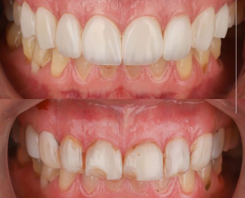
کیس درمانی ونیر کامپوزیت
علت مراجعه: نارضایتی از رنگ و فرم دندان ها و کامپوزیت های معیوب و شکسته قدیمی
درمان انجام شده: ریمو کامپوزیت های قدیمی , اصلاح و طراحی لبخند,
۸ واحد کامپوزیت ونیر در فک بالا
علت مراجعه: نارضایتی از رنگ و فرم دندان ها و کامپوزیت های معیوب و شکسته قدیمی
درمان انجام شده: ریمو کامپوزیت های قدیمی , اصلاح و طراحی لبخند,
۸ واحد کامپوزیت ونیر در فک بالا

کیس درمانی ونیر کامپوزیت دندان