دکتر سید رضا خسروانی، متخصص دندانپزشکی زیبایی و ترمیمی در تهران
در این نوشته می خوانید:
- لبخندی به شکوه سپیدهدم
- جادوی دستهایی که لبخند را میسازند
- محیطی که آرامش را در قلب شما مینشاند
- لبخندی متناسب با هویت شما
- سفیدیای به درخشش صبح
- تجربیات مراجعین عزیز
- معیارهای بهترین متخصص کامپوزیت ونیر دندان در ولنجک
- فرآیند دریافت نوبت برای انجام کامپوزیت دندان در ولنجک تهران
- ترمیمی که به هنر میماند
- تکنولوژی در خدمت زیبایی
- تجربهای فراتر از درمان
- میراثی برای نسل آینده
- همراهی از ابتدا تا انتها
- لبخندی که هیچگاه فراموش نمیشود
- جرئت لبخند زدن را دوباره پیدا کنید!
- مزایای کامپوزیت دندان در ولنجک تهران
- میزان دوام و طول عمر کامپوزیت ونیر در ولنجک چقدر است؟
- عوامل موثر بر زیبایی کامپوزیت دندان:
- اهمیت مراقبتهای بعد از کامپوزیت دندان
- مشاوره فوری تخصصی کامپوزیت دندان در ولنجک تهران
- هزینه کامپوزیت دندان در ولنجک
- نتیجهگیری:
- سوالات متداول:
لبخندی به شکوه سپیدهدم
آیا هرگز به این اندیشیدهاید که لبخندتان میتواند همان نوری باشد که چهرهتان را درخشانتر و قلب دیگران را گرمتر میکند؟ در دل ولنجک، جایی که هنر و علم دست در دست هم دادهاند، دکتر سید رضا خسروانی، متخصص دندانپزشکی زیبایی و ترمیمی، این جادو را به حقیقت بدل میکند.
لبخند هر انسان، داستانی دارد. داستانی از امید، اعتماد و زیبایی. در مطب دکتر خسروانی، این داستانها به شیوهای متفاوت نوشته میشوند.
جادوی دستهایی که لبخند را میسازند
دکتر خسروانی با سالها تجربه و تخصص در زمینه دندانپزشکی زیبایی، دستهایی جادوگر دارد که لبخند شما را با دقت و هنر به اوج زیبایی میرساند. او با ترکیب دانش پیشرفته و حساسیت بینظیر به جزئیات، دندانهایی خلق میکند که نه تنها زیبا هستند، بلکه روح شما را به نمایش میگذارند.
محیطی که آرامش را در قلب شما مینشاند
مطب دکتر خسروانی مکانی آرام برای کسانی است که به دنبال تجربهای متفاوت از دندانپزشکی هستند. فضایی لوکس و گرم، جایی که هر قدم، شما را به آرامش و اطمینان نزدیکتر میکند.
لبخندی متناسب با هویت شما
دکتر خسروانی معتقد است که زیبایی واقعی زمانی پدیدار میشود که درمانها با روح و هویت هر فرد هماهنگ باشند. او با دقتی هنرمندانه، هر لبخند را به شکلی طراحی میکند که با ویژگیهای چهره و شخصیت شما در هم تنیده شود.
سفیدیای به درخشش صبح
دندانهایی سفید و شفاف همان چیزی است که به لبخند شما طراوت میبخشد. خدمات تخصصی کامپوزیت و لمینت دندان در مطب دکتر خسروانی، لبخند شما را همچون سپیدهدمی روشن و دلنشین به نمایش میگذارد.
تجربیات مراجعین عزیز
یک تغییر کوچک، یک اعتماد به نفس بزرگ!
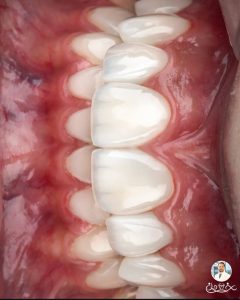
کامپوزیت دندان یکی از روشهای محبوب و موثر برای بهبود زیبایی و سلامت دندانهاست که امروزه در مناطق مختلف تهران، از جمله ولنجک، طرفداران زیادی پیدا کرده است. ولنجک تهران با داشتن دندانپزشکان مجرب و متخصصان حرفهای در زمینه ترمیم و زیبایی دندان، به یک مقصد برتر برای افرادی تبدیل شده که به دنبال درمانهای تخصصی کامپوزیت دندان هستند. در این مقاله، به معرفی خدمات کامپوزیت دندان در محدوده ولنجک پرداخته و به اهمیت انتخاب یک متخصص کامپوزیت ونیر در ولنجک برای دستیابی به نتایج بهتر اشاره میکنیم.
در منطقه ولنجک، دندانپزشکان با تخصص بالا در حوزه زیبایی و ترمیم دندانها فعالیت میکنند که با استفاده از بهترین مواد و تجهیزات، به ارائه خدمات کامپوزیت دندان میپردازند. متخصص ترمیم و زیبایی دندان ولنجک با بررسی دقیق وضعیت دندانهای بیمار، درمانی مناسب و بهروز را پیشنهاد میدهد که علاوه بر بهبود ظاهر دندانها، به بهبود کارکرد آنها نیز کمک میکند. انتخاب یک دندانپزشک مجرب و متخصص در این زمینه از اهمیت ویژهای برخوردار است، زیرا نتیجه نهایی به مهارت و تجربه دندانپزشک وابسته است.
یکی از دلایلی که کامپوزیت دندان ولنجک را به انتخاب اول بسیاری از ساکنان این منطقه تبدیل کرده، کیفیت بالای خدمات و دسترسی آسان به کلینیکهای معتبر است. بسیاری از کلینیکهای دندانپزشکی ولنجک با بهرهگیری از جدیدترین تکنولوژیهای روز دنیا و استفاده از مواد کامپوزیت با کیفیت، به بهبود ظاهر دندانها میپردازند. این موضوع موجب شده تا بسیاری از افراد در جستجوی دندانپزشکان ماهر در این منطقه باشند.
خدمات کامپوزیت دندان در محدوده ولنجک نه تنها برای زیبایی دندانها، بلکه برای ترمیم دندانهای آسیبدیده نیز کاربرد دارد. در این روش، دندانهای ترک خورده، شکسته یا دچار تغییر رنگ به طور کامل بازسازی شده و ظاهری زیبا و طبیعی به دست میآورند. استفاده از کامپوزیت دندان به دلیل ماندگاری بالا و نیاز کم به تغییرات اساسی در ساختار دندان، یکی از روشهای پرطرفدار در درمانهای زیبایی و ترمیمی دندانپزشکی است.
در نهایت، اگر به دنبال بهترین متخصص کامپوزیت ونیر در ولنجک هستید، حتماً به تجربه و تخصص پزشک توجه کنید. مراجعه به کلینیکهای معتبر دندانپزشکی ولنجک و دریافت مشاوره از پزشکان مجرب میتواند شما را در دستیابی به لبخندی زیبا و سالم یاری کند. انتخاب مناسبترین روش درمانی و اجرای صحیح آن توسط متخصص، تاثیر بسزایی در دوام و زیبایی کامپوزیت دندان دارد.
معیارهای بهترین متخصص کامپوزیت ونیر دندان در ولنجک

معیارهای بهترین متخصص کامپوزیت ونیر دندان در ولنجک
انتخاب بهترین متخصص کامپوزیت دندان در ولنجک تهران نیازمند توجه به معیارهای مهمی است که میتواند به شما کمک کند تا به نتایج دلخواه خود در زیبایی و ترمیم دندانها دست یابید. ولنجک تهران با داشتن تعداد زیادی از دندانپزشکان مجرب و مراکز تخصصی دندانپزشکی، گزینههای بسیاری را در اختیار شما قرار میدهد. با این حال، برای یافتن دندانپزشک خوب برای کامپوزیت در ولنجک، باید به چندین فاکتور کلیدی توجه کنید که در ادامه به بررسی آنها میپردازیم.
- اولین معیار برای انتخاب بهترین متخصص کامپوزیت ونیر دندان در ولنجک، تجربه و مهارت دندانپزشک است. دندانپزشکی که تجربه بالایی در زمینه کامپوزیت ونیر دارد، میتواند با توجه به ساختار و نیازهای خاص دندانهای شما، بهترین راهکارها را ارائه دهد. یک متخصص ماهر علاوه بر مهارت فنی، توانایی مشاوره دقیق و شخصیسازی درمان بر اساس وضعیت دندانهای هر بیمار را دارد که این امر منجر به نتایج بهتر و ماندگاری بیشتر درمان میشود.
- دومین معیار، استفاده از مواد با کیفیت و تکنولوژیهای پیشرفته در مرکز کامپوزیت ونیر دندان در ولنجک است. مراکزی که از مواد کامپوزیت مرغوب و تجهیزات مدرن استفاده میکنند، میتوانند بهترین نتایج را تضمین کنند. مواد با کیفیت باعث میشود کامپوزیتها طبیعیتر به نظر برسند و ماندگاری طولانیتری داشته باشند. بنابراین، قبل از انتخاب دندانپزشک کامپوزیت دندان خوب در ولنجک تهران، از کیفیت مواد و تجهیزات مورد استفاده در کلینیک مطمئن شوید.
- سومین معیار مهم در انتخاب دندانپزشک، میزان توجه به جزئیات و دقت در اجرای کار است. دندانپزشکی که به زیبایی و دقت در کار خود اهمیت میدهد، میتواند ظاهری طبیعی و هماهنگ برای دندانهای شما ایجاد کند. دندانپزشکی زیبایی در ولنجک با توجه به این نکته تلاش میکند تا لبخندی زیبا و جذاب برای بیماران خود به ارمغان بیاورد که این امر اعتماد به نفس بیماران را نیز افزایش میدهد.
- در نهایت، موقعیت مکانی و دسترسی آسان به کلینیک نیز اهمیت دارد. انتخاب یک دندانپزشک خوب برای کامپوزیت در ولنجک که در نزدیکی محل زندگی یا کار شما باشد، میتواند فرآیند درمان را برای شما راحتتر و زمانبندی جلسات را سادهتر کند. وجود کلینیکهای دندانپزشکی متعدد در ولنجک تهران این امکان را به شما میدهد که بدون نیاز به مسافرت طولانی، از خدمات تخصصی و حرفهای بهرهمند شوید.
با توجه به این معیارها، میتوانید بهترین متخصص کامپوزیت دندان در ولنجک را انتخاب کنید و از نتایج طبیعی و ماندگار درمان خود لذت ببرید. انتخاب یک دندانپزشک ماهر و معتبر که به نیازهای خاص شما توجه کند، نقش مهمی در موفقیت و رضایت شما از درمان کامپوزیت دندان خواهد داشت.
فرآیند دریافت نوبت برای انجام کامپوزیت دندان در ولنجک تهران
فرآیند دریافت نوبت برای انجام کامپوزیت دندان در ولنجک تهران یکی از سادهترین و سریعترین راهها برای دستیابی به لبخندی زیبا و جذاب است. بسیاری از افراد به دنبال اصلاح طرح لبخند و بهبود ظاهر دندانهای خود هستند، و کامپوزیت دندان یکی از بهترین روشها برای دستیابی به این هدف است. با مراجعه به مرکز کامپوزیت ونیر دندان در ولنجک، شما میتوانید از خدمات تخصصی و پیشرفته این مراکز بهرهمند شوید و در کوتاهترین زمان به نتایج مطلوب دست یابید.
در دندانپزشکی ولنجک، فرآیند دریافت نوبت بسیار ساده است و شما به راحتی میتوانید با یک تماس تلفنی یا رزرو آنلاین از طریق وبسایت کلینیک، نوبت خود را تنظیم کنید. این مراکز با ارائه مشاوره فوری تخصصی کامپوزیت دندان در محدوده ولنجک، به شما کمک میکنند تا از ابتدا تا انتهای درمان، تمامی اطلاعات لازم را در اختیار داشته باشید و بهترین تصمیم را برای زیبایی لبخند خود بگیرید.
انتخاب یک متخصص ترمیمی و زیبایی دندان در ولنجک، به خصوص در انجام کامپوزیت دندان، نقش بسیار مهمی در کیفیت نهایی درمان دارد. در این منطقه، بهترین دندانپزشکان با تجربه و تخصص بالا فعالیت میکنند و با استفاده از مواد اولیه با کیفیت و تکنیکهای بهروز، نتایج فوقالعادهای برای بیماران خود به ارمغان میآورند. همچنین، این متخصصین با توجه به نیازهای هر فرد، طرح درمانی منحصربهفردی ارائه میدهند تا تمامی جوانب زیبایی و سلامت دندانها رعایت شود.
کامپوزیت ونیر vip ولنجک یکی از خدمات متمایز این مراکز است که برای افرادی که به دنبال بهترین و سریعترین نتایج هستند، توصیه میشود. در این روش، از مواد کامپوزیتی با بالاترین کیفیت و تکنولوژیهای پیشرفته استفاده میشود تا هم زیبایی و هم دوام دندانها تضمین شود. خدمات VIP به شما این امکان را میدهد تا در محیطی لوکس و آرام، درمان خود را در کمال راحتی و با بهترین تجهیزات روز دنیا انجام دهید.
در طی فرآیند مشاوره، متخصصین با بررسی دقیق وضعیت دندانها و ارائه پیشنهادات مناسب، به شما کمک میکنند تا بهترین نوع درمان کامپوزیت را انتخاب کنید. مرکز کامپوزیت ونیر دندان در ولنجک همچنین به بیماران خود این امکان را میدهد که از تجربه دیگران بهره ببرند و نمونه کارهای انجام شده را مشاهده کنند تا از نتیجه نهایی مطمئن شوند.
برای دریافت نوبت، کافی است با بهترین دندانپزشکان کامپوزیت ونیر در ولنجک تهران تماس بگیرید و زمان مناسب برای مراجعه را تنظیم کنید. این مراکز به دلیل خدمات حرفهای و محیطی آرامشبخش، یکی از محبوبترین گزینهها برای ساکنان تهران به ویژه در منطقه ولنجک محسوب میشوند. در صورت نیاز به مشاوره فوری یا اطلاعات بیشتر، تیمهای پشتیبانی همیشه آماده کمک به شما هستند.
به طور کلی، کامپوزیت دندان یکی از بهترین روشها برای دستیابی به لبخندی زیبا و جذاب است و در منطقه ولنجک تهران، با توجه به وجود مراکز تخصصی و دندانپزشکان مجرب، میتوانید با اطمینان کامل به این درمان بپردازید. فرآیند دریافت نوبت ساده و سریع است و با خدمات مشاورهای حرفهای و استفاده از تکنیکهای مدرن، بهترین نتیجه را برای زیبایی دندانهای خود تجربه خواهید کرد.
ترمیمی که به هنر میماند
دندانهایی که روزگاری آسیب دیدهاند، در دستان دکتر خسروانی به زندگی بازمیگردند. او با بهرهگیری از تکنیکهای مدرن ترمیمی و هنری که در جزئیاتش نهفته است، دندانهایی میآفریند که گویی از ابتدا کامل و بینقص بودهاند.
تکنولوژی در خدمت زیبایی
کلینیک دکتر خسروانی مجهز به جدیدترین تکنولوژیهای روز دنیاست. از ابزارهای پیشرفته تصویربرداری گرفته تا مواد باکیفیت، همه چیز دست به دست هم دادهاند تا نتیجهای درخشان و ماندگار برای شما به ارمغان آورند.
تجربهای فراتر از درمان
دندانپزشکی نزد دکتر خسروانی تنها یک درمان نیست؛ بلکه سفری است که در آن، شما با بهترین نسخه از خودتان آشنا میشوید. او با دقت و صبوری، به شما این امکان را میدهد تا به زیبایی نهفته در لبخندتان باور کنید.
میراثی برای نسل آینده
دکتر خسروانی نه تنها یک درمانگر برجسته، بلکه یک استاد دانشگاه الهامبخش است. او با تربیت دانشجویانی که در آینده مسیر او را ادامه میدهند، علمی را که خود در آن تخصص دارد، به نسلهای بعدی منتقل میکند.
همراهی از ابتدا تا انتها
از لحظه ورود به مطب تا پایان درمان، تیم حرفهای دکتر خسروانی با دقت و مهربانی در کنار شما هستند. این همراهی، تجربهای متفاوت از دندانپزشکی را برای شما رقم میزند که در آن، آرامش و اطمینان حرف اول را میزند.
لبخندی که هیچگاه فراموش نمیشود
اگر به دنبال لبخندی هستید که همچون امضای شخصیت شما در ذهنها بماند، دکتر سید رضا خسروانی انتخابی بیهمتاست. او هنرمندی است که دندانهای شما را بوم نقاشی خود میبیند و با جادوی دستانش، لبخندی خلق میکند که تا همیشه به یاد خواهد ماند
جرئت لبخند زدن را دوباره پیدا کنید!
تنها یک قدم تا لبخند ایده آل فاصله دارید
مزایای کامپوزیت دندان در ولنجک تهران
قبلا ذکر کردیم که کامپوزیت دندان یکی از روشهای محبوب برای بهبود ظاهر دندانها و اصلاح طرح لبخند است که در سالهای اخیر توجه زیادی را به خود جلب کرده است. در منطقه ولنجک تهران، این روش توسط بهترین دندانپزشکان با استفاده از تجهیزات مدرن و تکنیکهای بهروز انجام میشود. این درمان به دلیل مزایای متعدد خود به گزینهای جذاب برای افرادی که به دنبال دندانهایی زیبا و سالم هستند، تبدیل شده است. اگر شما هم در منطقه ولنجک ساکن هستید و به دنبال بهترین راهحل برای بهبود لبخند خود میگردید، کامپوزیت دندان میتواند انتخاب مناسبی برای شما باشد.
- یکی از مهمترین مزایای انجام کامپوزیت دندان در ولنجک، دسترسی به مرکز دندانپزشکی مدرن در ولنجک است. این مراکز با بهرهگیری از پیشرفتهترین تجهیزات و فناوریهای روز دنیا، خدمات کامپوزیت دندان را با بالاترین کیفیت ارائه میدهند. علاوه بر این، دندانپزشکان ماهر و مجربی که در این مراکز فعالیت میکنند، تجربه و تخصص لازم برای انجام این درمان را دارند که باعث افزایش اطمینان بیماران میشود.
- یکی از دلایلی که افراد زیادی ترجیح میدهند دندانپزشکی در محدوده ولنجک را برای انجام کامپوزیت دندان انتخاب کنند، کیفیت بالای خدمات و محیط آرامشبخش این مراکز است. منطقه ولنجک به دلیل موقعیت مکانی خود و امکانات لوکس، یکی از مناطق محبوب تهران به شمار میرود و انتخاب دندانپزشکی در این منطقه به معنای دریافت خدمات با استانداردهای بالا است.
- یکی دیگر از مزایای کامپوزیت دندان در ولنجک، دسترسی آسان به بهترین دندانپزشکان است. بهترین دندانپزشک در ولنجک تهران با توجه به تجربه و مهارت خود، میتواند بهترین طرح درمانی را برای شما ارائه دهد. این متخصصین با توجه به نیازها و وضعیت دندانهای هر بیمار، رویکردی شخصیسازیشده برای انجام کامپوزیت در نظر میگیرند که باعث میشود نتایج نهایی کاملاً طبیعی و زیبا باشد.
- از دیگر مزایای این درمان، سرعت انجام آن است. برخلاف روشهای دیگر مانند ارتودنسی که زمانبر هستند، کامپوزیت دندان معمولاً در چند جلسه کوتاه انجام میشود و شما میتوانید به سرعت به لبخند دلخواه خود برسید. در ولنجک منطقه 1 تهران، مراکز دندانپزشکی مدرن با بهرهگیری از فناوریهای پیشرفته، این امکان را برای شما فراهم میکنند که با کمترین زمان و بدون دردسر به نتیجه دلخواه خود برسید.
- همچنین، کامپوزیت دندان به دلیل قابلیت تطبیق رنگ با دندانهای طبیعی، نتایج بسیار طبیعی و زیبا ارائه میدهد. این مزیت باعث میشود تا دندانهای ترمیمشده به راحتی با دندانهای طبیعی شما هماهنگ شوند و لبخندی یکدست و درخشان داشته باشید. انتخاب دندانپزشکی در منطقه ولنجک به دلیل دسترسی به مواد با کیفیت و تجهیزات پیشرفته، تضمینی برای دستیابی به این نتایج است.
در نهایت، منطقه ولنجک به دلیل موقعیت ممتاز خود در تهران و دسترسی آسان به بهترین امکانات پزشکی و دندانپزشکی، گزینهای ایدهآل برای انجام کامپوزیت دندان است. شما میتوانید با مراجعه به مراکز معتبر دندانپزشکی در این منطقه، از مزایای کامپوزیت دندان بهرهمند شده و با لبخندی زیبا و اعتمادبهنفس بالا، زندگی روزمره خود را ادامه دهید.
میزان دوام و طول عمر کامپوزیت ونیر در ولنجک چقدر است؟
اما یکی از سوالات اصلی در رابطه با کامپوزیت ونیر دندان در ولنجک، میزان دوام و طول عمر آن است. در این قسمت، به بررسی عوامل مؤثر بر ماندگاری کامپوزیت ونیر پرداخته و به شما کمک میکنیم تا تصمیمگیری بهتری برای انتخاب این روش در ولنجک داشته باشید:
۱. عوامل مؤثر بر دوام کامپوزیت دندان
میزان ماندگاری و زیبایی کامپوزیت دندان به چه عواملی وابسته است؟ یکی از مهمترین عواملی که بر دوام و طول عمر کامپوزیت دندان در ولنجک تاثیر میگذارد، کیفیت مواد استفاده شده و تجربه دندانپزشک است. در صورتی که شما از یک دندانپزشک کامپوزیت دندان خوب در ولنجک تهران بهرهمند شوید، میتوانید انتظار داشته باشید که کامپوزیت ونیر شما حداقل ۵ تا ۱۰ سال دوام داشته باشد. البته برخی افراد با مراقبتهای مناسب حتی میتوانند این مدت را افزایش دهند.
عوامل موثر بر ماندگاری کامپوزیت دندان عبارتند از:
- کیفیت مواد کامپوزیت: استفاده از مواد با کیفیت باعث افزایش طول عمر کامپوزیت میشود. به بیان دیگر، برخی از مواد کامپوزیت مقاومتر و بادوامتر هستند و میتوانند برای مدت طولانیتری در دهان باقی بمانند. یک دندانپزشکی مدرن در منطقه 1 تهران معمولاً از بهترین مواد و تکنیکهای روز دنیا برای ارائه خدمات استفاده میکند.
- تجربه و تخصص دندانپزشک: انتخاب یک متخصص ماهر از لیست بهترین دندانپزشکان کامپوزیت ونیر در ولنجک تهران، میتواند تاثیر زیادی در نتیجه نهایی داشته باشد. یک دندانپزشک متخصص ترمیم و زیبایی دندان در ولنجک میتواند تأثیر زیادی بر ماندگاری و کیفیت نهایی کامپوزیت دندان داشته باشد. دندانپزشکان با تجربه و آموزشهای پیشرفته قادر به انجام کارهای دقیق و زیبا هستند که عمر کامپوزیت را به طور قابل توجهی افزایش میدهند.
- مراقبتهای دهان و دندان: رعایت بهداشت دهان و دندان و پرهیز از مصرف مواد مخرب مانند سیگار، میتواند ماندگاری کامپوزیت را افزایش دهد. مسواک زدن منظم، استفاده از نخ دندان و مراجعه دورهای به دندانپزشک کامپوزیت دندان خوب در ولنجک تهران میتواند به افزایش طول عمر کامپوزیت کمک کند.
- وضعیت دندانهای زیرین: کامپوزیت دندان باید بر روی دندانهای سالم و قوی قرار گیرد. در صورتی که دندانهای زیرین ضعیف یا دچار پوسیدگی باشند، کامپوزیت ممکن است به زودی خراب شود یا نیاز به ترمیم داشته باشد. بنابراین، قبل از هرگونه درمان، باید دندانهای شما توسط یک متخصص دندانپزشکی ولنجک بررسی و درمان شود.
- عادات دهان و دندان: عادات و رفتارهای روزانه شما نیز بر طول عمر کامپوزیت تاثیرگذار است. جویدن مواد سخت، استفاده از دندانها به عنوان ابزار، یا دندانقروچه کردن میتواند به سرعت کامپوزیتها را خراب کند. توصیه میشود در صورتی که دندان قروچه میکنید، از محافظهای شبانه استفاده کنید.
۲. تفاوت کیفیت بین مراکز دندانپزشکی مختلف در ولنجک
در منطقه ولنجک، تعدادی از مرکزهای دندانپزشکی مدرن ولنجک وجود دارند که از تجهیزات پیشرفته و مواد کامپوزیتی باکیفیت استفاده میکنند. انتخاب یک مرکز خوب میتواند تفاوت چشمگیری در نتیجه نهایی داشته باشد. بنابراین توصیه میشود که قبل از انتخاب دندانپزشک، به لیست بهترین دندانپزشکان کامپوزیت ونیر در ولنجک تهران نگاهی بیاندازید و با بررسی نظرات و تجربیات دیگران، بهترین مرکز را انتخاب کنید.
۳. مزایای انتخاب کامپوزیت دندان در ولنجک
یکی از دلایل محبوبیت دندانپزشکی ولنجک، وجود مراکز مدرن با کادری مجرب و استفاده از تکنولوژیهای روز دنیا است. این مراکز از مواد با کیفیت و روشهای نوین برای اجرای کامپوزیت ونیر استفاده میکنند که این موضوع باعث افزایش طول عمر و ماندگاری آن میشود. همچنین، دندانپزشکان ولنجک تجربه بالایی در این زمینه دارند که میتواند از بروز مشکلات احتمالی جلوگیری کند. بنابراین، یکی دیگر از عواملی که در انتخاب کامپوزیت دندان مؤثر است، انتخاب مرکز مناسب و هزینههای مربوطه میباشد.
۴. مراقبتهای پس از نصب کامپوزیت ونیر
برای افزایش دوام کامپوزیت، رعایت نکات مراقبتی پس از نصب بسیار اهمیت دارد. برخی از این نکات عبارتند از:
- مسواک زدن منظم و استفاده از نخ دندان: این کار کمک میکند تا از تجمع پلاکها جلوگیری شود.
- پرهیز از مصرف مواد سخت: مانند یخ و آبنباتهای سفت که میتوانند به کامپوزیت آسیب بزنند.
- مراجعه منظم به دندانپزشک: با چکاپهای منظم و پاکسازیهای دورهای، میتوانید ماندگاری کامپوزیت خود را افزایش دهید.
۵. تاثیر بیماریهای دهان بر دوام کامپوزیت
یکی دیگر از عواملی که میتواند بر طول عمر کامپوزیت تاثیر بگذارد، بیماریهای دهان و دندان مانند پوسیدگی یا مشکلات لثه است. این بیماریها به عنوان دشمن کامپوزیت دندان نیز شناخته میشوند و در صورتی که کنترل نشوند، میتوانند ماندگاری کامپوزیت را کاهش دهند. بنابراین، مراقبت از سلامتی دهان و دندان علاوه بر افزایش طول عمر کامپوزیت، به سلامتی عمومی شما نیز کمک میکند.
۶. چرا دندانپزشکی ولنجک انتخاب مناسبی است؟
چرا دندانپزشکی ولنجک؟ این سوال برای بسیاری از افراد پیش میآید. مراکز دندانپزشکی در این منطقه به دلیل دسترسی به مواد باکیفیت و برخورداری از تجهیزات مدرن، یکی از بهترین گزینهها برای کسانی است که به دنبال ماندگاری و دوام طولانی مدت کامپوزیت ونیر هستند. همچنین، تجربه دندانپزشکان ولنجک در اجرای این روش یکی دیگر از دلایل محبوبیت این منطقه است. نزدیکی به محلههای شمالی تهران و وجود کلینیکهای پیشرفته و متخصصین مجرب از دلایل انتخاب دندانپزشکی ولنجک برای بسیاری از افراد است.
بنا بر آنچه ذکر شد، میزان دوام و طول عمر کامپوزیت ونیر دندان در ولنجک به عوامل مختلفی بستگی دارد که شامل کیفیت مواد، تجربه دندانپزشک، و مراقبتهای پس از نصب میشود. انتخاب یک مرکز کامپوزیت ونیر دندان در ولنجک با تجهیزات پیشرفته و دندانپزشکی ماهر میتواند به شما اطمینان دهد که کامپوزیت شما سالها بدون مشکل باقی خواهد ماند.
عوامل موثر بر زیبایی کامپوزیت دندان:

عوامل موثر بر زیبایی کامپوزیت دندان:
- طراحی لبخند: یکی از مهمترین عوامل تاثیرگذار بر زیبایی کامپوزیت، طراحی مناسب لبخند است. یک دندانپزشک ماهر میتواند با توجه به ویژگیهای صورت و دندانهای شما، بهترین طرح را برای کامپوزیتها انتخاب کند. مرکز کامپوزیت ونیر دندان در ولنجک با استفاده از تکنولوژیهای پیشرفته و دقت بالا در طراحی، میتواند نتایج بسیار طبیعی و زیبا ایجاد کند.
- رنگ کامپوزیت: انتخاب رنگ مناسب برای کامپوزیتها، اهمیت زیادی در ظاهر نهایی آنها دارد. رنگ کامپوزیت باید با رنگ طبیعی دندانهای شما هماهنگ باشد تا نتیجه طبیعی و زیبا باشد. در دندانپزشکی ولنجک با استفاده از تکنیکهای روز و شناخت دقیق از طیفهای رنگی دندان، رنگ مناسبی برای کامپوزیت انتخاب میشود.
- تناسب و هماهنگی با دندانهای مجاور: اندازه و شکل کامپوزیتها باید با دندانهای مجاور هماهنگ باشد تا لبخند شما طبیعی به نظر برسد. یک دندانپزشک کامپوزیت دندان خوب در ولنجک تهران با دقت در طراحی و نصب کامپوزیت، به شما لبخندی جذاب و طبیعی میبخشد.
- پالیش و صاف بودن سطح کامپوزیت: پس از نصب کامپوزیت، پالیش و صیقل دادن سطح دندانها میتواند باعث براقتر و طبیعیتر به نظر رسیدن آنها شود. این کار همچنین به کاهش میزان لکهگیری و تجمع پلاک کمک میکند. مراکز دندانپزشکی مدرن در منطقه 1 تهران از تکنیکهای حرفهای برای این کار استفاده میکنند تا نتیجهای بینقص به شما ارائه دهند.
- مراقبتهای بعدی: مراقبتهای منظم از کامپوزیت و رعایت بهداشت دهان و دندان به ماندگاری و زیبایی آنها کمک زیادی میکند. مراجعه دورهای به لیست بهترین دندانپزشکان کامپوزیت ونیر در ولنجک تهران و مراقبت حرفهای باعث حفظ براقی و دوام کامپوزیتها میشود.
اهمیت مراقبتهای بعد از کامپوزیت دندان
کامپوزیت دندان به عنوان روشی محبوب در بهبود ظاهر دندانها، بهویژه در دندانپزشکی زیبایی در ولنجک تهران بسیار مورد توجه قرار گرفته است. پس از انجام این روش، مراقبتهای صحیح برای حفظ سلامت و دوام کامپوزیت ضروری است. بدون این مراقبتها، احتمال تغییر رنگ، ترک خوردن یا حتی شکستگی کامپوزیت دندان وجود دارد. در مرکز دندانپزشکی معتبر در ولنجک، بیماران پس از کامپوزیت دندان، توصیههایی دریافت میکنند که رعایت آنها بسیار اهمیت دارد:
یکی از نکات اصلی در مراقبتهای بعد از کامپوزیت، رعایت بهداشت دهان و دندان است. مسواک زدن روزانه و استفاده از نخ دندان برای جلوگیری از تجمع پلاک و جرمها ضروری است. همچنین باید از مصرف غذاهای سخت مانند آبنباتها و آجیل که میتواند به کامپوزیت آسیب بزند، پرهیز کنید. نوشیدنیهای اسیدی نیز ممکن است به تدریج به سطح کامپوزیت آسیب برسانند.
مراجعه منظم به دندانپزشک نیز بخشی حیاتی از مراقبتهای بعد از کامپوزیت است. دندانپزشک میتواند وضعیت کامپوزیتها را بررسی کرده و در صورت نیاز، ترمیم لازم را انجام دهد. انتخاب دندانپزشکی ماهر از لیست دندانپزشکان ترمیمی و زیبایی در ولنجک تهران میتواند به حفظ نتیجه دلخواه شما کمک کند. در منطقه محله ولنجک، علاوه بر کیفیت بالای خدمات دندانپزشکی، امکان استفاده از خدمات کامپوزیت دندان ولنجک نیز فراهم است که با مراقبت های مناسب، زمینه لبخندی دلنشین را برای شما فراهم میکند. این گزینه به بیماران کمک میکند تا بدون فشار مالی، به مراقبتهای دندانپزشکی دسترسی داشته باشند و از خدمات باکیفیت بهرهمند شوند. مراقبتهای پس از کامپوزیت دندان در ولنجک با رعایت بهداشت، رژیم غذایی مناسب و مراجعه منظم به دندانپزشک، به شما کمک میکند تا از زیبایی و سلامت دندانهای خود برای سالهای طولانی لذت ببرید.
مشاوره فوری تخصصی کامپوزیت دندان در ولنجک تهران
اگر به دنبال یک لبخند زیبا و جذاب هستید و میخواهید دندانهای سفیدتر و یکدستتری داشته باشید، کامپوزیت ونیر دندان در ولنجک یک انتخاب عالی برای شما خواهد بود. این روش زیبایی با استفاده از مواد کامپوزیتی با کیفیت، دندانهای شما را به شکل طبیعی و جذابی تغییر میدهد.
یکی از بزرگترین مزایای کامپوزیت دندان این است که این روش به سرعت قابل انجام است و شما میتوانید در مدت زمان کوتاهی به نتایج دلخواه خود برسید. برای افرادی که به دنبال راهحلی سریع و موثر برای بهبود لبخند خود هستند، ونیر کامپوزیت در ولنجک میتواند بهترین گزینه باشد. این روش به شما این امکان را میدهد تا بدون نیاز به اقدامات پیچیده و زمانبر، دندانهایی زیبا و لبخندی جذاب داشته باشید.
یکی از نکات کلیدی در انجام کامپوزیت دندان، انتخاب دندانپزشک مجرب و متخصص است. دندانپزشک کامپوزیت دندان ولنجک با تجربه و تخصص بالایی که در این زمینه دارد، قادر است بهترین نتیجه را برای شما فراهم کند. انتخاب یک دندانپزشک ماهر نه تنها کیفیت نتیجه نهایی را تضمین میکند بلکه ماندگاری و دوام طولانی مدت کامپوزیت نیز بهبود مییابد.
در ولنجک تهران، میتوانید از مشاوره فوری و تخصصی در زمینه کامپوزیت دندان بهرهمند شوید. این مشاوره به شما کمک میکند تا با اطمینان بیشتری تصمیمگیری کنید و بهترین روش درمانی را برای بهبود لبخند خود انتخاب کنید. در مشاورههای تخصصی، دندانپزشک وضعیت دندانهای شما را بررسی کرده و با توجه به نیازهای شما، طرح درمان مناسبی ارائه میدهد. این فرآیند به شما اطمینان میدهد که کامپوزیت دندان با بالاترین دقت و کیفیت انجام میشود.
برای افرادی که به دنبال بهترین دندانپزشک متخصص کامپوزیت ونیر دندان در ولنجک تهران هستند، ولنجک یکی از مناطق پیشرو در ارائه خدمات دندانپزشکی پیشرفته است. با وجود دندانپزشکان مجرب و کلینیکهای مدرن، شما میتوانید مطمئن باشید که خدماتی که دریافت میکنید از بالاترین استانداردها برخوردار است. تجربه و تخصص این دندانپزشکان در انجام کامپوزیت دندان به شما کمک میکند تا بدون نگرانی به نتیجه دلخواه خود برسید.
یکی از مهمترین دلایلی که بیماران به کامپوزیت ونیر دندان در ولنجک روی میآورند، طبیعی بودن و زیبایی نتیجه نهایی است. این روش علاوه بر بهبود زیبایی دندانها، به تقویت اعتماد به نفس شما نیز کمک میکند. کامپوزیت دندان نه تنها ظاهر دندانها را بهبود میبخشد، بلکه باعث افزایش راحتی و جذابیت لبخند شما میشود.
پس اگر به دنبال راهحلی سریع و موثر برای بهبود دندانهای خود هستید، پیشنهاد میشود حتماً از مشاورههای تخصصی در زمینه کامپوزیت دندان بهرهمند شوید. ولنجک به عنوان یکی از مناطق برجسته در تهران، دندانپزشکان مجربی را در اختیار شما قرار میدهد که با بهرهگیری از تکنیکهای پیشرفته، بهترین نتایج را برای شما فراهم میکنند.
هزینه کامپوزیت دندان در ولنجک
در محله ولنجک که از مناطق لوکس و معتبر تهران محسوب میشود، مراجعه به دندانپزشکان برای انجام این درمان باکیفیت بالا و خدمات پیشرفته ارائه میشود. هزینه کامپوزیت دندان در ولنجک ممکن است نسبت به سایر نقاط تهران متفاوت باشد، اما مزایای زیادی که از جمله دقت، مهارت و استفاده از مواد با کیفیت در این منطقه ارائه میشود، این هزینه را توجیه میکند.
قیمت کامپوزیت دندان در ولنجک بستگی به چندین عامل دارد. نوع مواد کامپوزیت استفاده شده، تعداد دندانهایی که نیاز به کامپوزیت دارند و تجربه و مهارت دندانپزشک از جمله عواملی هستند که میتوانند در تعیین قیمت نقش داشته باشند. با این حال، بسیاری از دندانپزشکان در این منطقه امکان پرداخت راحت تر را برای بیماران خود فراهم میکنند تا افراد بتوانند به راحتی از خدمات تخصصی بهرهمند شوند.
نوبت دهی بهترین دکترهای کامپوزیت دندان در ولنجک به صورت منظم و سریع انجام میشود، که این موضوع امکان برنامهریزی راحتتر برای بیماران را فراهم میکند.
افرادی که به دنبال کامپوزیت دندان در ولنجک هستند، میتوانند از مشاورههای اولیه رایگان بهرهمند شوند. در این جلسات، دندانپزشک وضعیت دندانهای شما را بررسی کرده و براساس نیاز شما، بهترین گزینههای درمانی و همچنین روشهای پرداخت را پیشنهاد میدهد. این مشاورهها باعث میشود تا شما بتوانید تصمیمی آگاهانه بگیرید و از روند درمان خود اطمینان داشته باشید.
در ولنجک، استفاده از کامپوزیت دندان به دلیل استفاده از جدیدترین تکنولوژیها و مواد با کیفیت، به شما این اطمینان را میدهد که لبخندی پایدار و با دوام خواهید داشت. همچنین، امکان دریافت خدمات پس از درمان و چکاپهای منظم توسط دندانپزشکان، کیفیت و طول عمر کامپوزیت دندان را تضمین میکند.
با توجه به مزایا و امکانات متنوعی که دندانپزشکان ولنجک ارائه میدهند، هزینه کامپوزیت دندان در این منطقه بسیار منطقی و مقرون به صرفه است. اگر به دنبال لبخندی زیبا و درخشان با پرداخت راحت تر و در یکی از بهترین مناطق تهران هستید، کامپوزیت دندان در ولنجک میتواند گزینهای ایدهآل برای شما باشد.
نتیجهگیری:
ماندگاری و زیبایی کامپوزیت دندان به عوامل مختلفی مانند مهارت دندانپزشک، نوع مواد استفاده شده، مراقبتهای پس از درمان و وضعیت دندانهای زیرین بستگی دارد. با انتخاب یک دندانپزشک کامپوزیت دندان خوب در ولنجک تهران و رعایت مراقبتهای لازم، میتوانید از لبخندی زیبا و ماندگار بهرهمند شوید.
سوالات متداول:
- ماندگاری کامپوزیت دندان چقدر است؟ ماندگاری کامپوزیت دندان بین 5 تا 10 سال است، اما با مراقبتهای مناسب میتواند بیشتر نیز باشد.
- آیا کامپوزیت دندان قابلیت ترمیم دارد؟ بله، در صورت آسیب یا شکستن، کامپوزیت دندان قابل ترمیم است.
- چرا دندانپزشکی ولنجک برای کامپوزیت دندان مناسب است؟ دندانپزشکی ولنجک با استفاده از تجهیزات پیشرفته و دندانپزشکان ماهر خدمات با کیفیتی ارائه میدهد که باعث محبوبیت آن شده است




