آبسه دندان چیست و گزینه های درمان آن
آبسه دندان یک زائده چرکی و عفونی است که در نتیجه عفونت باکتریایی ممکن است در قسمتهای مختلف دندان به وجود آید. این زائده عفونی می تواند تبعات مختلفی برای دندان فرد به وجود بیاورد که ساده ترین مشکل آن درد متوسط تا شدید است و در برخی موارد ممکن است این درد به قسمتهای دیگری مانند گوش یا گردن بیمار انتقال پیدا کند.
رها کردن آبسه دندان بدون درمان میتواند وضعیت جدی و تهدید کننده ای برای حیات فرد به وجود بیاورد. با توجه به اهمیت موضوع در ادامه در مورد انواع مختلف آن صحبت خواهیم کرد و نحوه تشخیص این مشکل را هم به شما خواهیم گفت.
انواع مختلف آبسه دندان
در این نوشته می خوانید:
دندانپزشکان معیارهای مختلفی برای دستهبندی آبسه دندان دارند که مهمترین آنها مکان به وجود آمدن زائده عفونی است. از لحاظ دندانپزشکی احتمال تشکیل آبسه در سه قسمت از دندان وجود دارد:
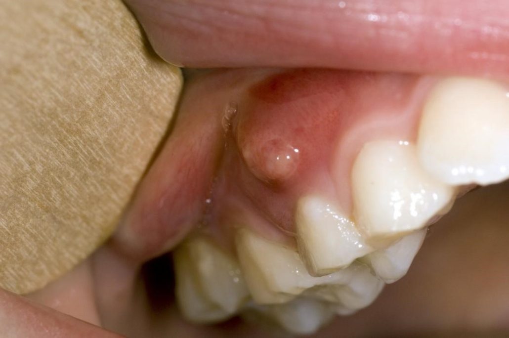
- آبسه پری اپیکال (Periapical abscess): این آبسه در نوک ریشه دندان است.
- آبسه پریودنتال (Periodontal abscess): این آبسه داخل لثه و در کنار ریشه دندان است. همچنین ممکن است به بافت و استخوان اطراف آن گسترش یابد.
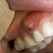
- آبسه جینجیوال (Gingival abscess): این آبسه روی لثه است.
علائم آبسه دندانی
با توجه به اینکه آبسه دندان خود را به صورت یک زائده عفونی و چرکی نشان میدهد تشخیص آن چندان سخت نیست، اما اصلی ترین علائم آن میتواند ملتهب شدن دندان ها و احساس درد در نزدیکی دندان و لثه باشد. درد ناشی از آبسه به طور ناگهانی افزایش می یابد و با گذشت زمان بدتر می شود. اما در عین حال علائم دیگری هم برای آن وجود دارد که شما می توانید به آنها استناد کنید:
- درد در قسمت دندان که به گوش و فک و گردن هم انتقال پیدا میکند
- دردی که هنگام خواب بدتر میشود
- احساس درد به هنگام جویدن و گاز زدن غذا
- ایجاد حالت قرمزی و تورم در صورت
- لثه های متورم و ملتهب
- حساسیت دندان
- فاصله گرفتن دندان ها از یکدیگر و یا لق شدن دندان
- بوی بد دهان
- طعم ناخوشایند در دهان
- متورم و ملتهب شدن غدد لنفاوی لوزه یا متورم شدن گردن
در ضمن به خاطر داشته باشید که در برخی موارد احتمال پارگی آبسه دندان وجود دارد که در این وضعیت درد به خوبی تسکین پیدا می کند. در عین حال ممکن است هنگام تخلیه چرک طعم بد ناگهانی در دهان خود احساس کنید.
علت آبسه دندانی
عدم رعایت بهداشت دهان و دندان به مرور زمان منجر به رشد باکتری ها در اطراف دندان ها و لثه های شما میشود که طبیعتاً نتیجه فعالیت آنها عفونت دندان و در نهایت آبسه دندان است. اما به طور کلی نحوه این اتفاق به نوع آبسه هم بستگی دارد:
- آبسه پری اپیکال: در این حالت باکتری ها از طریق پوسیدگی وارد دندان های شما می شوند و پالپ و قسمت های نرم داخلی دندان را تحت تاثیر خود قرار می دهند. این قسمت از دندان حاوی اعصاب و رگهای خونی است و به راحتی آسیب می بیند.
- آبسه پریودنتال: از بیماری لثه به عنوان اصلی ترین عامل این نوع آبسه دندان یاد می شود که ممکن است در برخی موارد نتیجه آسیب دیدگی دندان هم باشد.
- آبسه لثه: در این شیوه باکتری و عوامل خارجی ممکن است در اثر مسواک زدن نامناسب به یا هر شیوه دیگری وارد دهان شده و لثه را عفونی می کنند.
راهکار های درمان آبسه دندان
درمان آبسه دندانی بیشتر شامل تمیز کردن عمقی دندان هاست که عفونت را پاک کرده و منجر به تسکین درد میشود. بسته به علائم شما دندانپزشک کار خود را با پرتونگاری اشعه ایکس از وضعیت دندانها شروع میکند تا به کمک آن وضعیت شیوع عفونت در سایر قسمتهای دندانها و لثهها را مورد بررسی قرار دهد. در نهایت با توجه به نوع و شدت آبسه گزینه های درمانی شامل موارد زیر می شوند:
- تخلیه آبسه: در این شیوه دندانپزشکی یک برش کوچک در سطح آبسه ایجاد میکند و با استفاده از محلول های خاص نمکی و ضدعفونی کننده منطقه را پاک میکند.
- درمان کانال ریشه دندان: این شیوه درمانی شامل سوراخ کردن دندان آسیب دیده با استفاده از یک دریل مینیاتوری و در نتیجه تخلیه آبسه و خارج کردن پالپ آلوده دندان است. در مرحله بعد دندان پزشک محفظه پالپ دندان و کانال ریشه را با ماده مخصوص پر میکند. در نهایت یک تاج دندان برای حفظ زیبایی و حفظ حالت طبیعی دندان روی آن نصب می شود.
- کشیدن دندان: در برخی موارد دندان فرد به شدت آسیب دیده و در این وضعیت دندانپزشک چارهای جز تخلیه آبسه و در نهایت کشیدن دندان را ندارد.
- مصرف آنتی بیوتیک: اگر عفونت ناشی از آبسه دندان به سایر قسمتهای بدن گسترش یافته یا سیستم ایمنی بدن ضعیف شده باشد، دندانپزشک از گزینه های دیگری مانند آنتی بیوتیک های خوراکی برای کمک به پاک کردن عفونت استفاده می کند.
- برداشتن جسم خارجی: در برخی موارد ممکن است آبسه دندان به دلیل وجود جسم خارجی باشد که در این صورت دندانپزشکان آن را خارج می کنند و محل مورد نظر را با ماده ضدعفونی کننده پاک می کند.
به عنوان یک راهکار خانگی اگر نمی توانید بلافاصله به دندانپزشک مراجعه کنید حتماً از داروهای بدون نسخه ضد درد مانند ایبوپروفن استفاده کنید و محل آبسه را با آب نمک گرم بشویید.
عوارض احتمالی آبسه دندان
نکته مهم در مورد بیماری آبسه دندانی و حتی درمان آن این است که بعد از درمان باید محل مورد نظر به دقت توسط پزشک معاینه و تمیز شود تا مطمئن شوید که احتمال انتقال عفونت به سایر قسمت های دهان و دندان وجود ندارد. رها کردن آبسه دندان بدون درمان احتمال انتقال عفونت به فک و سایر قسمتهای سر و گردن را افزایش میدهد و حتی امکان انتقال آن به مغز هم وجود دارد. شدت این مشکل به حدی است که در برخی موارد نادر می تواند برای زندگی فرد هم خطرناک باشد. بنابراین اگر در دهان و لثه خود آبسه دارید و علائم زیر را هم دارید بلافاصله به اورژانس مراجعه کنید:
- تب شدید
- تورم صورت
- ضربان قلب سریع
- گیجی و عدم تعادل
اینها همه علائم یک عفونت جدی است که نیاز به درمان فوری دارد.
جمع بندی
آبسه دندان مشکلی است که می تواند تبعات منفی زیادی به همراه داشته باشد و به همین دلیل باید ظرف چند روز درمان شود. حتی اگر احساس کردید که آبسه به خودی خود تخلیه می شود باز هم مهم است که وضعیت خود را با دندان پزشک در میان بگذارید تا مطمئن شوید که عفونت در منطقه دیگری از بدن شما پخش نمی شود. از طرف دیگر این نکته را هم به خاطر داشته باشید که رعایت بهداشت خوب دهان و دندان و انجام معاینات منظم دندانپزشکی به صورت هر ۶ ماه یکبار خطر ابتلا به بیماری های دهان و دندان مانند بیماری لثه و آبسه دندانی را به حداقل میرساند.
اگر در این زمینه سوالی دارید یا به خدمات ترمیمی و زیبایی نیاز دارید از طریق شماره های درج شده در سایت با ما در تماس باشید…






دیدگاه خود را ثبت کنید
تمایل دارید در گفتگوها شرکت کنید؟در گفتگو ها شرکت کنید.