فرسایش مینای دندان
فرسایش مینای دندان یکی از مشکلاتی است که هم از لحاظ ظاهری و هم از لحاظ عملکردی تأثیر بسیار بدی روی زندگی عادی فرد می گذارد. مینای دندان خارجی ترین لایه دندان را به خود اختصاص می دهد که دندان را از آسیب فیزیکی و شیمیایی محافظت می کند. بافت مینای دندان بسیار سخت است و در حقیقت سخت ترین بافت در بدن انسان محسوب می شود که حتی از استخوان هم سخت تر است.
مینا اولین سد دفاعی برای دندانهای هر فرد در برابر بسیاری از مواد شیمیایی مختلف شناخته میشود که از تاثیر مواد غذایی ساده و مایعات بدن روی دندان جلوگیری می کند. با توجه به اینکه ممکن است مینای دندان در اثر عوامل مختلف به مرور زمان از بین برود، به آن تحلیل مینای دندان یا آسیب دیدگی مینای دندان گفته می شود.
فرسایش مینای دندان می تواند با علائمی مانند لکه دار شدن دندانها و حساسیت آنها همراه باشد. متاسفانه این قسمت از دندان قابلیت بازسازی و تغییر مجدد ندارد و بهترین راهکار برای حفظ آن، رعایت اصول اولیه در مراقبت از دهان و دندان است.
علائم فرسایش مینای دندان
در این نوشته می خوانید:
طبیعتا مواد اسیدی موجود در دهان و خوراکیهایی که شما مصرف می کنید، مانند نوشابه و نوشیدنی های اسیدی به مرور زمان ساختار مینای دندان را به عنوان یک ترکیب معدنی از بین میبرند. بنابراین علائم و نشانه هایی روی مینای دندان باقی می ماند که می توانیم به موارد زیر اشاره کنیم:
- حساس شدن دندان ها به طعم، نوع و دمای غذا
- ترک خوردن و تراشه ای شدن سطح دندان
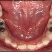
- تغییر رنگ دندان ها که ممکن است خود را به صورت لکه دار شدن نشان دهد
- ایجاد نوعی ساختار رنگی روی سطح دندان ها
در صورت مواجهه با درد، حساسیت زیاد در معرض سرما، نوشیدنی سرد و گرم، اسیدی، و غذاهای تند و نوشیدنی و تغییر رنگ در دندانها، ممکن است فرسایش مینای دندان قابل توجهی داشته باشید. بنابراین این عوامل را میتوانید به عنوان عوامل هشدار دهنده در طول روز در نظر بگیرید و کنترل بهتری روی وضعیت دندان های خود داشته باشید.
عوارض آسیب دیدگی مینای دندان
عدم توجه به تبعات فرسایش مینای دندان و ادامه پیدا کردن روند تحلیل آن، باعث می شود که علائم اولیه جای خود را به عوارض مزمن و تقریباً ثابت بدهند که تحمل آنها برای فرد بسیار سخت است. از جمله این عوارض باید به موارد زیر اشاره کنیم:
- تغییر رنگ سطح دندان ها و اصطلاحاً دندان های زرد رنگ
- حساسیت مزمن و آزاردهنده دندانها
- زبر و خشن شدن لبه دندانها و روی آنها
- ایجاد لکه های رنگی و قابل رویت روی دندان
- گسترش پوسیدگی دندان
- از بین رفتن تدریجی مینای دندان که منجر به شفاف بودن و براق بودن دندان ها می شود
- شکسته شدن دندان ها به صورت ترک خوردگی ریز یا تراشهای
علل تحلیل مینای دندان
از مواد اسیدی موجود در غذاها و مایعاتی که مصرف می کنید به عنوان اصلی ترین دلیل آسیب مینای دندان یاد می شود. خوشبختانه بزاق به طور مداوم اسید موجود در دهان را خنثی میکند تا دندانهای شما حفظ شوند. اما اگر غذای اسیدی و نوشیدنیهای اسیدی زیادی می خورید و دندان های خود را به درستی مسواک نمیزنید، به احتمال زیاد لایه بیرونی مینای دندان به مرور زمان تخریب شده و شما در معرض تحلیل مینای دندان قرار می گیرید. اما ارتباط فرسایش مینای دندان با مواد غذایی زیر بیش از هر گزینه دیگری است:
- غذاهای قندی مانند بستنی، شربت و کارامل
- غذاهای نشاسته ای، مانند نان های سفید
- غذاهای اسیدی مانند سیب، مرکبات، انواع توت ها و ریواس
- نوشیدنی های میوه ای و آب میوه ها
- سودا، که به طور معمول علاوه بر قند حاوی اسید سیتریک و فسفریک اسید مضر است
- ویتامین C اضافی که در مرکبات یافت می شود
البته دندانپزشکان معتقدند که آسیب دیدگی مینای دندان فقط محدود به نوع غذا و نوشیدنی نیست و عوامل دیگری هم در آن تاثیرگذار است که می توانیم به موارد زیر به عنوان نمونه های پزشکی اشاره کنیم:
- دندان قروچه
- ریفلاکس اسید معده مزمن، همچنین به عنوان بیماری ریفلاکس مزمن معده (GERD) شناخته می شود
- جریان کم بزاق، همچنین به عنوان زروستومی شناخته می شود که نشانه بیماری هایی مانند دیابت است
- استفاده منظم از برخی داروهای خاص مانند آنتی هیستامین ها و آسپیرین
- اختلالات خوردن مانند بولیمی، که سیستم گوارشی را مختل می کند و دندان ها را در معرض اسید معده قرار می دهد
آیا امکان رشد مجدد و ترمیم مینای دندان وجود دارد؟
مینای دندان بسیار سخت است، اما در عین حال هیچ سلول زنده ای ندارد و در صورت آسیب دیدن آن در اثر عوامل فیزیکی یا شیمیایی، قادر به ترمیم خود نیست. این جمله از این جهت اهمیت دارد که فرسایش مینای دندان برگشت پذیر نیست و مینای دندان هیچ وقت رشد نخواهد کرد. البته نکته امیدوارکننده این است که آسیب دیدگی مینای دندان معمولاً به آرامی و در طول مدت زمان زیادی رخ می دهد. بنابراین حتی اگر قبلاً بخشی از مینای دندان شما از بین رفته، با راهکارهای مختلفی می توانید از بدتر شدن شرایط جلوگیری کنید.
درمان و جلوگیری از فرسایش مینای دندان
معمولاً کسانی که در معرض آسیب دیدگی مینای دندان قرار میگیرند باید به دندانپزشک ترمیمی و زیبایی مراجعه کنند که راهکارهای درمانی مختلفی برای آنها دارند. در اولین راهکار درمانی دندانپزشک از یک ماده به رنگ دندان که به آن رزین گفته میشود برای آغشته کردن و پوشش دادن سطح دندانها استفاده میکند و از این طریق قسمت آسیب دیده دندان را می پوشاند.
با توجه به اینکه امکان تغییر رنگ رزین وجود دارد و از دندان شما محافظت می کند، معمولاً اگر فرسایش مینای دندان منجر به تغییر رنگ دندان های جلویی شده باشد، متخصص این شیوه را پیشنهاد می کند.
راهکار درمانی دیگر که در موارد شدیدتر به کار گرفته می شود، استفاده از روکش یا ونیر دندان و همچنین تاج دندان است.. این ابزارها توسط متخصص دندانپزشکی ترمیمی و زیبایی استفاده میشود تا از پوسیدگی بیشتر آن جلوگیری کند.
در عین حال هنوز هم دندانپزشکان معتقدند که بهترین راه برای درمان فرسایش مینای دندان جلوگیری از وقوع آن است. حتی اگر بخش مهمی از مینای دندان شما از بین رفته باشد و راهکارهای درمانی را به کار برده باشید، باز هم به اصول اولیه برای مراقبت از دهان و دندان خود پایبند بمانید تا از بدتر شدن شرایط جلوگیری کنید.
جمع بندی
با توجه به اینکه ما انسانها در طول زندگی خود با انواع خوراکی های اسیدی و شیمیایی در ارتباط هستیم، احتمال از بین رفتن مینای دندان وجود دارد که تحت عنوان فرسایش مینای دندان یا تحلیل مینای دندان شناخته می شود. با توجه به اینکه مینای دندان بافت زنده ندارد و احتمال ترمیم آن صفر است، روش هایی مانند ونیر دندان یا تاج دندان و همچنین پوشش دادن دندان با رزین و بهترین گزینه های درمانی هستند. حالا اگر شما احساس می کنید که بخش مهمی از مینای دندان خود را از دست داده اید و به فکر درمان آن هستید می توانید از طریق شماره های سایت با ما در تماس باشید و برای مشاوره بیشتر و رزرو وقت از آن استفاده کنید.








دیدگاه خود را ثبت کنید
تمایل دارید در گفتگوها شرکت کنید؟در گفتگو ها شرکت کنید.