکی از محبوبترین روشهای اصلاح طرح لبخند و زیبایی دندانها در سالهای اخیر مورد توجه بسیاری از افراد قرار گرفته است. در شمال تهران، به ویژه در منطقه 1، تقاضا برای این روش به دلیل حضور دندانپزشکان ماهر و کلینیکهای معتبر رو به افزایش است. اما سوالی که برای بسیاری مطرح میشود، این است که هزینه لمینت دندان در شمال تهران به چه عواملی وابسته است و چگونه میتوان با انتخاب درست، به نتایج مطلوب دست یافت:
- یکی از مهمترین عوامل تأثیرگذار بر هزینه لمینت دندان در شمال تهران، تخصص و تجربه دندانپزشک زیبایی است. حضور بهترین دکتر برای اصلاح طرح لبخند شمال تهران میتواند تفاوتهای قابلتوجهی در قیمتها ایجاد کند. دندانپزشکانی که دارای تجربه و تخصص بیشتری هستند، معمولاً هزینههای بالاتری دریافت میکنند؛ اما در عوض، کیفیت بالاتری در خدمات خود ارائه میدهند. بنابراین، انتخاب دندانپزشکی با تجربه و معتبر در مرکز لمینت دندان شمال تهران منطقه 1 میتواند به شما اطمینان خاطر دهد که نتایج حاصل از لمینت دندان طبیعی و بادوام خواهد بود.
- از دیگر عواملی که بر قیمت لمینت دندان تأثیرگذار است، مواد اولیه و تکنولوژی مورد استفاده است. لمینتهای دندانی با مواد متنوعی انجام میشوند که کیفیت و دوام آنها میتواند بر هزینه نهایی تأثیرگذار باشد. در شمال تهران، کلینیکهای معتبر معمولاً از پیشرفتهترین تکنولوژیها و بهترین مواد برای لمینت دندان استفاده میکنند که این امر میتواند قیمت را کمی بالاتر ببرد، اما در نهایت، نتایجی بهمراتب بهتر به همراه خواهد داشت.
- موقعیت جغرافیایی کلینیک نیز میتواند بر هزینه لمینت دندان تأثیر بگذارد. در مناطقی از شمال تهران که دسترسی به دندانپزشکان برجسته و کلینیکهای پیشرفته آسانتر است، هزینهها ممکن است کمی بالاتر باشد. اما این افزایش هزینه به دلیل کیفیت خدمات، تجهیزات مدرن و استفاده از تکنولوژیهای روز دنیا کاملاً توجیهپذیر است. مرکز لمینت دندان شمال تهران منطقه 1 به دلیل موقعیت مکانی و سطح خدمات، یکی از بهترین گزینهها برای کسانی است که به دنبال خدمات حرفهای هستند.
- نکته دیگری که باید به آن توجه کرد، تعداد دندانهایی است که نیاز به لمینت دارند. هزینه لمینت دندان بر اساس تعداد دندانها محاسبه میشود و هر چه تعداد دندانهای بیشتری نیاز به درمان داشته باشد، هزینه نهایی بالاتر خواهد بود. همچنین، وضعیت فعلی دندانها نیز تأثیرگذار است؛ اگر قبل از لمینت نیاز به درمانهای پیشزمینهای مانند پر کردن یا درمان ریشه باشد، ممکن است هزینهها افزایش یابد.
با توجه به تمامی این عوامل، اگر به دنبال بهترین دندانپزشک زیبایی در شمال تهران هستید و میخواهید از خدمات حرفهای با قیمت مناسب بهرهمند شوید، توصیه میشود تحقیقات لازم را انجام داده و با انتخاب درست، لبخندی زیبا و ماندگار بهدست آورید.
جمعبندی
در نهایت، لمینت دندان یکی از موثرترین روشها برای بهبود ظاهر دندانها و طراحی لبخندی جذاب است. با انتخاب یک بهترین متخصص لمینت شمال تهران و رعایت مراقبتهای لازم پس از نصب، میتوانید از دندانهایی زیبا و لبخندی دلپذیر برای سالها لذت ببرید. لمینت دندان در شمال تهران با استفاده از تکنولوژیهای پیشرفته و متخصصان باتجربه، گزینهای مناسب برای کسانی است که به دنبال زیبایی و کارایی بالا هستند.
سوالات متداول
1. لمینت دندان در شمال تهران چقدر دوام دارد؟
لمینت دندان با مراقبت مناسب میتواند بین 10 تا 15 سال دوام داشته باشد.
2. آیا نصب لمینت دندان دردناک است؟
خیر، فرآیند نصب لمینت دندان غیرتهاجمی و بدون درد است و معمولاً نیازی به بیحسی ندارد.
3. آیا میتوان لمینتها را بعد از نصب تعویض کرد؟
بله، لمینتها قابل تعویض هستند، اما باید توسط دندانپزشک متخصص انجام شود تا به دندانهای اصلی آسیبی وارد نشود.
4.چقدر طول میکشد تا لمینت دندان انجام شود؟
فرآیند لمینت معمولاً در دو یا سه جلسه انجام میشود که شامل مشاوره اولیه، قالبگیری و نصب لمینتها میشود.
5. آیا لمینت دندان باعث آسیب به دندانهای طبیعی میشود؟
خیر، اگر توسط بهترین دندانپزشک در شمال تهران انجام شود، آسیبی به دندانهای طبیعی وارد نخواهد شد. در برخی موارد ممکن است مقدار کمی از مینای دندان تراشیده شود.
6. چه کسانی کاندیدای مناسب برای لمینت دندان هستند؟
- افرادی که دندانهای زرد یا لکهدار دارند
- افرادی که دندانهای شکسته یا ترک خورده دارند
- کسانی که فاصله بین دندانهایشان زیاد است
- افرادی که دندانهای نامرتب جزئی دارند
7. لمینت کامپوزیتی بهتر است یا سرامیکی؟
- لمینت سرامیکی: دوام بیشتر، ظاهر طبیعیتر، مقاوم در برابر لکه
- لمینت کامپوزیتی: هزینه کمتر، سریعتر انجام میشود، قابلیت ترمیم دارد
8. هزینه لمینت دندان در شمال تهران چقدر است؟
هزینه لمینت دندان به جنس لمینت، تجربه دندانپزشک، تعداد دندانهای لمینت شده و تجهیزات کلینیک بستگی دارد. پیشنهاد میشود برای اطلاع از قیمت دقیق، با دکتر لمینت در شمال تهران مشورت کنید.
9. آیا لمینت دندان قابل تعویض است؟
بله، پس از چند سال، در صورت فرسودگی یا شکستگی، میتوان لمینتهای قدیمی را با لمینت جدید جایگزین کرد.
10. آیا لمینت باعث بوی بد دهان میشود؟
خیر، اگر لمینتها به درستی نصب شوند و بهداشت دهان و دندان رعایت شود، هیچ بوی بدی ایجاد نمیشود.
11. آیا لمینت دندان روی همه دندانها نصب میشود؟
معمولاً لمینتها روی دندانهای جلویی که در لبخند تأثیرگذار هستند نصب میشوند و نیازی به لمینت کردن دندانهای عقبی نیست.
12. آیا میتوان بعد از لمینت ارتودنسی انجام داد؟
اگر دندانهای شما نیاز به مرتب شدن دارند، بهتر است قبل از انجام لمینت، ارتودنسی را تکمیل کنید. در غیر این صورت، لمینتها ممکن است تحت تأثیر قرار بگیرند.