میزان تراش لمینت سرامیکی دندان: همه چیز درباره حساسیت و سلامت دندانها
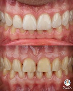
لمینت سرامیکی یکی از روشهای محبوب در دندانپزشکی زیبایی است که به دلیل ماندگاری بالا و ظاهر طبیعی، توجه بسیاری را جلب کرده است. یکی از سوالات رایج در مورد این روش، میزان تراش دندان و تاثیر آن بر سلامت دندانها است. در این بخش به بررسی کامل این موضوع خواهیم پرداخت و به سوالاتی همچون لمینت سرامیکی بهتر است یا کامپوزیت و لمینت سرامیکی دندان بدون تراش پاسخ میدهیم.
میزان تراش لمینت سرامیکی دندان چقدر است؟
به طور معمول، میزان تراش دندان در لمینت سرامیکی حدود ۰.۵ تا ۰.۸ میلیمتر است. این مقدار به گونهای طراحی شده که کمترین آسیب به مینای دندان وارد شود. با این حال، اگر دندانپزشک از تجربه کافی برخوردار نباشد، امکان تراش بیش از حد وجود دارد که میتواند حساسیت یا حتی آسیب عصبی را ایجاد کند.
نقش تجربه دندانپزشک در میزان تراش
انتخاب یک دندانپزشک متخصص با مهارت کافی بسیار مهم است. یک متخصص حرفهای میتواند با توجه به وضعیت دندانها و استفاده از دستگاههای پیشرفته، میزان تراش را به حداقل برساند. همچنین، مهارت دندانپزشک در استفاده از روشهای نوین مانند لمینت دندان دیجیتال، تاثیر بسزایی در نتایج نهایی دارد.
آیا امکان استفاده از لمینت سرامیکی بدون تراش وجود دارد؟
بله، در موارد خاص، روش لمینت سرامیکی دندان بدون تراش قابل اجرا است. این روش برای افرادی مناسب است که به دنبال حفظ کامل مینای دندان خود هستند. در این روش:
- هیچگونه آسیبی به مینای دندان وارد نمیشود.
- لمینت قابل برداشتن است و نیازی به تغییر دائمی دندان ندارد.
- برای دندانهایی که مشکلات خاصی ندارند ایدهآل است.
لمینت سرامیکی یا کامپوزیت؟ بررسی مزایای لمینت سرامیکی برای لبخندی ماندگار

یکی از مباحث پرطرفدار در دنیای دندانپزشکی زیبایی، بحث انتخاب بین لمینت سرامیکی و کامپوزیت است. انتخاب مناسب نهتنها بر ظاهر لبخند تأثیر میگذارد، بلکه دوام و کیفیت نتایج را نیز تعیین میکند. در این قسمت، به بررسی مزایای لمینت سرامیکی نسبت به کامپوزیت خواهیم پرداخت و دلایلی را ارائه میدهیم که چرا این گزینه برای بسیاری از افراد انتخاب بهتری است.
1. دوام بالای لمینت سرامیکی
یکی از مهمترین دلایل انتخاب لمینت سرامیکی دوام بالای آن است. این نوع لمینت میتواند تا ۱۵ سال یا حتی بیشتر دوام داشته باشد، در حالی که کامپوزیت معمولاً بین ۵ تا ۷ سال نیاز به تعویض یا ترمیم دارد.
- مقاومت در برابر شکستگی و ترکخوردگی.
- نیاز کمتر به تعمیرات دورهای.
2. ظاهر طبیعیتر لمینت سرامیکی

ظاهر طبیعیتر لمینت سرامیکی
شفافیت و تطابق رنگ در لمینت سرامیکی دندان بدون تراش به گونهای است که بهسختی میتوان آن را از دندانهای طبیعی تشخیص داد. این ویژگی برای افرادی که به دنبال ظاهری طبیعی و زیبا هستند، اهمیت زیادی دارد.
- شبیهسازی دقیق مینای دندان طبیعی.
- انعکاس نور مشابه دندانهای واقعی.
3. مقاومت در برابر لکهها

لمینت سرامیکی در مقایسه با کامپوزیت مقاومت بیشتری در برابر لکهها و تغییر رنگ دارد. این به دلیل سطح صافتر و خاصیت غیرجذبی سرامیک است.
- مناسب برای افرادی که قهوه، چای یا غذاهای رنگی مصرف میکنند.
- نیاز کمتر به پولیش یا سفیدکنندههای دندانی.
4. طراحی دیجیتال و شخصیسازی
با پیشرفت فناوری، امکان استفاده از لمینت دندان دیجیتال فراهم شده است. در این روش، طراحی و ساخت لمینت با دقت بالا انجام میشود که نتایج دقیقتری به همراه دارد.
- اندازهگیریهای دیجیتال برای تطابق کامل با دندانها.
- کاهش خطاهای انسانی در فرایند ساخت.


5. مقایسه لمینت سرامیکی و کامپوزیتی از نظر هزینه
اگرچه هزینه لمینت سرامیکی معمولاً بیشتر است، اما به دلیل دوام بالاتر و نیاز کمتر به ترمیم، این سرمایهگذاری در طولانیمدت مقرونبهصرفهتر خواهد بود.
- هزینه کمتر برای تعمیرات دورهای.
- ارزش بالاتر در بلندمدت.
6. مقاومت بیشتر در برابر آسیبهای فیزیکی
لمینت سرامیکی به دلیل ساختار قویتر، در برابر آسیبهای فیزیکی مقاومتر است. این ویژگی برای افرادی که عادت به دندان قروچه دارند یا سبک زندگی فعالی دارند، بسیار مفید است.
- کاهش احتمال شکستن یا خرد شدن.
- مقاومت در برابر ساییدگی روزانه.
7. زیبایی پایدار
یکی از دلایل اصلی انتخاب لمینت سرامیکی، حفظ زیبایی در طول زمان است. برخلاف کامپوزیت که ممکن است به مرور زمان کدر شود، سرامیک ظاهر اولیه خود را حفظ میکند.
- بدون نیاز به ترمیمهای مکرر.
- حفظ درخشندگی و جذابیت اولیه.
8. فرایند نصب حرفهایتر
نصب لمینت سرامیکی به تخصص بالاتری نیاز دارد که معمولاً توسط دندانپزشکان مجرب انجام میشود. این دقت در نصب به معنی نتایج باکیفیتتر و عمر طولانیتر است.
- هماهنگی کامل با ساختار دهان و دندان.
- کاهش مشکلات پس از نصب.
9. مقایسه لمینت سرامیکی و کامپوزیتی از دیدگاه کاربران
بسیاری از کاربران پس از استفاده از لمینت سرامیکی، از نتایج طبیعی و ماندگار آن راضی هستند. این نوع لمینت بهویژه برای افرادی که به دنبال لبخندی بینقص هستند، انتخابی محبوب است.
- نظرات مثبت در مورد ظاهر و دوام.
- مناسب برای بهبود اعتماد به نفس.
با توجه به موارد فوق، مشخص است که انتخاب لمینت سرامیکی بهخصوص در شرایطی که دوام، زیبایی و کیفیت در اولویت باشد، انتخاب بهتری است. اگر هنوز بین گزینههای مختلف مردد هستید، مشاوره با ما میتواند شما را در تصمیمگیری بهتر یاری کند.
لمینت سرامیکی بهتر است یا کامپوزیت؟ اگرچه پاسخ این سؤال به نیازهای شما بستگی دارد، اما برای داشتن لبخندی طبیعی، بادوام و ماندگار، لمینت سرامیکی میتواند انتخاب ایدهآلی باشد
لمینت سرامیکی بهتر است یا کامپوزیت؟
انتخاب بین این دو روش بستگی به اولویتها و نیازهای فرد دارد. اگر به دنبال زیبایی و دوام بالا هستید، لمینت سرامیکی گزینه بهتری است. اما اگر هزینه کمتری مدنظر دارید و خواهان ترمیم سریعتر هستید، کامپوزیت انتخاب مناسبی خواهد بود.
آیا لمینت سرامیکی دندان حساسیت ایجاد میکند؟
اگر تراش دندان به درستی انجام شود، احتمال ایجاد حساسیت به شدت کاهش مییابد. با این حال، استفاده از روشهای کمتهاجمی مانند لمینت دندان دیجیتال میتواند این نگرانی را به طور کامل رفع کند.