هیپوپلازی مینای دندان یا نقص مینای دندان
هیپوپلازی مینای دندان نقصی در دندان است که در آن مینای دندان دچار نقص یا کمبود است. برای درک علت این موضوع، باید بدانید که مینای دندان شما چگونه کار میکند. مینای دندان لایه سخت و محافظ بیرونی دندانهای شما است و مانند زره از مناطق نرم و حساس دندان محافظت میکند. در واقع به خاطر مینای دندان است که شما میتوانید یک کاسه سوپ داغ بخورید یا از بستنی در اواسط تابستان لذت ببرید، بدون اینکه دندان شما درد بگیرد.
مینای دندان سخت ترین ماده در بدن شما است، اما متاسفانه حاوی سلولهای زنده نیست و نمیتواند خودش را ترمیم کند یا بهبود بخشد. بنابراین، اگر شما یا فرزندتان دچار هیپوپلازی مینای دندان هستید، لازم است که به دندانپزشک خود مراجعه کنید و به سرعت برای ترمیم نواحی مشکلدار اقدام کنید.
هیپوپلازی مینای دندان چیست؟
در این نوشته می خوانید:
هیپوپلازی مینای دندان همان نقص مینای دندان است که فقط در حالیکه دندانها هنوز در حال رشد هستند رخ میدهد. اما هنوز هم میتواند هم روی دندانهای شیری و هم بر دندانهای دائمی تأثیر بگذارد. این بیماری منجر به نازک شدن مینای دندان میشود، که همین امر سبب میشود که دندانهای شما در برابر پوسیدگی دندان آسیبپذیر باشند.
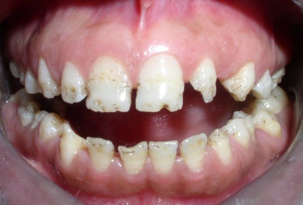
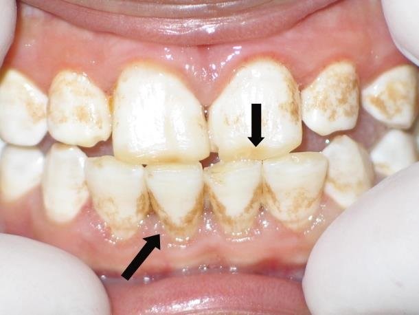
بسته به شدت، این نقص میتواند مانند یک تورفتگی کوچک در دندان به نظر برسد یا چند دندان را در سراسر دهان تحت تاثیر قرار دهد. ممکن است تغییر رنگ دندان موضعی باشد، یا تمام دندان میتواند به رنگ قهوهای تیره درآید. این امر میتواند دهان و دندان را فوقالعاده حساس کند، به خصوص برای کودکانی نوپا که تازه یاد گرفتهاند که چگونه احساسات خود را بیان کنند.
هیپوپلازی مینای دندان میتواند به دو روش بر روی دندانها تأثیر بگذارد. این نقص گاهی به عنوان یک ساختار از دست رفته فیزیکی دندان شناخته میشود و میتواند به صورت حفره ها، شیارها یا فقط قسمتهایی از دست رفته در تاج دندان باشد. اما در روش دوم، این موضوع سبب کمبود محض ماده معدنی مینای دندان است. اگر این امر به اندازه کافی شدید باشد به دندان فرد، ظاهری شفاف خواهد داد، و اگر خفیف باشد رنگ دندان حفظ میشود.
علائم قابل مشاهده این عارضه شامل لکههای سفید، حفرهها و شیارهای سطح خارجی دندانها است.
علائم هیپوپلازی مینای دندان چیست؟
همانطور که گفته شد، برخی از علائم قابل مشاهده هستند، اما تشخیص برخی دیگر دشوارترند و تا زمانیکه باعث مشکلات عمده دندانپزشکی نشوند، مورد توجه قرار نمیگیرند. داشتن مینای دندان نازک میتواند منجر به موارد زیر شود:
- حفرهها، شیارهای کوچک روی دندان
- لکههای سفید
- لکههای زرد مایل به قهوهای (جایی که لایه زیرین عاج دیده میشود)
- حساسیت به گرما و سرما
- عدم هماهنگی دندانها، پوشانندگی نامنظم دندانها
- حساسیت به اسیدهای موجود در غذا و نوشیدنی
- حفظ باکتریهای مضر
- افزایش آسیبپذیری در برابر پوسیدگی دندان و حفرهها
علت نقص مینای دندان چیست؟
در حالیکه هیپوپلازی مینای دندان هم در دندانهای کودک و هم در دندانهای بزرگسالان ممکن است رخ دهد، اغلب قبل از سه سالگی ایجاد میشود. چرا که با رشد دندانهای کودک، مینای دندان هنوز هم نرم و ضعیف است و همین امر سبب ایجاد فرصتهایی برای آسیب زودرس به مینای دندان میشود. هیپوپلازی مینای دندان دو علت عمده دارد: ارثی و محیطی.
رشد ناقص مینای دندان میتواند نتیجه یک بیماری ارثی به نام آملوژنزیس ایمپرفکتا یا هیپوپلازی مینای دندان باشد، که تخمین زده شده که حدود 1 نفر از 14000 نفر در ایالات متحده را تحت تأثیر قرار میدهد. این وضعیت همچنین میتواند باعث ایجاد دندانهای غیرمعمول کوچک و یا انواع مشکلات دندانی شود. این نقص مادرزادی میتواند به تنهایی یا به عنوان بخشی از یک سندرم اتفاق بیفتد که بر سایر قسمتهای بدن نیز تاثیر میگذارد.
سایر سندرمهای ارثی که میتوانند باعث هیپوپلازی مینای دندان شوند عبارتند از:
- سندرم آشر
- سندرم سکل
- سندرم الیس ون کرولد
- سندرمتریچر کالینز
- سندرم اتودنتال
- سندرم حذف 22q11 (سندرم ولوکاردیوفاسیال)
- سندرم هایملر
این موضوع همچنین میتواند ناشی از مسائلی قبل از تولد باشد مانند:
- کمبود ویتامین D در مادر
- افزایش وزن مادر
- استعمال سیگار توسط مادر
- مصرف دارو توسط مادر
- عدم مراقبت در دوران بارداری توسط مادر
- تولد زودرس یا وزن کم هنگام تولد
عوامل محیطی و سایر مشکلات در دوران نوزادی که میتوانند باعث هیپوپلازی مینای دندان شوند عبارتند از:
- ترومای دندان
- عفونت
- کمبود کلسیم
- کمبود ویتامینهای A ، C یا D
- زردی ، بیماری کبد
- بیماری سلیاک
- فلج مغزی به دلیل عفونت مادر یا جنین
راههای درمان نقص مینای دندان چیست؟
غربالگری و تشخیص زودهنگام بسیار مهم است. به همین دلیل کودکان باید زمانی بین درآوردن دندان اول و اولین سال تولدشان، به دندانپزشک مراجعه کنند.
درمان، به شدت بیماری بستگی دارد. اهداف درمان عبارتند از:
- جلوگیری از پوسیدگی دندان
- حفظ قابلیت گاز زدن آسان
- حفظ ساختار دندان
- نگهداری از دندانها به بهترین وجه ممکن
برخی از نقصهای کوچکتر که باعث پوسیدگی یا حساسیت نمیشوند احتمالا سریعاً به درمان نیاز نداشته باشند. اما هنوز هم به به نظارت نیاز دارند. احتمالاً دندانپزشک شما از فلوراید موضعی استفاده خواهد کرد تا از دندانها محافظت کند.
در صورت مشاهده حساسیت، حفره یا ساختار دندان که نشان از فرسایش دارد، گزینههای درمانی شامل موارد زیر است:
- محافظ دندان توسط رزین باند، که میتواند حساسیت دندان را بهبود بخشد.
- پر کردن با کامپوزیت مبتنی بر رزین، این مورد میتواند با هماهنگی نزدیک با رنگ دندان ساخته شوند، که باعث میشود آنها برای استفاده روی دندانهای جلویی یا پشتی ایدهآل شوند. آنها همچنین کاملاً بادوام هستند.
- پر کردن دندان با آمالگام دندانپزشکی، این مواد از ترکیباتی از فلزات بادوام ساخته شدهاند. به دلیل رنگ نقرهای، احتملا تمایل ندارید تا از آنها روی دندانهای جلوی خود استفاده کنید.
- پر کردن از طلا، مانند پر كردن دندان با آمالگام دندان، پر كردن طلا نیز بادوام است اما فاقد ظاهري طبيعي است. آنها همچنین گرانقیمتترین نوع درمان هستند.
- روکش ها که کاملاً دندان را میپوشانند.
- میکروآبراسیون مینای دندان، این یک روش کم خطر برای بهبود ظاهر دندانها است.
- سفید کردن دندان توسط متخصص حرفهای.
مواردی وجود دارد که دندان دائمی آنقدر دچار مشکل است که ممکن است بهترین روش کشیدن آن باشد. اگر چنین است، شما ابتدا با یک متخصص دندانپزشکی مشورت کنید.
در ادامه چند نکته معمول دیگر برای سالم نگه داشتن دندانهای شما وجود دارد:
- حداقل دو بار در روز با استفاده از مسواک نرم مسواک بزنید.
- اگر به سرما حساسیت دارید، دندان خود را با آب ولرم بشویید.
- مصرف غذاها و نوشیدنیهای قندی و اسیدی را به حداقل برسانید و همیشه بعد از مصرف آنها مسواک زده و دندانها را کاملا بشویید.
- هر زمان که مشکلی دارید و همچنین برای معاینه منظم به دندانپزشک خود مراجعه کنید.
عوارض احتمالی هیپوپلازی مینای دندان چیست؟
بدون درمان مناسب، عوارض نقص مینای دندان میتواند شامل موارد زیر باشد:
- حفره، دندان پوسیده
- قهوهای شدن کامل یک دندان
- نیاز به کشیدن دندان
- نگرانی از ظاهر لبخند خود
مواردی که این عوارض را تشدید میکنند شامل بهداشت دهان و دندان ضعیف، خوردن زیاد قند و دندانهای بسیار نامنظم (کرودینگ) است.
پیشگیری از نقص مینای دندان
اگر گمان میکنید که شما یا شخصی در خانوادهتان ممکن است هیپوپلازی مینای دندان داشته باشد، فوراً یک قرار ملاقات با دندانپزشک خود تنظیم کنید. این عارضه هرچه زودتر تشخیص داده شود، درمان موثرتری خواهد داشت.
اگرچه برای جلوگیری از هیپوپلازی مینای دندان ارثی هیچ کاری نمیتوان انجام داد، اما چند روش ساده برای کاهش یا معکوس کردن دلایل محیطی نقص مینای دندان وجود دارد. افزودن مکملهای ویتامین A یا D به رژیم غذایی شما میتواند به تقویت رشد دندان کمک کند. سبزیجات و افزایش مصرف شیر نیز میتواند کمککننده باشد.
برای بسیاری از بیماران، هیپوپلازی مینای دندان یک وضعیت مادامالعمر است که در آن بیماران به طور مداوم برای جلوگیری از پوسیدگی بیشتر باید بهداشت دهان و دندان را حفظ کنند. ممکن است دندانپزشکان برای تمیز کردن اضافه بر سازمان از بیماران بخواهند تا در طول سال به آنها مراجعه کنند، و نیاز به خمیر دندان و مسواک های حرفهای داشته باشند. مانند بسیاری از بیماریهای دهان و دندان، بهداشت مناسب و یک برنامه درمانی منظم عواملی هستند سبب کاهش ناراحتی بیماران میشوند و به آنها اجازه میدهند تا هر آنچه را که میخواهند بخورند.
داشتن مینای نازک به این معنی است که همیشه باید سلامت دندانهای خود را با دقت کنترل کنید. درمان زود هنگام بیماری میتواند به جلوگیری از مشکلات جدیتر از جمله از دست دادن دندان کمک کند. هیپوپلازی مینای دندان را میتوان با معاینات منظم و رعایت بهداشت دهان و دندان کنترل کرد.










دیدگاه خود را ثبت کنید
تمایل دارید در گفتگوها شرکت کنید؟در گفتگو ها شرکت کنید.