
تجربهای لوکس در بخش VIP مطب دکتر رضا خسروانی
به دنبال لبخندی بینظیر و خدمات دندانپزشکی خاص هستید؟ در بخش VIP مطب دکتر رضا خسروانی، تجربهای متفاوت و لوکس را برای شما رقم میزنیم.
وقت دهی سریع و خارج نوبت
وقتدهی شما در سریعترین زمان ممکن و به آسانی انجام میشود.
طراحی لبخند با لمینیتهای سرامیکی
تنها در یک هفته، لبخند شما به طرز شگفتانگیزی تغییر خواهد کرد.
طراحی لبخند با کامپوزیت ونیر
بازسازی فوری دندانها با کامپوزیت ونیر تنها در یک جلسه
بهترین و به روز ترین مواد
بهرهگیری از مواد باکیفیت برای نتایج ماندگار و مطمئن.
طراحی دیجیتال
طراحی دیجیتالی لبخند با دقت و کیفیت بالا.
بدون نیاز به قالبگیری سنتی
استفاده از اسکنرهای پیشرفته بدون نیاز به قالبگیری سنتی
شماری از مقالات منتشر شده دکتر سید رضا خسروانی
متخصص دندانپزشکی زیبایی و ترمیمی و عضو هیئت علمی دانشگاه شهید بهشتی تهران
در دنیای امروز که دندانپزشکی زیبایی و ترمیمی با سرعتی باورنکردنی در حال پیشرفت است، انتخاب یک متخصص با دانش بهروز و تجربه درخشان اهمیتی دوچندان یافته است. دکتر سید رضا خسروانی، با رزومهای بینظیر در انتشار مقالات تخصصی و علمی در نشریات داخلی و بینالمللی، یکی از چهرههای شاخص و پیشگام این حوزه است. پژوهشها و مقالات متعدد ایشان نه تنها گواهی بر تعهد به بهبود و گسترش علم دندانپزشکی در سطح جهانی است، بلکه تضمینی برای کیفیت و به روز بودن روشهای درمانی مورد استفاده در کلینیک ایشان به شمار میآید.
دکتر خسروانی، با تکیه بر دانش نوین و تخصصی خود، به آموزش نسل جدیدی از دندانپزشکان و ارتقاء استانداردهای درمانی در ایران اهتمام دارد. انتشار مقالات ارزشمند در زمینههایی مانند لمینیتهای سرامیکی و کامپوزیت ونیرها، نشاندهنده تلاش مستمر ایشان برای بهبود روشهای درمانی و افزایش آگاهی جامعه دندانپزشکی است. این رزومه درخشان و فعالیتهای علمی، باعث شده است که دکتر خسروانی به یکی از معتبرترین مراجع در دندانپزشکی زیبایی تبدیل شود.
اگر به دنبال لبخندی زیبا و سلامت دهان و دندانی مطمئن هستید، مراجعه به دکتر خسروانی انتخابی فراتر از یک تصمیم درمانی است؛ این انتخاب، آغاز مسیری است که زیبایی، اعتماد به نفس و سلامت را به ارمغان میآورد. دکتر خسروانی با تکیه بر دانش روز و استفاده از جدیدترین روشهای درمانی، تجربهای متفاوت و رضایتی ماندگار را برای شما رقم خواهد زد.
دکتر سید رضا خسروانی، متخصص دندانپزشکی زیبایی و ترمیمی و عضو برجسته هیئت علمی دانشکده دندانپزشکی شهید بهشتی، همچون هنرمندی ماهر، با ظرافت و دقت لبخندهایی را خلق میکند که گویی جادوی زیبایی در آنها تنیده شده است. او با کسب رتبه برتر در بورد تخصصی کشور، نه تنها از مهارت فنی بلکه از بصیرتی عمیق در شناخت نیازها و رؤیاهای بیماران بهرهمند است، تا هر لبخند را به قابی زیبا و منحصر به فرد برای هر چهره بدل کند. دستهای توانای او، همچون نقاشی که با رنگ و قلموی خود روح به بوم میبخشد، لبخندهایی را به بیماران هدیه میدهد که با هر نگاه، داستانی از زیبایی و اعتماد بهنفس روایت میکنند.
در فراسوی درمان بیماران، دکتر خسروانی نقشی والا در تعلیم و تربیت نسل آینده دندانپزشکان ایفا میکند. او با برگزاری دورههای دندانپزشکی زیبایی ویژه دندانپزشکان عمومی و متخصص، دانشی را که سالها صیقل داده، به هنرجویان انتقال میدهد و آنان را با رموز هنر دندانپزشکی آشنا میسازد. این دورهها، بسان چشمهای زلال برای تشنگان علم و تخصص است؛ دکتر خسروانی با عشق به تدریس، مسیری روشن برای دانشجویان و همکاران خود میگشاید تا به استانداردهای بالای دندانپزشکی دست یابند و بتوانند لبخندهای درخشانتری بر چهرههای بیماران خود بنشانند.
حضور دکتر خسروانی به عنوان سخنران در کنگرهها و همایشهای داخلی و بینالمللی نیز بر شکوه و اعتبار علمی او میافزاید. او همچون راویای که از افقهای نو سخن میگوید، دانش و تجربه خود را در محافل علمی به اشتراک میگذارد و با این کار، نه تنها خود را در عرصه جهانی مطرح کرده، بلکه پلی برای انتقال دانش نوین به کشور فراهم ساخته است. این تلاشها و دستاوردها، کیفیت خدماتی که در مطب ایشان ارائه میشود را گواهی میدهد؛ خدماتی که به زیبایی لبخند و طراوت زندگی بیماران معنا میبخشد
تجربیات بیماران
من دو سال پیش دندونامو پیش آقای دکتر کامپوزیت ونیر کردم. خیلی راضی هستم. ایشون بهترین دندانپزشک زیبایی هستن. شدیدا پیشنهاد می شود. 👌👌 …
- ش.م
جناب دکتر بسیار خوش برخورد و با حوصله هستن. به خوبی وقت میگذارند و بهترین نتیجه را به شما میدهند.
- ع-ق
من چند ساله پيش ايشون كارهاي دندانپزشكيم رو انجام ميدم بهترين متخصص دندانپزشكي ترميميو زيبايي هستن كه من ميشناسم
- م-ا
First class doctor. Very professional and excellent work. And i am always very satisfied with my treatment and the service i receive.
- S-KH
بهترین دندان پزشک زیبایی تهران هستند واقعا / به شدت حرفه ای در زمینه زیبایی کامپوزیت و لمینیت . من از طریق اینستگرامشون اشنا شدم و نمونه کار هاشون رو دیدم و خودم کامپوزیت انجام دادم
- س-ن
نظر مراجعین ما در گوگل
بیماران ما پس از درمان چه نظری درباره کیفیت درمان ها داشته اند؟
نظر مراجعین مطب پس از درمان
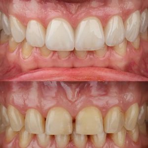
با دیدن تصاویر قبل وبعد درمان های ما، از کیفیت خدماتمان مطمئن شوید
دکتر خسروانی مفتخر به درمان صدها بیمار شده است
مطب دکتر خسروانی در شمال تهران دارای محیطی آرام و حرفه ای برای مراجعه کنندگان عزیز است
هدف درمان مشکلات دندانی شما توسط مرغوب ترین مواد موجود است
اطلاعات تماس مطب
دکتر رضا خسروانی متخصص زیبایی دندان
تهران، ولنجک، خیابان چهاردهم، پلاک ۱۹، ساختمان هوما، واحد ۵۰۴
تلفن های تماس:
۰۲۱۲۶۸۷۸۶۰۰
۰۹۰۳۵۳۶۲۷۲۸
(دسترسی راحت با کمتر از ۵۰ متر فاصله تا پارکینگ عمومی مرکز خرید توچال در ولنجک)






































