لمینت دندان نیش بیرون زده چگونه است؟
داشتن لبخندی زیبا بر زیبایی و برخورداری از چهرهای دلنشین بسیار اثرگذار بوده و دندانهای صاف و یکدست میتوانند یکی از فاکتورهای مهم در بدون نقص نشان دادن چهره هر فرد باشند. برخی از افراد با مشکلاتی همچون بیرون زدگی دندانهای نیش مواجه هستند که خود عاملی برای بر هم زدن زیبایی چهره است. امروزه علوم مختلف از جمله علوم دندانپزشکی در زمینه ترمیم و اصلاح طرح لبخند بسیار پیشرفت کرده و به راحتی میتوان نواقص موجود را برطرف نمود. لمینت دندان روشی بسیار مطمئن و اساسی برای درمان و ترمیم دندانهای آسیب دیده به شمار میرود. حال باید گفت لمینت دندان نیش بیرون زده چگونه است؟ مزایا و معایب این روش چیست؟
لمینت دندان نیش بیرون زده چگونه انجام می شود؟
در این نوشته می خوانید:
- لمینت دندان نیش بیرون زده چگونه انجام می شود؟
- چه عواملی سبب بروز دندان نیش بیرون زده می شوند؟
- بیرون زدگی نیش دندان چه مشکلاتی را به دنبال دارد؟
- لمینت دندان نیش بیرون زده و انواع آن
- دندان نیش بیرون زده
- روش درمان دندان نیش بیرون زده به کمک لمینت
- طریقه انجام لمینت دندان نیش بیرون زده
- روش های درمان دندان نیش بیرون زده و مقایسه آن ها

لمینت دندان نیش بیرون زده چگونه انجام می شود؟
دندانهای نیش از مهمترین دندانهایی محسوب میشوند که در میزان زیبایی چهره بیشترین تأثیر را داشته و محل قرارگیری آنها در جلوی دهان است. گاهی اوقات به دلایلی همچون کم بودن فضا برای رشد دندانهای نیش نسبت به دیگر دندانها ارتفاع بیشتری داشته و از حالت نرمال خود جلوتر میآیند یا به اصطلاح بیرون میزنند. همچنین بیرونزدگی نیش دندان علاوهبر اینکه میتواند بر زیبایی و تکلم افراد موثر باشد، میتواند از نظر بهداشتی نیز فرد را با مشکلات و خطراتی مواجه سازد.
تجمع باکتری و میکروب در لابهلای دندانهای بیرون زده میتواند سلامت و بهداشت دهان و دندان را تحتالاشعاع قرار داده و تمیز کردن دندانها را نیز دشوارتر نماید. بنابراین چنانچه تصمیم به انجام لمینت دندان در تهران را دارید، در ابتدا باید دندانهای نیش بیرون زده خود را ترمیم کنید تا همردیف سایر دندانها شوند. سپس میتوانید لمینت دندان را انجام دهید. رنگ لمینت دندان را میتوانید براساس سلیقه شخصی خود انتخاب کرده و در نتیجه کار هیچگونه تفاوتی میان دندانهای معمولی و نیش دندان بیرون زده مشاهده نخواهید کرد.
چه عواملی سبب بروز دندان نیش بیرون زده می شوند؟
در بیشتر مواقع علت اصلی بیرون زدگی دندان نیش، به ژنتیک افراد برمیگردد و ممکن است در افراد زیادی از اعضای خانواده این اتفاق رخ دهد. همچنین گاهی اوقات به دلیل بزرگ بودن دندانهای کناری فضای کافی برای رشد دندانهای نیش باقی نمانده و در نتیجه سبب بالا رفتن دندانها میشود. دندانهای نیش شیری برخی از افراد زودتر از دیگر دندانها از لثه خارج شده و دلیل آن میتواند پوسیدگی یا دیگر عوامل باشد. بنابراین در چنین حالتی دندانهای دیگر از فضای خالی استفاده کرده و جا برای رشد دندانهای نیش را اشغال میکنند. فضای ناکافی برای رشد و تکامل صحیح دندانهای نیش این امکان را به وجود میآورد که دندانها به صورت بیرون زده و نابههنجار رشد نمایند.
بیرون زدگی نیش دندان چه مشکلاتی را به دنبال دارد؟
هر چند بزرگترین انگیزه افراد برای اصلاح یا جلوگیری از رشد دندانهای بیرون زده حفظ زیبایی چهره است؛ اما دلایل زیادی برای انجام این کار وجود دارند. جویدن یکی از گامهای اصلی در فرآیند گوارش بوده که در نتیجه به سلامت کلی بدن مربوط میرود. بنابراین علاوهبر زیبایی، اصلاح دندان نیش بیرون زده بر سلامتی نیز موثر خواهد بود. داشتن دندانهای صاف و یکدست و بدون هیچ گونه خرابی برای جویدن و در آخر هضم درست غذاها الزامی است. همان طور که میدانید دندانهای عقبی در مقایسه با دندانهای جلویی وظیفه بیشتری در جویدن غذا برعهده دارند؛ اما با این حال دندانهای نیش میتوانند در جویدن موثر واقع شوند.
همچنین دندانهای نیش بیرون زده میتوانند باعث عدم تلفظ و ادای صحیح کلمات شوند. نحوه حرکت لب و زبان برای به وجود آوردن صدای مناسب و تلفظ درست کلمات هر دو تحت تأثیر دندانهای نیش قرار دارند. علاوهبر آن احتمال ضربه خوردن و بروز آسیب به دندانهای بیرون زده بسیار بیشتر از دندانهایی خواهد بود که در جای مناسب خود رشد کردهاند. لازم به ذکر است که اگر دندانهای بیرون زده دارید، حدالامکان از انجام ورزش و مسابقات پربرخورد بپرهیزید. کاهش اعتمادبهنفس در بین افرادی که از دندانهای نیش بیرون زده برخوردار هستند یکی دیگر از مشکلاتی است که افراد با آن مواجه میشوند. این افراد به سختی میتوانند در جوامع حاضر شده و لبخند بزنند. دندانهای نیش بیرون زده حتی ممکن است اثرات مخربی بر شرایط شغلی و اجتماعی افراد داشته باشند.
لمینت دندان نیش بیرون زده و انواع آن

لمینت دندان نیش بیرون زده و انواع آن
به طور کلی دو دوسته مجزا به نامهای لمینت کامپوزیت و پرسلن برای لمینت دندان نیش بیرون زده در نظر گرفته شدهاند. هر کدام از این دو گروه میتوانند به روشهای مجزای دیگری تبدیل شوند. بنابراین تنها راه انتخاب یکی از این لمینتها به وضعیت دندان، میزان بودجه برای ونیر دندان، طول عمر، انتخاب بیمار، پیشنهاد متخصص و دیگر فاکتورهای مهم بستگی خواهد داشت.
مقداری از سطح مینای دندان به دلیل تهاجمی بودن این روش، تراشیده شده و سپس روی آن لمینت قرار داده خواهد شد. اگر بخواهیم دیگر مدلهای موجود در این دسته را نام ببریم باید به موارد زیر اشاره کنیم:
- E-Max
- Porcelain
- Zirconium
- Lumineer
همچنین در یک روز یا همان در یک جلسه عموماً اقدامات لازم برای انجام ونیرهای کامپوزیتی به پایان خواهند رسید. علاوهبر آن در این روش به دلیل غیرتهاجمی بودن رویکرد، نیازی برای تراشیدن سطح مینای دندان نیز وجود ندارد. لازم به ذکر است که ونیر کامپوزیت دارای طول عمر کمتری است. نهایتاً میزان ماندگاری و اثرگذاری این روش بر دندانهای نیش بیرون زده نیز بسته به مراقبت شما متفاوت خواهد بود.
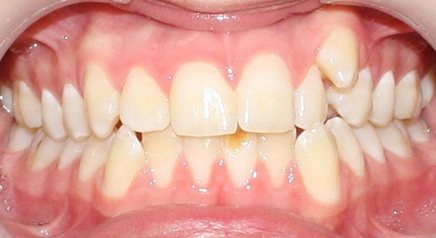
دندان نیش بیرون زده
زمانی که دندانهای نیش نسبت به دیگر دندانها در وضعیت متفاوت و جلوتری قرار داشته باشند، به این معنا بوده که فرد دچار بیرون زدگی دندان نیش شده است. بیرون زدگی دندانهای نیش ممکن است برای هر دو فک بالا و پایین اتفاق بیفتد که به دنبال آن شخص اعتمادبهنفس و خودباوری خود را از دست خواهد داد. همان طور که بیان گردید دلایل گوناگونی نیز برای بروز دندانهای نیش بیرون زده وجود دارند. همچنین باید بدانید که راه به خصوصی برای جلوگیری از بروز این نوع دندانها وجود نداشته؛ زیرا اصلیترین دلیل آن مربوط به وراثت است.
چنانچه یک یا هر دوی والدین دچار بیرون زدگی دندان نیش باشند، احتمال اینکه فرزند آنها نیز دچار این عارضه شود، بسیار زیاد خواهد بود. از دیگر موارد بروز دندانهای بیرون زده زمانی است که فک بیمار بسیار کوچک بوده و توان و فضای رشد دندانها را نداشته باشد. بنابراین در این حالت سبب میگردد برخی از دندانها نتوانند همردیف با سایر دندانها رشد نموده و دچار بیرون زدگی میشوند.
روش درمان دندان نیش بیرون زده به کمک لمینت
لمینت برای درمان دندان نیش بیرون زده یکی از بهترین راههای پیشنهادی به حساب میآید. همچنین باید بدانید که تمامی افرادی که دچار بیرون زدگی دندان هستند نمیتوانند از لمینت دندان برای درمان استفاده نمایند. بیمارانی که میزان بیرون زدگی کمتری داشته باشند، میتوانند کاندیداهای خوبی برای این روش درمانی به شمار میروند. برای شروع ابتدا مقداری از مینای دندان تراشیده شده و روی آن لمینت دندان قرار خواهد گرفت. همچنین باید بدانید که تشخیص نوع درمان به کمک دندانپزشک مشخص میشود، زیرا این روش با روش ارتودنسی بسیار متفاوت است.

روش درمان دندان نیش بیرون زده به کمک لمینت
لمینت دندان درمانی بسیار سریعتر نسبت به دیگر روشها همچون ارتودنسی است؛ بنابراین میتوان کوتاه بودن زمان درمان را یک مزیت دانست. انجام لمینت دندان خود را به یک متخصص باتجربه بسپارید، زیرا این کار بسیار حساس و دقیق بوده و در صورت اشتباه، مشکلاتی برای فرد به وجود خواهد آمد.
طریقه انجام لمینت دندان نیش بیرون زده
برای رسیدن به نتیجه دلخواه پس از درمان بیرون زدگی دندان به کمک لمینت باید تمامی مراحل این روش به درستی و دقیق انجام گیرند. ابتدا برای تشخیص درست انجام یا عدم انجام آن به یک دندانپزشک متخصص مراجعه کرده و در اینباره از او مشاوره بگیرید. سپس در مراحل بعدی نوبت به انتخاب رنگ لمنیت خواهد رسید؛ زیرا زمانی که تمامی دندانهای خود را لمینت میکنید، دایره انتخابی شما گستردهتر میشود. هنگامیکه تنها خواستار انجام لمینت برای یک یا چند دندان خود هستید، باید رنگ ونیر شما متناسب با دیگر دندانهای طبیعی شما انتخاب شود تا تضاد سبب ناهماهنگی دندانهای شما نگردد.

طریقه انجام لمینت دندان نیش بیرون زده
دندانپزشک پس از گذراندن مراحل اولیه شروع به تراشیدن برآمدگی دندان کرده تا جایی که با قرار دادن روکش، دندان همردیف با دیگر دندانهای بیمار گردد. لمینت دندان خود از مزایای دیگری همچون کوتاه بودن مدت درمان و نیاز نداشتن به بیحسی برخوردار بوده و همین امر سبب محبوبیت بیشتر آن شده است. بنابراین برای آمادهسازی لمینت، دندان بعد از تراشیده شدن به خوبی ضدعفونی شده و سپس روی آن به کمک مواد و چسب مخصوص لمینت نصب میگردد.
روش های درمان دندان نیش بیرون زده و مقایسه آن ها

روش های درمان دندان نیش بیرون زده و مقایسه آن ها
بیرون زدگی نیش دندان از جمله عوارضی است که نمیتوان از بروز آن پیشگیری کرد. بنابراین فرد سعی میکند برای رفع آن به دنبال راه حلهای اساسی و مطمئن باشد. اگر بخواهید این دندانها را به حال خود رها کنید تا درمان شوند؛ یا امکان درمان طبیعی وجود ندارد یا در صورت وجود، بسیار بلندمدت خواهد بود. بنابراین برای درمان سریعتر متخصصان دندانپزشک دو راه حل ارتودنسی و لمینت را به مراجعین پیشنهاد مینمایند. ارتودنسی دندان روش مناسبی برای درمان دندانهای بیرون زده به حساب میآید؛ اما این روش برای کسانی که حوصله درمانهای بلندمدت را ندارند، توصیه نمیشود. لمینت دندان به عنوان دومین روش درمانی از نظر زمانی بسیار سریعتر و سادهتر از ارتودنسی خواهد بود. بنابراین از میان دو روش موجود میتوان به دلخواه و با تشخیص متخصص بهترین را برگزینید.




دیدگاه خود را ثبت کنید
تمایل دارید در گفتگوها شرکت کنید؟در گفتگو ها شرکت کنید.