مقایسه بین لمینت و ایمپلنت دندان
لازمه داشتن لبخندی زیبا داشتن دندان هایی ردیف، سالم، سفید و درخشان است. برای رسیدن به این منظور باید مشکلات دندان ها را با مراجعه به یک متخصص باتجربه برطرف نمود. دو روش متداول در میان مردم برای برطرف کردن عیوب ظاهری دندان ها لمینت و ایمپلنت دندان هستند. مراجعه به یک متخصص با تجربه و با مهارت در اولین قدم می تواند بهترین گزینه برای برطرف کردن عیوب ظاهری دندان های بیمار برشمرده شود تا در نهایت بیمار دندان هایی زیبا داشته باشد. در ادامه این مطلب با ما همراه باشید تا از تفاوت بین ایمپلنت و لمینت دندان آگاهی پیدا نمایید.
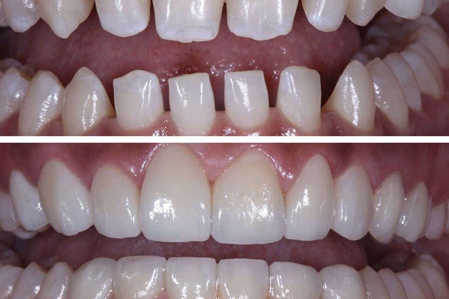
معرفی لمینت دندان همراه مزیت ها و معایب آن
در این نوشته می خوانید:
همانطور که پیش از این نیز به آن اشاره شد، یکی از روش های متداول برای برطرف کردن عیوب و نواقص ظاهری دندان ها و زیبایی بخشیدن به لبخند استفاده از لمینت دندان است. به وسیله لمینت ها می توان عیوب ظاهری دندان ها را مخفی نمود و در نتیجه در نهایت لبخندی زیبا به بیمار هدیه کرد. لمینت ها دو نوع سرامیکی و کامپوزیتی دارند. نوع سرامیکی لمینت ها دوام و استحکام بیشتری نسبت به نوع کامپوزیتی دارند اما در مقابل گران تر هستند. لمینت ها در پوشاندن تغییر رنگ دندان ها و نامساوی بودن اندازه آن ها، روشی توانمند برشمرده می شوند، اما استفاده از لمینت، مزیت ها و معایب زیادی را با خود به همراه دارد. مهم ترین مزیت های استفاده از روش درمانی لمینت اصلاح لبخند و مخفی کردن عیوب ظاهری دندان ها است. علاوه بر این لمینت ها بدون ایجاد حساسیت و آلرژی و به ساده ترین روش ممکن ظاهری طبیعی به دندان ها می بخشند.

معرفی لمینت دندان همراه مزیت ها و معایب آن
در کنار همه مزیت هایی که به آن ها اشاره شد، لمینت ها معایبی را نیز برای بیمار به دنبال دارند؛ از جمله آن که برای قرار گرفتن لمینت روی دندان ها باید مقداری از سطح مینای دندان تراشیده شود. علاوه بر این به دلیل این امر انجام لمینت هزینه بالایی برای بیمار به دنبال دارد و پس از آن نیازمند انجام مراقبت های مخصوصی است. به عنوان مثال بیمار باید رژیم غذایی خاصی را رعایت کند. در برخی مواقع ممکن است در اثر عدم تخصص دندانپزشک، لمینت ها با یکدیگر و یا با رنگ طبیعی دندان ها تطابق رنگ نداشته باشند.

معرفی ایمپلنت همراه مزیت ها و معایب آن
ایمپلنت دندان ها یکی از رایج ترین روش ها برای پر کردن جای خالی دندان های از دست رفته محسوب می شوند. ایمپلنت ها از سه بخش پایه، اباتمنت و تاج دندان تشکیل شده اند. پایه ایمپلنت از جنس تیتانیوم است که سازگاری بالایی با بدن انسان دارد. اباتمنت که نقش اتصال پایه با تاج مصنوعی دندان را بر عهده دارد نیز از استحکام بالایی برخوردار است و مانع از لق شدن ایمپلنت می شود. تاج مصنوعی دندان نیز ظاهری کاملا شبیه به دندان های طبیعی دارد و بنابراین می توان گفت ایمپلنت ها روشی دائمی هستند که با ظاهر و عملکردی مشابه دندان های طبیعی جای خالی دندان های از دست رفته را پر می کنند.
استفاده از ایمپلنت برای جایگزین کردن دندان از دست رفته مزیت های زیادی را به دنبال دارد؛ از جمله طبیعی بودن ظاهر و دوام بالای آن است که تقریباً ایمپلنت را به عنوان روشی مادام العمر به همه معرفی کرده است. لازم به ذکر است ایمپلنت به دندان های مجاور آسیبی وارد نمی کنند و موجب بروز مشکل در گفتار و فرآیند جویدن و بلع غذا در بیماران نمی شوند. در کنار همه این مزایا، این روش معایبی را نیز با خود به همراه دارد که از آن جمله می توان به احتمال بروز عفونت در صورت عدم تخصص کافی دندانپزشک زیبایی و ترمیمی در تهران و سایر شهرها، و رعایت بهداشت دهان و دندان، احتمال لق شدن روکش و شکستن ایمپلنت، احتمال شل شدن پیچ اباتمنت و دشوار بودن فرایند کاشت ایمپلنت و همراه بودن با درد و خونریزی اشاره کرد. همچنین ایمپلنت روشی درمانی با هزینه بالا است.
مقایسه بین لمینت با ایمپلنت دندان

مقایسه بین لمینت با ایمپلنت دندان
در ادامه این مطلب پس از معرفی کامل لمینت و ایمپلنت، مقایسه ای بین لمینت ها و ایمپلنت ها از نظر هزینه، دوام، زیبایی، عملکرد و مدت زمان درمان ارائه خواهد شد.
مقایسه هزینه ایمپلنت و لمینت
ایمپلنت ها روش درمانی مادام العمری محسوب می شوند و با توجه به این که نیازمند عمل جراحی هستند، هزینه بیشتری را برای بیمار به همراه دارند و گرانتر هستند؛ اما با این وجود این هزینه گران قیمت همچنان نسبت به هزینه ای که برای درمان لمینت می شود مقرون به صرفه تر خواهند بود، زیرا لمینت یک روش درمانی کوتاه مدت و غیر قابل بازگشت است که باید هر چند سال یک بار (بین 10 تا 15 سال) مجددا انجام شود در حالی که ایمپلنت دندان روش درمانی با دوامی است که با یک بار هزینه کردن نتیجه ای مادام العمر به همراه دارد.
مقایسه دوام درمان با ایمپلنت و لمینت
همانطور که پیش از این نیز به آن اشاره شد، ایمپلنت ها روشی دائمی محسوب می شوند و بیشتر بیماران تا پایان عمر می توانند از ایمپلنت های دندان خود استفاده کنند، بدون آنکه نیاز به تعویض پیدا کند، اما لمینت ها در بهترین حالت اگر از نوع سرامیکی باشند حدود ۱۲ سال و اگر از نوع کامپوزیتی باشند حدود ۷ سال دوام دارند و پس از این مدت باید تعویض شوند. همچنین لمینت ها نسبت به ایمپلنت ها آسیب پذیرتر هستند و بیشتر در معرض شکست و پوسیدگی قرار می گیرند.
تفاوت بین زیبایی دندان با ایمپلنت و لمینت

تفاوت بین زیبایی دندان با ایمپلنت و لمینت
اگر هدف بیمار از قرار گرفتن تحت درمان ایمپلنت یا لمینت جنبه های زیبایی باشد، گزینه مناسب لمینت است زیرا مواد مورد استفاده در ساخت روکش های لمینت زیبایی و شفافیت بیشتری نسبت به ایمپلنت ها دارد. علاوه بر این استفاده از لمینت در مخفی کردن عیوب ظاهری دندان ها بسیار توانمند است. بنابراین فرد با قرار گرفتن تحت درمان لمینت نه تنها لبخندی زیبا خواهد داشت بلکه اعتماد به نفس او نیز افزایش می یابد.
اختلاف بین عملکرد ایمپلنت و لمینت
به طور کلی می توان گفت مهم ترین عملکرد لمینت، زیبایی بخشیدن به خصوص به دندان های جلویی افراد و مخفی کردن نواقص و عیوب ظاهری آن ها است(درست شبیه به عملکرد کامپوزیت دندان). در حالی که مهم ترین عملکرد ایمپلنت جایگزین کردن دندان های از دست رفته است و با توجه به استحکام بالایی که دارد به خصوص برای دندان های آسیاب مناسب خواهد بود. لازم به ذکر است هر دوی این روش های درمانی برای همه دندان های موجود در فک قابل اجرا هستند اما لمینت ها برای دندان های جلو و ایمپلنت ها برای دندان های عقب نتایج بهتری را به دنبال خواهند داشت.
مدت زمان درمان لمینت دندان و کاشت دندان
به طور کلی از لحاظ مقایسه مدت زمان درمان باید به این نکته اشاره کرد که لمینت ها نسبت به ایمپلنت ها مدت زمان درمان کوتاه تری دارند. لمینت های کامپوزیتی نیز نسبت به نوع سرامیکی آن ها زمان کوتاه تری را به خود اختصاص می دهند. ایمپلنت ها به دلیل نیاز به عمل جراحی و شرایط خاصی که دارند جزو خدمات دندانپزشکی بلند مدت بر شمرده می شوند.
انتخاب بین لمینت یا ایمپلنت
پس از آشنایی کامل با لمینت و ایمپلنت دندان و آشنایی با تفاوت های آن ها نوبت به انتخاب مناسب ترین روش درمانی می رسد. برای برطرف کردن عیوب ظاهری دندان ها، سفید کردن آن ها و رفع لک و تیرگی و همچنین اصلاح فاصله بین دندان ها، پوشاندن نواقصی مانند شکستگی های جزئی و نامرتبی بهترین روش استفاده از لمینت دندان است، اما برای پر کردن جای خالی دندان از دست رفته بهترین گزینه ایمپلنت محسوب می شود. توجه داشته باشید بهترین کار برای انتخاب بهترین روش درمان مشورت با یک متخصص باتجربه و با دانش کافی است تا بیمار را برای انتخاب مناسب ترین روش درمانی راهنمایی کند.
سخن نهایی
لمینت و ایمپلنت هر دو جزو رایج ترین روش های درمان دندانپزشکی در میان مردم محسوب می شوند که هر یک با دیگری تفاوت ها و شباهت هایی دارد. لمینت روشی موفق برای پوشاندن نواقص ظاهری دندان ها است و ایمپلنت بهترین روش برای پر کردن جای خالی دندان از دست رفته در نظر گرفته می شود. این روش ها از نظر دوام، زیبایی بخشیدن، مدت زمان مورد نیاز برای درمان، هزینه و نحوه عملکرد با یکدیگر تفاوت هایی دارند که هنگام انتخاب بهترین روش درمانی باید در نظر گرفته شوند. باید توجه داشته باشید بهترین کار برای انتخاب مناسب ترین روش درمان مشورت با دکتر لمینت دندان و متخصص ایمپلنت باتجربه و با دانش کافی است تا پس از معاینه دهان و دندان بیمار با توجه به میزان مشکلات موجود در دهان او بهترین گزینه را به وی معرفی کند




دیدگاه خود را ثبت کنید
تمایل دارید در گفتگوها شرکت کنید؟در گفتگو ها شرکت کنید.