عوارض استعمال دخانیات از جمله سیگار برای سلامت دهان و دندان افراد
استعمال دخانیات از جمله سیگار آسیب های جبران ناپذیری به سلامتی جسمی افراد وارد می کند. مواد شیمیایی موجود در دخانیات و سیگارها علاوه بر آسیبی که به ریه افراد وارد می کند، خطرات جبران ناپذیری برای سلامت قلب، مغز، استخوان ها، دستگاه گردش خون و گوارش و همچنین پوست و موی افراد به دنبال دارد. در ادامه این مطلب با ما همراه باشید تا با تاثیرات و عوارضی که سیگار کشیدن برای سلامت دهان و دندان افراد به دنبال دارد آشنا شوید. بنا بر گزارش های ارائه شده مواد شیمیایی موجود در دخانیات از جمله تنباکو خطرات زیادی برای سلامت دهان و دندان افراد به دنبال دارد. از جمله این عوامل می توان به تنفس بدبو، خشک شدن دهان، افزایش احتمال ابتلا به سرطان دهان، کاهش احساس چشایی و بویایی، تغییر رنگ دندان ها و پوسیدگی آن ها، آسیب رسیدن به مینای دندان، تحلیل لثه ها، افزایش احتمال بروز عفونت و حساسیت در لثه ها، عقب رفتن لثه و تغییر رنگ آن می توان اشاره کرد که این عوارض در ادامه به اختصار معرفی خواهند شد.

عوارض استعمال دخانیات از جمله سیگار برای سلامت دهان و دندان
تنفس بدبو و خشک شدن دهان
در این نوشته می خوانید:
- تنفس بدبو و خشک شدن دهان
- افزایش احتمال ابتلا به سرطان دهان
- تاثیر روی حس چشایی و بویایی
- تاثیر سیگار روی تغییر رنگ دندان ها
- افزایش احتمال پوسیدگی دندان ها
- تحلیل رفتن لثه ها
- افزایش حساسیت لثه ها و احتمال ابتلا به عفونت
- عقب رفتن خط لثه
- تاثیرات سیگار روی ایمپلنت و لمینت و بلیچینگ
- چگونگی برطرف کردن آثار سیگار از روی دندان ها
- سخن نهایی
دهان افراد سیگاری و کسانی که دخانیات مصرف می کنند بوی تند و زننده ای دارد. این بو حتی با جویدن آدامس و خوردن قرص های خوشبو کننده دهان برطرف نمی شود. متاسفانه تنفس بدبو یکی از مواردی است که نه تنها خود فرد از داشتن آن خجالت زده است، بلکه اطرافیان را نیز آزرده خاطر می کند. این بوی بد در اثر وجود ترکیبات شیمیایی و مواد مضری است که در سیگار وجود دارد. در نتیجه هنگام کشیدن سیگار این مواد شیمیایی وارد دهان شده و در سطح داخلی آن باقی می ماند و نه تنها موجب تنفس بدبو می شود بلکه موجب خشک شدن دهان افراد سیگاری نیز خواهد شد.
افزایش احتمال ابتلا به سرطان دهان

– افزایش احتمال ابتلا به سرطان دهان
مواد شیمیایی و ترکیبات مضر موجود در سیگار نه تنها موجب خشک شدن دهان می شود، بلکه احتمال ابتلای افراد به سرطان دهان شامل سرطان زبان، سرطان لب، سرطان حنجره و غیره را افزایش می دهد. متاسفانه هر یک از این سرطان ها به راحتی تشخیص داده نخواهند شد و در نتیجه زمانی بیمار می فهمد که مبتلا به این سرطان ها است که دیگر خیلی دیر شده و قابل درمان نیست. گزارش ها نشان دهنده آن است که ۹۰ درصد افراد مبتلا به سرطان دهان سیگار می کشند و دخانیات مصرف می کنند.
تاثیر روی حس چشایی و بویایی
سیگار کشیدن و استعمال دخانیات به دلیل مواد شیمیایی سمی موجود در سیگار موجب تخریب گیرنده های چشایی در سطح زبان می شود و یا عملکرد آن ها را ضعیف می کند. همه این موارد موجب کاهش احساس چشایی و بویایی افراد می شود. گزارش ها نشان دهنده آن است که از هر پنج سیگاری یک نفر نمی تواند طعم ها و بوهای مختلف را به درستی شناسایی کند.
مواردی که تاکنون به آن ها اشاره شد عوارض استعمال سیگار برای سلامت دهان افراد است. در ادامه تاثیرات سیگار روی سلامت دندان ها بررسی خواهند شد.
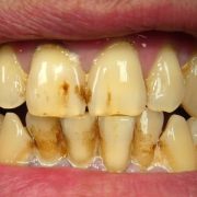
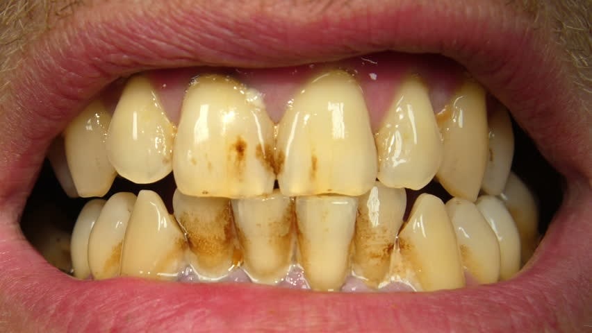
تاثیر سیگار روی تغییر رنگ دندان ها

تاثیر سیگار روی تغییر رنگ دندان ها
مصرف دخانیات از جمله سیگار می تواند موجب زرد شدن یا تغییر رنگ دندان ها به قهوه ای بشود. این مسئله زیبایی لبخند افراد سیگاری را تحت الشعاع قرار می دهد. مواد شیمیایی مضر موجود در دخانیات و سیگار عامل اصلی این تغییر رنگ است، به گونه ای که حتی سیگارهای کم نیکوتین هم موجب تغییر رنگ و زرد شدن دندان ها خواهد شد.
افزایش احتمال پوسیدگی دندان ها
مواد شیمیایی مضر موجود در سیگار نه تنها موجب تغییر رنگ دندان ها می شود بلکه دندان ها را در مقابل باکتری ها و پلاک ها آسیب پذیر می کند. در نتیجه افراد سیگاری بیشتر در معرض پوسیده شدن دندان ها و حتی از دست دادن دندان ها قرار خواهند داشت. علاوه بر این ذرات تنباکو می توانند موجب آسیب رسیدن به مینای دندان شوند. با وجودی که مینای دندان سخت ترین ماده در بدن انسان ها است با این وجود مواد شیمیایی مضر موجود در سیگار و دخانیات موجب تخریب مینای دندان می شود و همین مسئله احتمال پوسیدگی و از بین رفتن دندان ها را افزایش می دهد.
در ادامه به تاثیرات مخربی که سیگار برای سلامت لثه ها بر جای می گذارد اشاره خواهد شد.
تحلیل رفتن لثه ها
گزارش ها نشان دهنده آن است که افراد سیگاری و یا کسانی که دخانیات مصرف می کنند ۶۴% بیش از سایر افراد مبتلا به مشکلات لثه می شوند. این مسئله به دلیل وجود مواد سمی موجود در دخانیات است که موجب تحلیل لثه ها و تضعیف آن ها نیز خواهد شد.
افزایش حساسیت لثه ها و احتمال ابتلا به عفونت

افزایش حساسیت لثه ها و احتمال ابتلا به عفونت
سیگار کشیدن موجب افزایش تجمع پلاک ها و باکتری ها در دهان و دندان می شود و لثه ها و دهان را به نوعی در مقابل این مواد خطرناک بی دفاع می کند. نیکوتین یکی از اصلی ترین مواردی است که موجب کاهش رسیدن اکسیژن به بافت لثه ها می شود و در نتیجه احتمال ابتلا به عفونت لثه افزایش پیدا می کند. بیماران مبتلا به عفونت لثه ممکن است دچار خونریزی و تغییر رنگ لثه ها نیز بشوند.
عقب رفتن خط لثه
علاوه بر تغییر رنگ لثه ها و خونریزی که در اثر عفونت لثه اتفاق می افتد، استعمال دخانیات از جمله سیگار موجب می شود خط لثه افراد سیگاری نسبت به سایرین عقب تر برود و در نتیجه لبخند این افراد زیبایی خود را از دست می دهد.
علاوه بر تاثیراتی که سیگار روی سلامت دهان و دندان افراد بر جای می گذارد، همان طور که پیش از این نیز به آن اشاره شد موجب از بین رفتن دندان ها نیز خواهد شد. بنابراین عده ای از افراد سیگاری اقدام به کاشت ایمپلنت و یا استفاده از لمینت دندان، و ونیر کامپوزیت و بلیچینگ برای برطرف کردن مشکلات دهان و دندان خود می کنند اما متأسفانه در صورتی که این افراد سیگار کشیدن و استعمال دخانیات را کنار نگذارند، حتی ایمپلنت ها، لمینت ها، ونیر و بلیچینگ این افراد نیز آسیب می بیند. در ادامه تاثیرات سیگار روی ایمپلنت و لمینت و بلیچینگ به اختصار معرفی خواهند شد.
تاثیرات سیگار روی ایمپلنت و لمینت و بلیچینگ

تاثیرات سیگار روی ایمپلنت و لمینت و بلیچینگ
یکی از عواملی که پس از کاشت ایمپلنت باید افراد از انجام آن پرهیز کنند استعمال دخانیات است، زیرا موجب کاهش روند بهبود بیمار شده، احتمال ابتلا به عفونت را افزایش می دهد و حتی ممکن است موجب شکست عملیات کاشت ایمپلنت نیز بشود. مدت زمان جوش خوردن و پیوند ایمپلنت به استخوان فک افراد سیگاری نسبت به سایرین بیشتر است. علاوه بر این با توجه به تحلیل رفتن استخوان در افراد سیگاری احتمال شکست عملیات کاشت ایمپلنت در این افراد نسبت به سایرین بسیار بیشتر است. لازم به ذکر است افراد سیگاری که از ونیر استفاده می کنند دچار تغییر رنگ کامپوزیت و زردی ونیرها می شوند و حتی ممکن است در اثر ابتلا به بیماری های لثه مانند تحلیل لثه ها، ونیرهای این افراد دچار آسیب های جدی شود. لمینت ها نیز با وجودی که در برابر لکه ها غیرقابل نفوذ هستند و دچار تغییر رنگ نمی شوند، اما با توجه به مواد شیمیایی مضر موجود در سیگار، رزین کامپوزیتی دچار مشکل شده و ممکن است در نهایت تغییر رنگ پیدا کنند و لکه دار شوند. علاوه بر این مواد شیمیایی موجود در سیگار وارد منافذ دندان می شود و دوام بلیچینگ را بسیار کاهش می دهد. بنابراین افرادی که تحت درمان ونیر، لمینت، ایمپلنت یا بلیچینگ هستند باید جداً از مصرف دخانیات از جمله سیگار خودداری نمایند.
چگونگی برطرف کردن آثار سیگار از روی دندان ها

چگونگی برطرف کردن آثار سیگار از روی دندان ها
تاکنون به خطرات جبران ناپذیر سیگار کشیدن برای سلامت دهان و دندان اشاره شد، اما در صورتی که فردی به دنبال از بین بردن عوارض سیگار کشیدن باشد باید راهکارهای مخصوصی را انجام دهد. از جمله این موارد می توان به استفاده از خمیر دندان های مخصوص افراد سیگاری اشاره کرد. در این خمیردندان ها روغن نارگیل، زغال فعال، زردچوبه، آب اکسیژنه و جوش شیرین وجود دارد که در از بین بردن آثار نامطلوب سیگار بسیار موثر است. علاوه بر این محصولات سفید کننده دندان مخصوصی نیز در داروخانه ها قابل تهیه هستند. این محصولات با وجودی که دندان ها را بطور کامل سفید نمی کنند، اما می توانند تا حدودی آثار سیگار کشیدن را برطرف نمایند. برای از بین بردن بوی بد دهان نیز لازم است افراد بهداشت دهان و دندان خود را به طور ویژه رعایت کنند و از دهانشویه های مخصوص و خوشبوکننده های دهان استفاده نمایند. به این ترتیب هم کمتر در معرض ابتلا به عفونت دهان و دندان قرار می گیرند و هم بوی بد دهان آن ها برطرف خواهد شد. در کنار همه این موارد مسواک زدن به طور مرتب و سه بار در روز و نخ دندان کشیدن از اهمیت ویژه ای برخوردار است، زیرا از تجمع پلاک ها و باکتری ها در اطراف دهان و دندان جلوگیری می کند و احتمال آسیب ها و عوارض استعمال دخانیات را کاهش می دهد.
لازم به ذکر است که افراد سیگاری باید به طور مرتب برای بررسی سلامت دهان و دندان، لثه ها، پیشگیری از ابتلا به بیماری های پریودنتیت و سرطان دهان برای معاینه به متخصص زیبایی و ترمیمی مراجعه کنند. این افراد می توانند در صورت کاهش استعمال دخانیات و یا ترک آن اقدام به درمان بلیچینگ و لمینت برای برطرف کردن تغییر رنگ دندان ها و لکه های ایجاد شده روی دندان ها در اثر استعمال دخانیات نمایند و یا برای پرکردن جای خالی دندان های از دست رفته که در اثر استعمال دخانیات از بین رفته اند از عمل کاشت ایمپلنت استفاده کنند.
سخن نهایی
دخانیات نه تنها خطرات جبران ناپذیری برای سلامت کلی بدن افراد به دنبال دارد و آن ها را در معرض ناراحتی های قلبی عروقی، ریوی و آسیب های مغزی قرار می دهد، بلکه خطرات جبران ناپذیری برای سلامت دهان و دندان افراد نیز ایجاد می کند که از آن جمله می توان به تغییر رنگ دندان ها، افزایش احتمال آن ها به بیماری های عفونی لثه و از بین رفتن دندان ها اشاره کرد. این افراد باید در اولین فرصت استعمال دخانیات را ترک کنند و رعایت نکات بهداشتی دهان و دندان خود را به صورت ویژه انجام بدهند. مراجعه مرتب به متخصص دندانپزشک تهران و سایر شهرها به منظور تشخیص به موقع بیماری های دهان و دندان و پیشگیری از ابتلا به سرطان بسیار اهمیت دارد.




دیدگاه خود را ثبت کنید
تمایل دارید در گفتگوها شرکت کنید؟در گفتگو ها شرکت کنید.