کیس درمانی لمینت سرامیکی
علت مراجعه: نارضایتی بیمار از دندانها در خط لبخند به علت فاصله بین دندانی و بد رنگی دندان
درمان انجام شده: طراحی , اصلاح و بهبود خط لبخند برای بیمار
۱۸ واحد لمینیت سرامیکی در دو فک
۱۰ واحد فک بالا
۸ واحد فک پایین
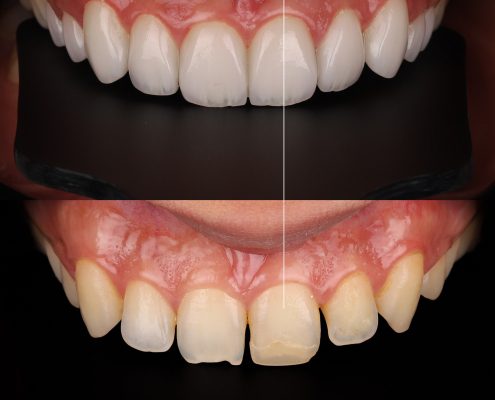
علت مراجعه: نارضایتی بیمار از دندانها در خط لبخند به علت فاصله بین دندانی و بد رنگی دندان
درمان انجام شده: طراحی , اصلاح و بهبود خط لبخند برای بیمار
۱۸ واحد لمینیت سرامیکی در دو فک
۱۰ واحد فک بالا
۸ واحد فک پایین

کیس درمانی لمینت سرامیکی