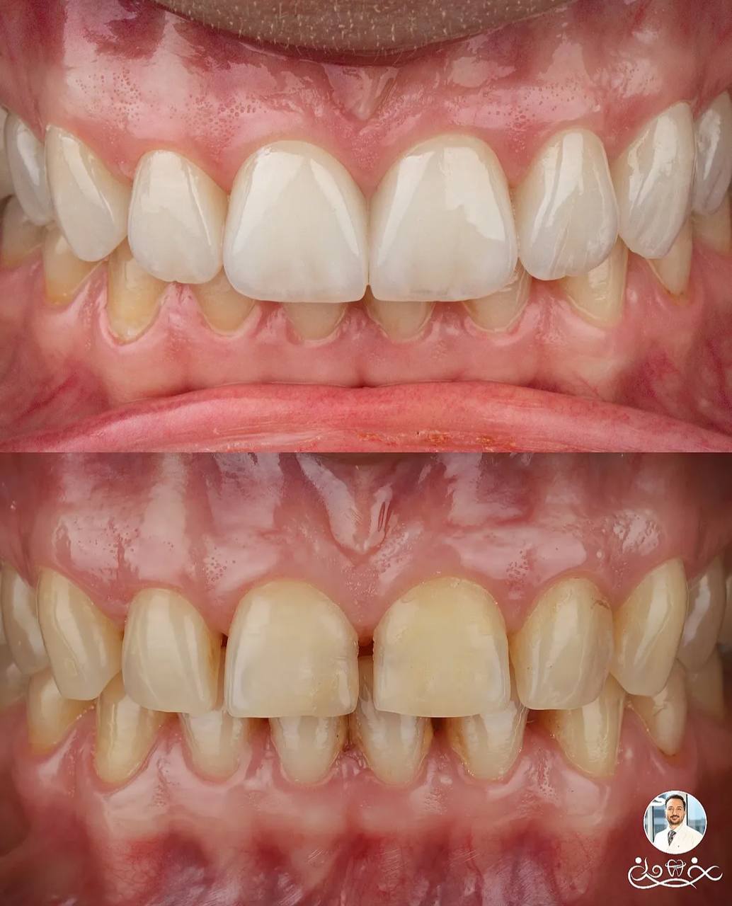
آیا تا به حال برایتان سؤال شده که دلایل تغییر رنگ لمینت دندان چیست؟ لمینتهای دندان یکی از محبوبترین روشهای دندانپزشکی زیبایی هستند که با تغییر شکل و رنگ دندانها، لبخندی جذابتر و درخشانتر به افراد هدیه میدهند. با این حال، یکی از دغدغههای رایج در میان افرادی که از لمینت استفاده میکنند، تغییر رنگ لمینت یا لکه شدن آن در طول زمان است. در این مقاله، به بررسی علتهای اصلی تغییر رنگ لمینت دندان و روشهای جلوگیری از آن میپردازیم.
علت تغییر رنگ لمینت دندان چیست؟
در این نوشته می خوانید:
- علت تغییر رنگ لمینت دندان چیست؟
- چطور مواد غذایی و نوشیدنیهای رنگی باعث تغییر رنگ لمینت دندان میشوند؟
- چگونه رعایت بهداشت دهان و دندان از تغییر رنگ لمینت جلوگیری میکند؟
- تأثیر سیگار بر تغییر رنگ لمینت دندان: چگونه دخانیات باعث زرد شدن لمینت میشود؟
- تأثیر افزایش سن بر تغییر رنگ لمینت دندان: چگونه با گذر زمان ظاهر لمینتها تغییر میکند؟
- آیا لمینت دندان به مرور زمان رنگ میگیرد؟
- آیا میتوان لمینت دندان را دوباره سفید کرد؟
- اثر قهوه بر تغییر رنگ لمینت دندان
- روشهای جلوگیری از تغییر رنگ و لکه شدن لمینت دندان
- نتیجهگیری:

علت تغییر رنگ لمینت دندان چیست؟
یکی از دلایل عمده تغییر رنگ لمینت، تأثیر مواد غذایی و نوشیدنیهایی مانند قهوه، چای، و نوشیدنیهای رنگی است. این مواد حاوی ترکیباتی هستند که میتوانند روی سطح لمینت تأثیر گذاشته و باعث تغییر رنگ شوند. دیگر دلایل شامل:
- عدم رعایت بهداشت دهان و دندان: تجمع پلاک و جرم روی لمینت باعث تغییر رنگ میشود.
- استفاده از سیگار و محصولات نیکوتینی: این موارد به سرعت لمینت را لکدار میکنند.
- استفاده از لمینتهای بیکیفیت: کیفیت پایین مواد به کار رفته در ساخت لمینت ممکن است باعث تغییر رنگ زودهنگام شود.
چطور مواد غذایی و نوشیدنیهای رنگی باعث تغییر رنگ لمینت دندان میشوند؟
تغییر رنگ لمینت دندان یکی از نگرانیهای اصلی افرادی است که از این روش زیبایی دندان استفاده میکنند. لمینتهای دندان به دلیل ظاهر براق و مقاومت بالایشان در برابر لکهگیری، انتخابی محبوب در دندانپزشکی زیبایی هستند. اما مصرف مداوم غذاها و نوشیدنیهای رنگی میتواند به تدریج موجب تغییر رنگ و کاهش درخشندگی آنها شود. در ادامه به تأثیر مواد غذایی و نوشیدنیها بر تغییر رنگ لمینت و روشهای پیشگیری از آن میپردازیم.
چرا مواد غذایی و نوشیدنیهای رنگی موجب تغییر رنگ لمینت میشوند؟
علت اصلی تغییر رنگ لمینت، وجود رنگدانههای قوی در برخی مواد غذایی و نوشیدنیها است. این رنگدانهها به مرور زمان میتوانند روی سطح لمینت رسوب کرده و باعث تغییر ظاهر آن شوند. برخی از مهمترین عواملی که در این تغییر رنگ تأثیر دارند، عبارتند از:
- مصرف زیاد نوشیدنیهای رنگی مانند قهوه، چای، و نوشابههای گازدار.
- عدم رعایت بهداشت دهان و دندان پس از مصرف این مواد.
- مصرف غذاهای رنگی شامل سسهای قرمز، شکلات تلخ و ادویههای تیرهرنگ مانند زعفران.
چگونه مصرف نوشیدنیهای رنگی بر تغییر رنگ لمینت تأثیر میگذارد؟
نوشیدنیهایی مانند قهوه و چای، حاوی ترکیباتی به نام تانن هستند که به شدت مستعد ایجاد لکه روی سطح لمینت هستند. این ترکیبات، به خصوص زمانی که مصرف نوشیدنی به همراه قند باشد، تأثیر بیشتری بر تغییر رنگ لمینت میگذارند. برای کاهش این تأثیر:
- از نی استفاده کنید تا تماس مستقیم نوشیدنی با سطح لمینت کاهش یابد.
- پس از نوشیدن، آب بنوشید یا دهان خود را شستوشو دهید.
- مصرف این نوشیدنیها را در حد اعتدال نگه دارید.
چگونه رعایت بهداشت دهان و دندان از تغییر رنگ لمینت جلوگیری میکند؟
رعایت بهداشت دهان و دندان یکی از مهمترین عواملی است که تأثیر مستقیم بر سلامت و زیبایی لمینتهای دندانی دارد. عدم توجه به اصول بهداشتی میتواند منجر به ایجاد پلاک، تغییر رنگ و کاهش عمر لمینتها شود. در این بخش به اهمیت بهداشت دهان و دندان و تأثیر آن بر جلوگیری از تغییر رنگ لمینت پرداختهایم.
چرا بهداشت دهان و دندان برای لمینتها اهمیت دارد؟
عدم رعایت بهداشت دهان و دندان یکی از مهمترین دلایل تغییر رنگ و آسیب به لمینتها است. تجمع پلاک و جرم روی سطح لمینت میتواند باعث تغییر رنگ و کاهش درخشندگی آن شود. عوامل مؤثر عبارتند از:
- مسواک نزدن منظم: عدم مسواکزدن روزانه باعث تجمع پلاک روی لمینت میشود.
- استفاده نکردن از نخ دندان: باقیماندن مواد غذایی بین دندانها به مرور موجب ایجاد لکه روی لمینتها میشود.
- عدم استفاده از دهانشویه: دهانشویههای حاوی فلوراید میتوانند به کاهش تجمع پلاک کمک کنند.
تأثیر سیگار بر تغییر رنگ لمینت دندان: چگونه دخانیات باعث زرد شدن لمینت میشود؟
سیگار کشیدن یکی از مهمترین عوامل مؤثر در تغییر رنگ لمینت دندان است. نیکوتین و قطران موجود در سیگار همانطور که روی دندانهای طبیعی تأثیر میگذارند، میتوانند موجب تغییر رنگ و زرد شدن لمینتها نیز شوند.
چگونه سیگار باعث تغییر رنگ لمینت دندان میشود؟
مواد شیمیایی موجود در سیگار، مانند نیکوتین و قطران، به راحتی روی سطح لمینت دندان باقی میمانند و به مرور زمان موجب زرد شدن آنها میشوند. این تغییر رنگ به دلیل:
- تجمع مداوم نیکوتین: که باعث ایجاد لکههای زرد روی سطح لمینت میشود.
- تماس مکرر دود سیگار با لمینتها: که منجر به کاهش درخشندگی و زیبایی آنها میگردد.
- عدم رعایت بهداشت مناسب: افراد سیگاری معمولاً با تجمع بیشتر پلاکها روی دندانها مواجه میشوند که این مسئله تغییر رنگ را تشدید میکند.
چگونه میتوان تأثیر سیگار بر تغییر رنگ لمینت را کاهش داد؟
اگرچه بهترین راه برای جلوگیری از تغییر رنگ لمینت ترک سیگار است، اما روشهایی وجود دارد که میتوان با استفاده از آنها اثرات سیگار را کاهش داد:
- مسواک زدن منظم: از خمیردندانهای مخصوص استفاده کنید تا لکههای ایجادشده توسط نیکوتین را کاهش دهید.
- استفاده از دهانشویه: دهانشویههای حاوی فلوراید میتوانند به کاهش پلاک و درخشندگی لمینت کمک کنند.
- جرمگیری تخصصی دندانها: مراجعه منظم به دندانپزشک برای جرمگیری تخصصی، تغییر رنگ لمینت را به حداقل میرساند.
تغییر رنگ لمینت بر اثر سیگار کشیدن امری اجتنابناپذیر است. اگرچه لمینتها مقاومت بیشتری در برابر لکهگیری دارند، اما نیکوتین و مواد شیمیایی سیگار میتوانند ظاهر زیبای آنها را به مرور زمان تحت تأثیر قرار دهند. با رعایت نکات بهداشتی و کاهش مصرف سیگار، میتوانید از زیبایی و سلامت لمینتهای دندان خود محافظت کنید و لبخندی درخشانتر داشته باشید.
تأثیر افزایش سن بر تغییر رنگ لمینت دندان: چگونه با گذر زمان ظاهر لمینتها تغییر میکند؟
افزایش سن یکی از عواملی است که میتواند به تغییر رنگ لمینت دندان منجر شود. با بالا رفتن سن، تغییراتی در ساختار دهان و دندان ایجاد میشود که ممکن است تأثیر مستقیم یا غیرمستقیم بر ظاهر و کیفیت لمینتها داشته باشد.
چرا افزایش سن باعث تغییر رنگ لمینت میشود؟
با گذشت زمان، برخی عوامل مرتبط با افزایش سن میتوانند به تغییر رنگ لمینت منجر شوند:
- تحلیل لثهها: با افزایش سن، لثهها بهطور طبیعی تحلیل میروند و بخشهایی از دندان که در گذشته پوشیده بودند، نمایان میشوند. این نواحی ممکن است خطوط قهوهای یا لکههای رنگی را آشکار کنند.
- تأثیر غذاها و نوشیدنیهای رنگی: مصرف مداوم مواد غذایی و نوشیدنیهای تیره مانند قهوه و چای در طول سالها میتواند به ایجاد لکه روی مینای دندان منجر شود که این لکهها به لمینتها نیز منتقل میشوند.
- کاهش استحکام چسبها: چسبهای مورد استفاده برای نصب لمینتها ممکن است با گذشت زمان کیفیت اولیه خود را از دست بدهند، که این مسئله نیز میتواند باعث نمایان شدن تغییر رنگ شود.
چگونه میتوان از تغییر رنگ لمینت در اثر افزایش سن جلوگیری کرد؟
اگرچه روند طبیعی افزایش سن قابل توقف نیست، اما راهکارهایی وجود دارد که میتوانید با استفاده از آنها تأثیر این روند بر تغییر رنگ لمینت را کاهش دهید:
- رعایت دقیق بهداشت دهان و دندان شامل مسواکزدن روزانه و استفاده از نخ دندان.
- اجتناب از مصرف مداوم غذاها و نوشیدنیهای رنگی یا شستوشوی دهان پس از مصرف آنها.
- مراجعه منظم به دندانپزشک برای بررسی وضعیت لمینتها و لثهها.
- انجام پاکسازی حرفهای دندانها برای حذف لکهها و جرمهای تجمعیافته.
افزایش سن یکی از دلایل طبیعی و اجتنابناپذیر تغییر رنگ لمینت دندان است، اما با رعایت نکات بهداشتی و مراقبتی میتوان از شدت این تغییرات کاست. توجه به سلامت لثهها و انجام معاینات دورهای دندانپزشکی، علاوه بر حفظ زیبایی لمینتها، میتواند در افزایش طول عمر آنها نیز مؤثر باشد. مراقبت از لمینتها، راز داشتن لبخندی جوانتر و زیباتر است!
آیا لمینت دندان به مرور زمان رنگ میگیرد؟

آیا لمینت دندان به مرور زمان رنگ میگیرد؟
یکی از سؤالات رایج این است که آیا لمینت به مرور زمان رنگ میگیرد؟ بله، لمینتها ممکن است با گذشت زمان دچار تغییر رنگ شوند. البته میزان این تغییر رنگ به نوع و کیفیت لمینت، عادات غذایی و میزان توجه به بهداشت دهان و دندان بستگی دارد. برای جلوگیری از این مسئله، رعایت نکات زیر ضروری است:
- شستوشوی دهان پس از مصرف مواد غذایی رنگی.
- استفاده از خمیردندان مناسب برای دندانهای لمینتشده.
- مراجعه منظم به دندانپزشک برای پاکسازی حرفهای.
آیا میتوان لمینت دندان را دوباره سفید کرد؟
اگر لمینتهای دندان شما دچار تغییر رنگ شدهاند، احتمالاً از خود میپرسید: آیا میتوان لمینت دندان را دوباره سفید کرد؟ اگرچه سفید کردن دندانهای طبیعی با استفاده از بلیچینگ ممکن است، اما این روش برای لمینتها مناسب نیست. در عوض، میتوان از روشهای حرفهای مانند پولیش سطحی توسط دندانپزشک یا تعویض لمینت استفاده کرد. همچنین، استفاده از محصولات پاککننده مخصوص لمینت میتواند تا حدی به بازگرداندن درخشندگی اولیه کمک کند.
اثر قهوه بر تغییر رنگ لمینت دندان
اثر قهوه بر تغییر رنگ لمینت دندان یکی از مهمترین عواملی است که نباید نادیده گرفته شود. مصرف مداوم قهوه، چای یا نوشیدنیهای دیگر حاوی رنگدانههای قوی میتواند باعث ایجاد لکههای زرد یا قهوهای روی لمینت شود. برای کاهش این اثر، موارد زیر را در نظر بگیرید:
- استفاده از نی هنگام نوشیدن قهوه.
- شستن دهان بلافاصله بعد از نوشیدن.
- کاهش مصرف قهوه یا جایگزینی آن با نوشیدنیهای کمرنگتر.
روشهای جلوگیری از تغییر رنگ و لکه شدن لمینت دندان
آیا تغییر رنگ لمینت دندان قابل پیشگیری است؟ برای جلوگیری از تغییر رنگ لمینتها و حفظ زیبایی لبخندتان، رعایت نکات زیر ضروری است:
- مسواک زدن روزانه با خمیردندان حاوی فلوراید.
- استفاده از نخ دندان برای پاکسازی فواصل بین دندانی.
- مراجعه منظم به دندانپزشک برای بررسی وضعیت لمینتها.
- اجتناب از مصرف مواد غذایی رنگی یا اسیدی بهصورت مکرر.
- ترک سیگار و محصولات نیکوتینی.
نتیجهگیری:
با رعایت بهداشت دهان و دندان و مراقبت صحیح، میتوانید از تغییر رنگ لمینت دندان جلوگیری کرده و لبخندی درخشان و ماندگار داشته باشید. اگر احساس میکنید لمینتهای شما دچار تغییر رنگ شدهاند، با دندانپزشک خود مشورت کنید تا بهترین روش درمانی را انتخاب کنید.


