لمینت دندان در زعفرانیه

/
لمینت دندان یکی از روش‌های درمان زیبایی دندانپزشکی است که در مناطق مختلف از جمله زعفرانیه تهران انجام می‌شود. در گذشته بسیاری از افراد در حسرت داشتن یک دندان سفید و مرواریدی بوده‌اند؛ اما امروزه با بهره‌گیری از روش‌های جدید و نوین می‌توان به این نیاز خود پاسخ مثبت داد. لمینت دندان یکی از روش‌های داشتن دندانی سفید و درخشان است که دو نوع متفاوت را پوشش می‌دهد. لمینت دندان دارای دو نوع سرامیکی و لومینیرز بوده که می‌بایست با مشورت دندان‌پزشک و همچنین در نظر گرفتن شرایط عمومی فرد، یکی را انتخاب کرد. این روش زیبایی علاوه‌بر داشتن طرفدار زیاد در ایران، در خارج از کشور نیز طرفداران بسیاری را به خود اختصاص داده؛ چراکه لمینت دندان در زعفرانیه و سایر مناطق پایتخت، به بهبود و اصلاح دندان‌ها و طرح لبخند می‌پردازد.

لکه قهوه‌ای روی دندان: زنگ هشدار لبخند شما!

علل لکه قهوه ای روی دندان: نیکوتین، غذاها و نوشیدنی ها، پوسیدگی دندان، تارتار، فلوئوروز، هیپوپلازی مینا، عصب کشی، تروما(ضربه)، درمان های دندانپزشکی قبلی و..

تفاوت‌ های ایمپلنت دیجیتال و ایمپلنت معمولی

/
ایمپلنت دیجیتال نیز یکی از همین شیوه‌های نوین بوده که در فرآیند انجام آن تکنیک‌های اثربخشی به کار گرفته می‌شوند. اگر از کاندیدای این نوع درمان هستید برای انتخاب بین این دو نوع روش درمانی، لازم است تفاوت‌های ایمپلنت دیجیتال و ایمپلنت معمولی را بدانید. در این مطلب قصد داریم به بیان مزایا و معایب هر کدام بپردازیم تا انتخاب هوشمندانه‌ای داشته باشید.

کامپوزیت دندان بهتر است یا روکش دندان؟

/
امروزه شاهد پیشرفت‌های بسیاری در حوزه دندانپزشکی هستیم. همین عامل سبب می‌شود هنگامی که فرد قصد انجام ترمیم و اصلاح عیوب دندانی را داشته باشد، سوالاتی برای وی مطرح گردند. گزینه‌های درمانی بسیاری در این خصوص وجود دارند که انتخاب را سخت می‌کنند. شاید از خود بپرسید که کامپوزیت دندان بهتر است یا روکش دندان؟ چه تفاوت‌هایی میان این دو وجود دارند؟ آیا در صورت داشتن دندان کامپوزیت شده می‌توانید برای روکش کردن سایر دندان‌های خود اقدام کنید؟

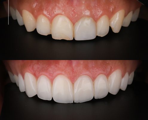
لمینت دندان شکسته چگونه است؟

/
لمینت دندان یک روش جدید برای ترمیم دندان‌ها است که به‌وسیله آن، دندان‌های شکسته و ترک‌ خورده بازسازی می‌شوند. این روش با استفاده از یک روکش نازک از مواد پلاستیکی یا کامپوزیت، دندان را بازسازی می‌کند. لمینت دندان شکسته و ترک خورده کمک می‌کند تا مجدداً به شکل طبیعی خود بازگردند. در واقع لمینت سرامیکی به عنوان یک روش مقرون‌به‌صرفه برای بازسازی دندان‌های شکسته و ترک خورده به شمار می‌رود که به افراد کمک خواهد کرد تا از یک لبخند زیبا و جذاب برخوردار شوند.

ماندگاری و دوام بلیچینگ دندان چقدر است؟

/
همه افراد همواره به‌دنبال زیبایی و ماندگاری آن هستند و در تلاشند تا فاکتورهای مهم زیبایی را کشف نمایند. دندان‌ها یکی از اساسی‌ترین مواردی به شمار می‌روند که بر زیبایی اثر بسیاری خواهند داشت. دندان‌های افراد ممکن است به دلایل گوناگون به مرور زمان درخشندگی و سفیدی اولیه خود را از دست بدهند؛ اما می‌توان آن‌ها را مجددا سفید و درخشان کرد. آیا با روش‌های درمان پوسیدگی و سفید و تمیز کردن مجدد دندان آشنا هستید؟ یکی از آن‌ها بلیچینگ دندان نام دارد. دوام و ماندگاری بلیچینگ دندان چقدر است؟ رفع تیرگی و تغییر رنگ دندان‌ها با استفاده از روش بلیچینگ از مطمئن‌ترین راه‌هایی است که بسیاری از افراد نسبت به انجام آن علاقه بسیاری از خود نشان می‌دهند. اگر می‌خواهید اطلاعات بیشتری در رابطه با ماندگاری آن به دست آورید، با ما باشید.

هزینه کامپوزیت دندان و پارامترهای موثر در آن

/
داشتن دندان‌های صاف و یکدست تأثیر زیادی بر زیبایی انسان و همچنین بالا رفتن حس اعتماد به نفس او دارد. علم دندانپزشکی در شاخه‌های مختلف درمان و زیبایی بهترین و پیشرفته‌ترین راه حل‌های خود را در چندین سال اخیر به بشریت تقدیم کرده است. کامپوزیت دندان نیز یکی از پرکاربرترین روش‌های اصلاح رنگ، شکل، اندازه و... برای دندان‌های به شمار می‌رود. چه کسانی بهترین گزینه برای انجام کامپوزیت دندان هستند؟ هزینه کامپوزیت دندان و پارامترهای موثر در آن چیست؟ آیا هزینه کامپوزیت برای تمامی کسانی که آن را انجام می‌دهند یکسان خواهد بود؟ برای رسیدن به پاسخ این سوالات در ادامه با فاکتورهای مهم در تعیین نرخ هزینه کامپوزیت آشنا خواهیم شد.
Hide picture