لبخندی درخشان و طبیعی در کوتاهترین زمان

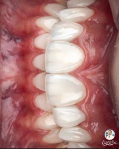
کامپوزیت ونیر دندان

کامپوزیت ونیر دندان یکی از روش‌های پرطرفدار برای اصلاح طرح لبخند و زیباسازی دندان‌ها است که با استفاده از مواد کامپوزیتی ویژه، روی سطح دندان‌ها قرار می‌گیرد. این روش به دلیل هزینه کمتر و سرعت اجرای بالا نسبت به سایر روش‌های ترمیمی مانند لمینت سرامیکی، مورد توجه بسیاری از افراد قرار گرفته است. ونیرهای کامپوزیتی با ایجاد لایه‌ای نازک روی دندان‌ها، نواقص ظاهری مانند شکستگی‌ها، ترک‌ها و لکه‌ها را پنهان می‌کنند و به دندان‌ها ظاهری طبیعی و جذاب می‌بخشند

جادوی لبخند با کامپوزیت ونیر در کلینیک تخصصی دکتر سید رضا خسروانی

در دنیایی که لبخند، زبان جهانی ارتباط است، دکتر سید رضا خسروانی، متخصص برجسته دندانپزشکی زیبایی و ترمیمی در ولنجک تهران، مسیر تازه‌ای برای جلوه‌گری لبخندها خلق کرده است. این استاد برجسته، که عضو هیئت علمی دانشکده دندانپزشکی شهید بهشتی و از برترین‌های بورد تخصصی کشور است، با بهره‌گیری از علم روز دنیا و نگاهی هنرمندانه، تحولی چشمگیر در دنیای دندانپزشکی ایجاد کرده است.

یکی از خدمات شاخص در کلینیک تخصصی ایشان، کامپوزیت ونیر دندان است؛ درمانی که مانند یک قلم جادویی، لبخند شما را از هر نقص و ناهماهنگی می‌رهاند. کامپوزیت ونیر، گزینه‌ای ایده‌آل برای افرادی است که می‌خواهند دندان‌هایشان را زیباتر، مرتب‌تر و درخشان‌تر کنند. این درمان، برخلاف لمینیت سرامیکی، نیازی به تراشیدن مینای دندان ندارد و در زمانی کوتاه، نتایجی شگفت‌انگیز ارائه می‌دهد.

در کلینیک دکتر خسروانی، اجرای کامپوزیت ونیر، به‌دقت طراحی و اجرا می‌شود تا لبخندی طبیعی و همگام با شخصیت و چهره‌ی شما خلق شود. دکتر خسروانی، با سال‌ها تجربه‌ی تدریس به دندانپزشکان عمومی و متخصص و سخنرانی در کنگره‌های معتبر، استانداردی بی‌نظیر در این زمینه ایجاد کرده است. هر کامپوزیت ونیر، در این کلینیک مانند یک اثر هنری است که با دقت و ظرافت کامل، بر روی دندان‌های شما جای می‌گیرد.

کامپوزیت ونیر، نه‌تنها یک راه‌حل زیبایی‌شناسانه است، بلکه اعتمادبه‌نفس شما را نیز بازمی‌گرداند. در کلینیک دکتر سید رضا خسروانی، شما در محیطی آرام و حرفه‌ای، تمامی مراحل درمان را با اطمینان طی می‌کنید. استفاده از بهترین مواد کامپوزیتی و به‌کارگیری دانش روز دنیا، کیفیت و ماندگاری این درمان را تضمین می‌کند.

اگر رویای لبخندی بی‌نقص دارید و می‌خواهید دندان‌هایتان مانند ستاره‌های درخشان بدرخشند، همین امروز قدم در کلینیک تخصصی دندانپزشکی دکتر سید رضا خسروانی بگذارید. در اینجا، علم و هنر به هم پیوند می‌خورند تا لبخندی زیبا و جاودان را به شما هدیه دهند.

ویدیو رضایت مراجعین عزیزمون از درمان کامپوزیت در کلینیک دکتر خسروانی

video
play-sharp-fill
video
play-sharp-fill
تجربیات بیماران

تجربیات بیماران

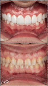
واقعا عالی بود! خیلی وقت بود دنبال بهترین متخصص دندانپزشکی زیبایی در ولنجک می‌گشتم و از انتخاب دکتر خسروانی فوق‌العاده راضی‌ام. کامپوزیت دندونام انقدر طبیعی شده که هیچ‌کس متوجه نشده! کاملا با وسواس و دقت بالا کارو انجام دادن. ممنونم از تیم حرفه‌ایشون. 🙏

ر. م

کیفیت کار بی‌نظیر! من برای کامپوزیت دندان در تهران تحقیق زیادی کردم و به دکتر خسروانی رسیدم. ظرافت و دقتی که توی کارشون دارن، واقعا مثال‌زدنیه. طرح لبخندم خیلی طبیعی شده و اصلا حس سنگینی یا مصنوعی بودن ندارم. واقعا از انتخابم خوشحالم.

س. ک

دندان‌هام دقیقا همونی شد که می‌خواستم! من خیلی سخت‌گیرم و نگران بودم که نکنه نتیجه کار باب میلم نشه، اما دکتر خسروانی با صبر و حوصله راهنماییم کردن و نتیجه دقیقاً همونی شد که می‌خواستم! بهترین متخصص کامپوزیت دندان که می‌تونید پیدا کنید.

م. ن

کامپوزیت ونیر با ظاهری طبیعی و جذاب! نتیجه کار خیلی طبیعی و قشنگه، اصلاً معلوم نیست که کامپوزیته! دکتر خسروانی بهترین گزینه برای کامپوزیت ونیر تهران هستن. علاوه بر مهارت بالا، خیلی خوش‌برخورد و حرفه‌ای هستن.

ف. ج

فراتر از انتظارم بود! واقعاً نمی‌تونم بگم چقدر راضی‌ام! به خاطر دندونام اعتمادبه‌نفسم پایین بود ولی بعد از مراجعه به دکتر خسروانی همه چی تغییر کرد. ایشون یکی از بهترین متخصصان کامپوزیت دندان هستن و با دقت و تجربه بالاشون، یه لبخند بی‌نقص به من هدیه دادن.

ن. ش

من قبلاً جای دیگه کار کرده بودم و ناراضی بودم، ولی اینجا تجربه‌ای عالی داشتم. دکتر خسروانی با دقت و ظرافت کارو انجام دادن و هیچ مشکلی پیش نیومد. کامپوزیت ونیر تهران اگه جای مطمئن می‌خواید، اینجا رو پیشنهاد می‌کنم.

ی. ق

حرفه‌ای‌ترین تیم دندانپزشکی زیبایی اولش استرس داشتم، ولی از لحظه‌ای که وارد کلینیک شدم، همه چیز عالی بود. برخورد پرسنل عالی، محیط تمیز و دکتر خسروانی یه متخصص به‌تمام‌معنا هستن. بهترین تجربه کامپوزیت دندان در تهران رو اینجا داشتم.

ح. و

دندان‌هایی که آرزوشو داشتم! بعد از کلی تحقیق، بالاخره به بهترین متخصص دندانپزشکی زیبایی در ولنجک رسیدم و نتیجه فوق‌العاده شد! طراحی لبخندم دقیقاً همون چیزی شد که همیشه می‌خواستم.

ش. ر

خیلی نگران بودم که نکنه دندونام حالت مصنوعی پیدا کنه، اما اصلاً این‌طور نشد. کاملاً طبیعی، مرتب و زیبا! ممنون از دکتر خسروانی.

د. ن

کارشون حرف نداره! واقعاً دکتر خسروانی یکی از بهترین متخصصان کامپوزیت دندان هستن. من به توصیه چند نفر اومدم و از نتیجه شگفت‌زده شدم.

م. د

یکی از مزایای مهم کامپوزیت ونیر دندان، انعطاف‌پذیری بالا و تطابق رنگ با دندان‌های طبیعی است. این ویژگی باعث می‌شود که ونیرها به خوبی با دندان‌های موجود ترکیب شوند و تفاوتی محسوس بین دندان‌های کامپوزیت شده و دندان‌های طبیعی وجود نداشته باشد. همچنین، فرآیند نصب کامپوزیت ونیر نیاز به تراش کمتری از سطح دندان دارد و در نتیجه، ساختار اصلی دندان کمتر دچار آسیب می‌شود.

کامپوزیت ونیرها نسبت به لمینت‌های سرامیکی هزینه کمتری دارند و می‌توانند به صورت موقت یا دائمی استفاده شوند. این ویژگی‌ها باعث می‌شود که افرادی که به دنبال راه‌حلی سریع و مقرون به صرفه برای زیباسازی دندان‌های خود هستند، به سمت کامپوزیت ونیرها گرایش پیدا کنند. البته، لازم به ذکر است که طول عمر کامپوزیت ونیرها نسبت به لمینت‌های سرامیکی کمتر است و نیاز به مراقبت بیشتری دارند.

یکی از مواردی که باید در نظر گرفته شود، نگهداری و مراقبت‌های پس از نصب کامپوزیت ونیر است. استفاده از مواد غذایی سخت و انجام عادات نامناسب مانند جویدن ناخن می‌تواند به کامپوزیت‌ها آسیب برساند. بنابراین، رعایت بهداشت دهان و دندان و مراجعه منظم به دندانپزشک برای چکاپ و تمیزکاری حرفه‌ای ضروری است. همچنین، استفاده از محافظ دهان در هنگام ورزش‌های تماسی می‌تواند به افزایش طول عمر کامپوزیت ونیرها کمک کند.

در نهایت، انتخاب کامپوزیت ونیر دندان به عنوان راه‌حلی برای اصلاح طرح لبخند، یک تصمیم هوشمندانه برای افرادی است که به دنبال زیبایی و سلامت دندان‌های خود هستند. با مشاوره با دندانپزشک متخصص، می‌توانید بهترین روش را با توجه به نیازها و وضعیت دندان‌های خود انتخاب کنید و از لبخندی زیبا و جذاب بهره‌مند شوید

کامپوزیت دندان چیست؟

کامپوزیت دندان چیست؟

کامپوزیت دندان، یکی از روش‌های پرطرفدار و موثر برای زیباسازی دندان‌ها است. این روش که به عنوان ونیر کامپوزیت نیز شناخته می‌شود، برای اصلاح رنگ، شکل و اندازه دندان‌ها کاربرد دارد. در این فرایند، ماده‌ای به نام کامپوزیت به سطح دندان‌ها چسبانده می‌شود و به شکل دلخواه فرم داده می‌شود. این درمان برای کسانی که به دنبال دندان‌هایی زیبا، درخشان و یکنواخت هستند، انتخاب بسیار مناسبی است. کامپوزیت ونیر می‌تواند به لبخند شما جلوه‌ای طبیعی و جذاب ببخشد.

یکی از مهم‌ترین مزایای کامپوزیت دندان این است که فرایند نصب آن به سرعت و بدون درد انجام می‌شود. برخلاف روش‌های دیگر مانند لمینت، در کامپوزیت نیاز به تراشیدن زیاد دندان نیست و این یعنی دندان‌ها آسیب کمتری می‌بینند. همچنین، هزینه کامپوزیت دندان نسبت به دیگر تکنیک‌های زیبایی دندان کمتر است. هر واحد کامپوزیت بسته به نیاز شما برای اصلاح طرح لبخند صورت میگیرد.

البته همانند هر روش دیگری، کامپوزیت دندان نیز دارای معایبی است. از معایب کامپوزیت می‌توان به احتمال تغییر رنگ با گذشت زمان در صورت عدم رعایت اصول بهداشتی دهان و دندان اشاره کرد؛ همچنین، دوام و مقاومت کامپوزیت به اندازه لمینت نیست، اما با مراقبت مناسب می‌توان آن را برای مدت طولانی حفظ کرد. نکته مهم این است که با رعایت بهداشت دهان و دندان و پرهیز از مصرف غذاهای رنگی و سفت، می‌توان ماندگاری کامپوزیت را افزایش داد.

یکی دیگر از نکات مهم برای افرادی که به دنبال این درمان هستند، قیمت کامپوزیت دندان است. قیمت این روش بسته به تعداد دندان‌ها، تخصص دندانپزشک و نوع مواد مصرفی متفاوت است. در مقایسه با روش‌های دیگر مانند لمینت، کامپوزیت گزینه‌ای اقتصادی‌تر است و با هزینه‌ای کمتر، نتایجی بسیار مطلوب ارائه می‌دهد. این ویژگی باعث شده است که بسیاری از افراد برای بهبود ظاهر لبخند خود به سراغ این روش بیایند.

در نهایت، کامپوزیت دندان یک راه حل عالی برای کسانی است که به دنبال اصلاح سریع و کم‌هزینه دندان‌های خود هستند. این روش می‌تواند لبخندی جذاب‌تر و زیباتر برای شما به ارمغان بیاورد و اعتماد به نفس شما را افزایش دهد. اگر به دنبال راهی برای بهبود ظاهر دندان‌های خود هستید، ونیر کامپوزیت یک گزینه ایده‌آل است که می‌تواند نتایجی شگفت‌انگیز را برای شما فراهم کند

کاربردهای کامپوزیت دندان: زیبایی و سلامت در کنار هم

کامپوزیت دندان یا همان composite به انگلیسی، یکی از محبوب‌ترین و پرکاربردترین روش‌های ترمیم و زیباسازی دندان‌ها است. این روش، با استفاده از مواد پیشرفته، به دندان‌ها ظاهری طبیعی و زیبا می‌بخشد و در عین حال، مقاومت و دوام بالایی دارد. انجام کامپوزیت دندان نه‌تنها برای بهبود ظاهر دندان‌ها استفاده می‌شود، بلکه به عنوان یک روش محافظتی نیز می‌تواند نقش مهمی در سلامت دهان و دندان ایفا کند. در این بخش، به بررسی کاربردهای متنوع کامپوزیت دندان می‌پردازیم:

۱. ترمیم دندان‌های شکسته و فاصله‌دار

یکی از مهم‌ترین کاربردهای کامپوزیت دندان، ترمیم دندان‌های شکسته یا فاصله‌دار است. اگر دندان شما بر اثر ضربه یا سایش شکسته شده باشد، یا بین دندان‌های شما فاصله‌ای وجود داشته باشد که از نظر ظاهری ناخوشایند باشد، کامپوزیت دندان شکسته یا کامپوزیت دندان فاصله دار می‌تواند به‌عنوان یک راه‌حل عالی برای بازگرداندن زیبایی طبیعی دندان‌های شما باشد. این روش، با پر کردن شکاف‌ها و بازسازی قسمت‌های از دست رفته دندان، ظاهر یکدست و جذابی ایجاد می‌کند.

۲. اصلاح دندان‌های خرگوشی و نیش

بسیاری از افراد ممکن است از شکل دندان‌های خرگوشی یا نیش خود ناراضی باشند. کامپوزیت دندان خرگوشی و کامپوزیت دندان نیش به‌راحتی می‌تواند این مشکلات را برطرف کند. این روش، با تغییر شکل و تنظیم اندازه دندان‌ها، به شما این امکان را می‌دهد که لبخندی متقارن و زیبا داشته باشید. این موضوع به‌ویژه برای کسانی که به ظاهر خود اهمیت می‌دهند، بسیار جذاب است.

۳. بهبود دندان‌های جلو و پوسیده

دندان‌های جلویی نقش مهمی در زیبایی لبخند ایفا می‌کنند. کامپوزیت دندان جلو یک راه‌حل ایده‌آل برای افرادی است که دندان‌های جلویی‌شان آسیب دیده یا تغییر رنگ داده است. همچنین، اگر دندانی پوسیده یا کج داشته باشید، کامپوزیت دندان پوسیده یا کج به عنوان یک روش محافظتی و ترمیمی موثر عمل می‌کند و دندان‌های شما را تقویت و زیباتر می‌کند.

۴. انواع کامپوزیت‌های دندان و انتخاب مناسب

یکی از مزایای روش کامپوزیت، وجود انواع مختلفی از کامپوزیت‌ها است که بسته به نیاز و شرایط فرد، انتخاب می‌شوند. به عنوان مثال، کامپوزیت هیبرید یکی از جدیدترین و پیشرفته‌ترین انواع کامپوزیت‌ها است که به دلیل مقاومت بالا و ظاهر طبیعی خود، مورد توجه بسیاری از بیماران و دندان‌پزشکان قرار گرفته است. انتخاب نوع مناسب کامپوزیت به شما کمک می‌کند تا به بهترین نتیجه دست پیدا کنید.

۵. تاثیرات مثبت دندان کامپوزیت شده بر روی زندگی روزمره

یکی از مهم‌ترین دلایلی که بسیاری از افراد به سراغ روش کامپوزیت می‌روند، تاثیر دندان کامپوزیت شده بر روی اعتماد به نفس و کیفیت زندگی است. دندان‌های صاف، درخشان و یکدست باعث می‌شوند که افراد در روابط اجتماعی و کاری خود احساس بهتری داشته باشند. این احساس مثبت نه‌تنها به افزایش اعتماد به نفس کمک می‌کند، بلکه در سلامت روانی نیز تاثیرگذار است.

۶. کمترین میزان تهاجم و حفظ ساختار طبیعی دندان

یکی دیگر از مزایای کامپوزیت دندان، این است که در مقایسه با سایر روش‌های ترمیمی مانند لمینت یا روکش، کمتر تهاجمی است. در این روش، نیازی به تراشیدن زیاد دندان نیست و ساختار طبیعی دندان‌ها تا حد ممکن حفظ می‌شود. این ویژگی کامپوزیت باعث می‌شود تا دندان‌ها سالم‌تر باقی بمانند و در عین حال ظاهری زیبا داشته باشند.

۷.  چرا کامپوزیت دندان یک انتخاب عالی است؟

در نهایت، انجام کامپوزیت دندان یک انتخاب مناسب برای افرادی است که به دنبال ترکیب زیبایی و سلامت دهان و دندان هستند. با توجه به انواع کامپوزیت دندان و قابلیت‌های منحصر به فرد آن، این روش می‌تواند نیازهای مختلف بیماران را برطرف کند. اگر به دنبال بهبود ظاهر لبخند خود هستید و می‌خواهید دندان‌هایی مقاوم و جذاب داشته باشید، کامپوزیت دندان یکی از بهترین گزینه‌ها برای شما خواهد بود.

انواع کامپوزیت دندان

انواع کامپوزیت دندان

انواع کامپوزیت دندان یکی از پرطرفدارترین روش‌های ترمیمی و زیبایی در دندان‌پزشکی مدرن است که با توجه به تنوع در مواد و فناوری‌های مورد استفاده، می‌تواند به هر نوع نیاز بیمار پاسخ دهد. این روش درمانی به دلیل ظاهر طبیعی و دوام بالایی که دارد، به‌ویژه در سال‌های اخیر محبوبیت بیشتری پیدا کرده است. در این قسمت، به معرفی انواع مختلف کامپوزیت دندان و مزایای هر یک از آن‌ها خواهیم پرداخت.

یکی از قدیمی‌ترین انواع کامپوزیت دندان، ماکروفیل‌ها هستند که ذرات بزرگی دارند و به همین دلیل مقاومت بالایی در برابر سایش دارند. این نوع کامپوزیت‌ها به‌خاطر مقاومت و دوام بالای خود معمولاً برای نواحی خلفی دندان‌ها به کار می‌روند. با این حال، به دلیل اندازه بزرگ ذرات، سطح نهایی آن‌ها ممکن است به صاف و شفافیت کامپوزیت‌های مدرن نرسد، اما همچنان برای بیمارانی که به دنبال دوام بیشتر در مناطق دندان‌های آسیاب هستند، گزینه‌ای مناسب است.

میکروفیل‌ها با ذرات ریزتر خود، گزینه‌ای محبوب برای دندان‌های قدامی و ترمیم‌های زیبایی هستند. این نوع کامپوزیت‌ها به دلیل توانایی ایجاد سطحی بسیار صاف و براق، ظاهر طبیعی‌تری به دندان‌ها می‌دهند. اگر به دنبال کامپوزیتی هستید که بیشترین شباهت را به مینای طبیعی دندان داشته باشد، میکروفیل‌ها می‌توانند انتخاب بسیار خوبی باشند.

هیبریدها که ترکیبی از ذرات ریز و درشت هستند، تلاشی موفق برای ترکیب مزایای هر دو نوع ماکروفیل و میکروفیل محسوب می‌شوند. هیبریدهای معمولی که اولین نسخه از این نوع کامپوزیت‌ها بودند، به دلیل دوام و زیبایی قابل‌قبول، انتخاب خوبی برای بسیاری از بیماران هستند. میکرو هیبریدها و نانو هیبریدها نسخه‌های پیشرفته‌تر این نوع هستند که با بهبود ویژگی‌های مکانیکی و زیبایی‌شناختی، کاربرد گسترده‌تری پیدا کرده‌اند. نانو هیبریدها به دلیل داشتن ذرات بسیار ریز، سطحی بسیار صاف و طبیعی به دندان می‌دهند و در عین حال از استحکام بالایی برخوردارند.

کامپوزیت IPS یکی دیگر از انواع کامپوزیت‌های پیشرفته است که با فناوری‌های نوین ساخته شده و به خاطر شفافیت و رنگ‌پذیری بالای خود، ظاهری بسیار طبیعی و زیبا به دندان‌ها می‌بخشد. کامپوزیت آی پی اس بیشتر برای بیمارانی که به دنبال بالاترین سطح زیبایی و طبیعی‌ترین ظاهر هستند، توصیه می‌شوند.

برای افرادی که به دنبال یک درمان زیبایی مؤثر و در عین حال بادوام هستند، رزین کامپوزیت‌ها به عنوان ماده اصلی در بسیاری از این کامپوزیت‌ها، گزینه‌ای ایده‌آل است. با توجه به نوع و ویژگی‌های مختلف کامپوزیت‌ها، هر بیمار می‌تواند به‌عنوان کاندیدای مناسب کامپوزیت دندان انتخاب شود، اما باید قبل از تصمیم‌گیری با دندان‌پزشک خود مشورت کند تا بهترین گزینه برای نیازهای شخصی او مشخص شود.

در نهایت، عمر کامپوزیت دندان بسته به نوع کامپوزیت انتخابی و مراقبت‌های پس از آن، معمولاً بین ۵ تا ۱۰ سال متغیر است. همچنین، با رعایت بهداشت دهان و دندان و مراجعه منظم به دندان‌پزشک، می‌توان به افزایش طول عمر کامپوزیت کمک کرد. اگر به دنبال داشتن لبخندی زیبا و دندان‌هایی با ظاهر کامپوزیت طبیعی هستید، انتخاب کامپوزیت دندان می‌تواند یکی از بهترین و مؤثرترین روش‌های درمانی باشد.

مزایای کامپوزیت دندان

پیش از این اشاره کردیم که کامپوزیت دندان یکی از روش‌های نوین و مؤثر در زیباسازی دندان‌ها است که به دلیل مزایای متعدد آن، توجه بسیاری از افراد را جلب کرده است.

یکی از دلایل تفاوت قیمت کامپوزیت دندان در بازار، به انتخاب برند کامپوزیت بستگی دارد. برندهای مختلف، کیفیت‌های متفاوتی را ارائه می‌دهند که تأثیر مستقیمی بر روی قیمت کامپوزیت دندان دارد. در انتخاب برند کامپوزیت، توصیه می‌شود که به اعتبار و کیفیت برند توجه ویژه‌ای داشته باشید تا از نتیجه‌ای مطلوب و پایدار بهره‌مند شوید. همچنین، مشاوره با دندانپزشک متخصص می‌تواند در انتخاب بهترین برند کمک شایانی کند.

  • یکی از مهم‌ترین مزایای این روش، هزینه مناسب کامپوزیت دندان در مقایسه با دیگر روش‌های درمانی و زیبایی است. با توجه به اینکه قیمت کامپوزیت دندان نسبت به روش‌هایی چون لمینت بسیار اقتصادی‌تر است، بسیاری از افراد قادرند از این تکنیک بهره مند شده و زیبایی دندان‌های خود را بهبود بخشند.
  • رنگ کامپوزیت یکی دیگر از مزایای مهم این درمان است. کامپوزیت دندان به راحتی قابل تطابق با رنگ طبیعی دندان‌ها است و به همین دلیل می‌توان به طور مؤثری به زیباسازی لبخند پرداخت. با انتخاب رنگ مناسب کامپوزیت، نتایج طبیعی و هماهنگ با رنگ دندان‌های طبیعی شما به دست می‌آید که این موضوع باعث افزایش اعتماد به نفس و رضایت شما خواهد شد.
  • مدت زمان انجام کامپوزیت دندان نیز از دیگر مزایای این روش است. برخلاف برخی از روش‌های زیبایی دندان که نیاز به زمان طولانی‌تری دارند، فرآیند کامپوزیت دندان نسبتاً سریع و بدون درد است. معمولاً در یک جلسه کوتاه می‌توان به نتایج قابل توجهی دست یافت، که این موضوع باعث صرفه‌جویی در وقت و کاهش اضطراب بیمار می‌شود.
  • بیلدآپ کلی دندان یکی دیگر از نکات مثبت کامپوزیت دندان است. با استفاده از این تکنیک، مشکلاتی نظیر ترک‌ها، شکستگی‌ها و فاصله‌های بین دندان‌ها به راحتی قابل رفع هستند. این فرآیند به گونه‌ای انجام می‌شود که ساختار دندان حفظ شده و زیبایی و عملکرد آن بهبود می‌یابد.
  • همچنین، یکی از مزایای کامپوزیت دندان این است که این درمان به راحتی با روش‌های دیگری نظیر بلیچینگ دندان هماهنگ می‌شود. در حین بلیچینگ، کامپوزیت دندان می‌تواند به عنوان یک مکمل عمل کند و باعث افزایش درخشش و زیبایی دندان‌ها شود. این هماهنگی، به شما کمک می‌کند تا به نتیجه‌ای یکپارچه و زیبا در لبخند خود دست یابید.

در نهایت، انتخاب کامپوزیت دندان به دلیل مزایای متعدد آن، از جمله هزینه مناسب، سرعت عمل، قابلیت هماهنگی با رنگ طبیعی دندان‌ها، و سازگاری با دیگر روش‌های زیبایی، به یکی از گزینه‌های برتر در زیباسازی دندان‌ها تبدیل شده است. با توجه به این مزایا، توصیه می‌شود که با مشاوره دندانپزشک خود، این روش مؤثر را امتحان کنید و از نتایج آن لذت ببرید

عوارض کامپوزیت دندان

کامپوزیت دندان یکی از روش‌های محبوب در دندانپزشکی زیبایی است که به دلیل قابلیت‌های فراوانی که دارد، توجه بسیاری از افراد را به خود جلب کرده است. این ماده به ویژه برای اصلاح نقص‌های ظاهری دندان‌ها، مانند شکستگی‌ها و تغییر رنگ‌ها، مورد استفاده قرار می‌گیرد. با این حال، مانند هر درمان دیگری، کامپوزیت دندان نیز معایب و عوارضی دارد که ممکن است باعث نگرانی برخی از افراد شود. اما اگر با این معایب آشنا شوید، خواهید دید که بسیاری از این مشکلات قابل مدیریت هستند و می‌توانند به راحتی کنترل شوند.

از دید برخی افراد، یکی از معایب کامپوزیت دندان، احتمال بوی بد دهان است که ممکن است به دلیل تجمع باکتری‌ها یا مواد غذایی در اطراف کامپوزیت‌ها ایجاد شود؛ با این حال، این مورد اصلا ربطی به معایب کامپوزیت نداشته و تنها به بهداشت دهان و دندان فرد مرتبط است. رعایت بهداشت دهان و دندان به طور منظم و استفاده از مسواک و نخ دندان می‌تواند به طور چشمگیری این مشکل را کاهش دهد و از بروز بوی بد دهان جلوگیری کند. در نتیجه، با حفظ یک روتین منظم بهداشت دهان و دندان، این عارضه قابل کنترل است و نباید مانع از استفاده از کامپوزیت دندان شود.

لک شدن کامپوزیت نیز یکی دیگر از عوارضی است که ممکن است به وجود آید. این لک‌ها معمولاً ناشی از مصرف مواد غذایی و نوشیدنی‌های رنگی هستند. با این حال، انتخاب مواد غذایی و نوشیدنی‌های با رنگدانه کمتر می‌تواند به حفظ زیبایی کامپوزیت‌ها کمک کند؛ همچنین رعایت بهداشت مناسب دهان پس از مصرف مواد غذایی و نوشیدنی های مختلف، به ماندگاری رنگ طبیعی کامپوزیت ها کمک کرده و تا سال ها میتوانید از درخششش و زیبایی دندان های خود لذت ببرید.

در مورد احتمال پشیمانی بعد از کامپوزیت دندان، باید گفت که اکثریت  افراد پس از تجربه این درمان، به دلیل بهبود قابل توجه در ظاهر دندان‌هایشان و لبخند جذاب تر خود، از نتیجه کاملا راضی هستند. انتخاب یک دندانپزشک متخصص و ماهر و رعایت تمام دستورالعمل‌های بهداشتی قبل و بعد از درمان می‌تواند به کاهش احتمال پشیمانی کمک کند. در حقیقت، با تحقیق و برنامه‌ریزی صحیح، می‌توانید از نتایج کامپوزیت دندان بهره‌مند شوید و از نگرانی‌ها و معایب احتمالی جلوگیری کنید.

در نهایت، اگرچه کامپوزیت دندان مشکلات جزئی خود را دارد (که البته با مراقبت های صحیح میتوان از آنها جلوگیری کرد)، اما مزایای این درمان و قابلیت‌های آن برای بهبود ظاهر دندان‌ها بسیار قابل توجه است. با در نظر گرفتن نکات فوق و مشورت با دندانپزشک متخصص، می‌توانید از این درمان بهره‌مند شده و به زیبایی و سلامت دندان‌های خود افزوده و از نگرانی‌های موجود در مورد بدی‌های کامپوزیت دندان جلوگیری کنید.

مراحل کامپوزیت دندان

کامپوزیت دندان به عوان یکی از مؤثرترین و محبوب‌ترین روش‌ها برای بهبود زیبایی و سلامت دندان‌ها، نه تنها ظاهر دندان‌ها را بهبود می‌بخشد، بلکه مقاومت و دوام بالایی دارد. در این قسمت  قصد داریم مراحل انجام کامپوزیت دندان را به صورت دقیق توضیح دهیم تا شما بتوانید با آگاهی بیشتری تصمیم به انجام این روش بگیرید. استفاده از dental composite نتایج درخشانی در ایجاد لبخندی جذاب و طبیعی به همراه دارد:

1. معاینه اولیه دندان‌ها

در اولین مرحله، دندان‌پزشک شما دندان‌هایتان را به دقت معاینه می‌کند تا مطمئن شود که آیا شما گزینه مناسبی برای کامپوزیت دندان هستید یا خیر. در این معاینه، سلامت لثه‌ها، ساختار دندان‌ها و نیازهای شما بررسی می‌شود. در صورتی که پوسیدگی یا عفونت در دندان‌ها وجود داشته باشد، ابتدا نیاز به درمان آنها وجود دارد. این مرحله پایه‌ای برای موفقیت درمان کامپوزیت است.

2. انتخاب رنگ کامپوزیت

یکی از مهم‌ترین بخش‌های این روش، انتخاب بهترین رنگ کامپوزیت است. دندان‌پزشک با استفاده از تکنیک‌های پیشرفته و انتخاب دقیق رنگی که با دندان‌های طبیعی شما همخوانی داشته باشد، به ایجاد نتیجه‌ای طبیعی کمک می‌کند. انتخاب طبیعی‌ترین رنگ کامپوزیت دندان نقش مهمی در زیبایی نهایی دارد. این مرحله باعث می‌شود که کامپوزیت به شکلی بسیار طبیعی جلوه کند و تفاوت آن با دندان‌های اصلی به حداقل برسد.

3. تمیز کردن و آماده‌سازی دندان‌ها

پس از انتخاب رنگ، دندان‌ها باید برای مراحل انجام کامپوزیت دندان آماده شوند. در این مرحله، دندان‌پزشک سطح دندان‌ها را به طور کامل تمیز کرده و هرگونه پلاک یا جرم را از بین می‌برد. سپس سطح دندان‌ها کمی تراش داده می‌شود تا مواد کامپوزیت به خوبی به دندان بچسبند. این مرحله کلیدی است زیرا باعث می‌شود کامپوزیت به طور مداوم و بدون هیچ‌گونه مشکلی روی دندان‌ها قرار گیرد.

4. قرار دادن مواد کامپوزیت

در این مرحله، دندان‌پزشک لایه‌ای نازک از مواد dental composite را به سطح دندان شما اضافه می‌کند. این مواد قابل شکل‌دهی هستند و دندان‌پزشک می‌تواند به دقت آنها را بر اساس شکل و ساختار دندان‌های شما تنظیم کند. این مرحله شامل چندین لایه است تا نتیجه‌ای قوی و بادوام به دست آید. هر لایه به کمک نور مخصوصی به سرعت سفت می‌شود.

5. شکل‌دهی و صیقل دادن

پس از قرار دادن مواد کامپوزیت، نوبت به شکل‌دهی دقیق دندان‌ها می‌رسد. دندان‌پزشک از ابزارهای مخصوصی برای ایجاد شکل طبیعی دندان‌ها استفاده می‌کند. این مرحله به زیبایی و طبیعی بودن نتیجه کمک می‌کند. سپس دندان‌ها صیقل داده می‌شوند تا سطح آنها براق و یکدست شود، به طوری که تفاوت بین دندان‌های طبیعی و کامپوزیت به حداقل برسد.

6. بررسی نهایی و تنظیمات دقیق

در این مرحله، دندان‌پزشک نتیجه نهایی را بررسی کرده و در صورت نیاز تغییرات نهایی را انجام می‌دهد. این تنظیمات شامل بررسی ارتفاع دندان‌ها، تناسب با دندان‌های مقابل و بررسی دقیق رنگ و شکل دندان‌هاست. هدف این مرحله این است که اطمینان حاصل شود کامپوزیت به بهترین نحو با بقیه دندان‌ها هماهنگ شده است.

 7. فواید کامپوزیت دندان و نگهداری پس از درمان

پس از اتمام کار، دندان‌پزشک شما را درباره فواید کامپوزیت دندان و نکات لازم برای نگهداری صحیح از آن راهنمایی می‌کند. برای افزایش دوام و ماندگاری کامپوزیت، لازم است بهداشت دهان و دندان به دقت رعایت شود و از مصرف غذاها و نوشیدنی‌هایی که ممکن است باعث تغییر رنگ کامپوزیت شوند، خودداری شود. با مراقبت‌های مناسب، کامپوزیت دندان می‌تواند تا سال‌ها بدون هیچ مشکلی ماندگار باشد و به شما لبخندی زیبا و با اعتماد به نفس هدیه کند.

این مراحل باعث می‌شوند که کامپوزیت دندان نه تنها ظاهری زیبا و طبیعی داشته باشد، بلکه دوام و کیفیت بالایی نیز ارائه دهد.

اطلاعات تماس مطب

دکتر رضا خسروانی متخصص زیبایی دندان

تهران، ولنجک، خیابان چهاردهم، پلاک ۱۹، ساختمان هوما، واحد ۵۰۴

تلفن تماس: ۰۲۱۲۶۸۷۸۶۰۰

Hide picture