دکتر رضا خسروانی متخصص دندانپزشکی زیبایی
ولنجک، خیابان چهاردهم، پلاک ۱۹، ساختمان هوما، واحد ۵۰۴
تهرانتلفن دوم: 02126878600
| شنبه | 11:00 AM - 6:00 PM |
| یکشنبه | 11:00 AM - 6:00 PM |
| دوشنبه | 11:00 AM - 6:00 PM |
| سه شنبه | 11:00 AM - 6:00 PM |
| چهارشنبه | 11:00 AM - 6:00 PM |
| پنج شنبه | 11:00 AM - 6:00 PM |

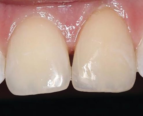
نکات مهم پس از انجام لمینت دندان
راهکارهایی برای افزایش طول عمر روکش های دندان ها
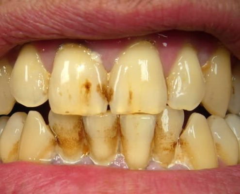
تاثیرات مخرب قلیان بر کامپوزیت
بهترین انتخاب بین ارتودنسی یا لمینت
آیا افراد مبتلا به دیابت می توانند ایمپلنت دندان انجام دهند؟
مقایسه بین لمینت و ایمپلنت دندان
همه چیز درباره کامپوزیت دندان خرگوشی
عوارض استعمال دخانیات از جمله سیگار برای سلامت دهان و دندان افراد
طول عمر ایمپلنت دندان چقدر است؟
مزیت های باورنکردنی بلیچینگ دندان