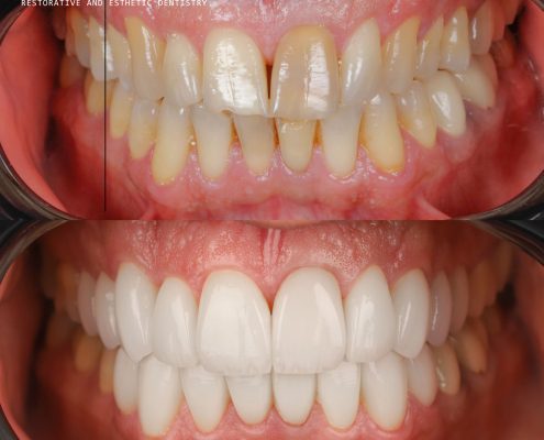
کیس درمانی لمینت سرامیکی
علت مراجعه: نارضایتی بیمار از دندانها در خط لبخند به علت بهم ریخته گی و بد رنگی دندان
درمان انجام شده: طراحی , اصلاح و بهبود خط لبخند برای بیمار
۱۸ واحد لمینیت سرامیکی در دو فک
۱۰ واحد لمینیت سرامیکی فک بالا
۸ واحد لمینیت سرامیکی فک پایین



