دکتر رضا خسروانی متخصص دندانپزشکی زیبایی
ولنجک، خیابان چهاردهم، پلاک ۱۹، ساختمان هوما، واحد ۵۰۴
تهرانتلفن دوم: 02126878600
شنبه | 11:00 AM - 6:00 PM |
یکشنبه | 11:00 AM - 6:00 PM |
دوشنبه | 11:00 AM - 6:00 PM |
سه شنبه | 11:00 AM - 6:00 PM |
چهارشنبه | 11:00 AM - 6:00 PM |
پنج شنبه | 11:00 AM - 6:00 PM |
روش هایی برای استحکام بخشیدن به مینای دندان
مراقبت های بعد از بلیچینگ یا سفید کردن دندان
شناسایی و درمان دندان مرده یا از دست رفته
مزایای ایمپلنت دندان ها و تاثیر آن بر زیبایی لبخند
جابجایی و حرکت دندان ها
روش های خانگی سفید کردن دندان
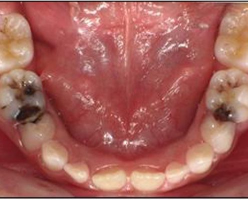
چرا دندان ها سیاه می شوند؟
نحوه مراقبت از دندان بعد از پر کردن دندان
تفاوت میان پرکردن و ترمیم دندان چیست؟
عادت های غلطی که باعث تخریب دندان ها می شوند