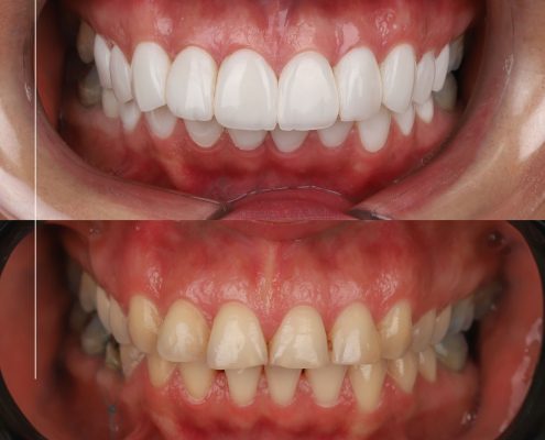
کیس درمانی ونیر کامپوزیت
علت مراجعه: نارضایتی از رنگ و فرم دندان ها در فک بالا و پایین
درمان انجام شده: اصلاح و طراحی لبخند در دو فک
انجام ۱۸ واحد ونیر کامپوزیت
۱۰ واحد کامپوزیت ونیر در فک بالا
۸ واحد کامپوزیت ونیر در فک پایین
علت مراجعه: نارضایتی از رنگ و فرم دندان ها در فک بالا و پایین
درمان انجام شده: اصلاح و طراحی لبخند در دو فک
انجام ۱۸ واحد ونیر کامپوزیت
۱۰ واحد کامپوزیت ونیر در فک بالا
۸ واحد کامپوزیت ونیر در فک پایین

کیس درمانی ونیر کامپوزیت دندان