چرا دندان ها سیاه می شوند؟
عوامل موثر در تغییر رنگ دندان ها
در این نوشته می خوانید:
دندان های سیاه می توانند نشانه ای از وجود بیماری زمینه ای دندانپزشکی باشند که نباید نادیده گرفته شوند. معمولا دندان ها از رنگ سفید تا سفید-زرد و سفید-خاکستری در رنج متفاوتی قرار دارند. سفیدی رنگ دندان ها به دلیل وجود مقادیری از کلسیم در مینای دندان است. مینای دندان پوشش سخت و بیرونی دندان ها می باشد.
کلسیم یک ماده طبیعی سفید است. دندان ها بیشتر رنگ خود را از کلسیم دریافت می کنند. با این وجود، ممکن است شما ترکیبی از مواد دیگر را نیز در دندان های خود داشته باشید که می تواند موجب ایجاد سایه های خاکستری و زرد بر روی دندان ها شوند. مینای دندان شما به مرور زمان شروع به نازک شدن می کند که این امر باعث نمایان شدن لایه زیرین معروف به عاج دندان می شود. همین مسئله سبب ایجاد تیرگی بیشتر در دندان ها می شود. رنگ مینای دندان می تواند به دلایل خارجی نیز تغییر کند.
علل سیاه شدن دندانها
سیاه شدن دندان ها اغلب به دلیل یکی از دو نوع علت معمول خارجی یا درونی اتفاق می افتد.
علل خارجی دندان های سیاه: آسیب خارجی از بیرون دندان ها صورت می گیرد. این عوامل شامل ضربه خوردن دندان در اثر یک عامل بیرونی، تارتار یا آسیب های دیگری است که بر روی مینای بیرونی دندان تأثیر می گذارد.
علل درونی دندان های سیاه: آسیب های ذاتی از درون دندان آغاز شده و به سمت بیرون آن پیشروی می کنند. این شرایط زمانی اتفاق می افتد که یک عفونت از داخل دندان باعث پوسیدگی و آسیب به آن می شود.
به طور معمول، دندان های سیاه یک شبه به وجود نمی آیند. بلکه، این شرایط در طی مرور زمان اتفاق می افتد. در حالت ایده آل، یک فرد پیش از جدی شدن مشکل و آسیب جدی، به دندانپزشک مراجعه می کند. برخی از دلایل شایع خارجی و درونی ایجاد دندان های سیاه شامل موارد زیر می باشد:
- حفره و پوسیدگی: حفره های ایجاد شده توسط باکتری ها، موجب نابودی مینای دندان ها می شوند و سوراخ های کوچکی را نیز از خود بر جای می گذارند. این سوراخ ها می توانند ظاهری تیره به خود بگیرند.
- ترمیم دندانی: پر کردن دندان و روکش های حاوی آمالگام، به ویژه سولفید نقره ای رنگ، می توانند موجب جلوه کردن دندان ها به رنگ سیاه شوند.
- رنگ مواد غذایی: خوردن و نوشیدن محصولات غذایی با رنگ تیره مانند چای، کولا، شراب قرمز و غیره می تواند سبب لکه دار شدن دندان ها شود.
- مصرف داروهای خاص: برای مثال مکمل های مایع آهن می توانند منجر به رنگ شدن دندان ها و دندان های سیاه شوند.
- تارتار: تارتار تجمع رسوب سخت پلاک بر روی دندان است که معمولاً در زیر خط لثه پدیدار می شود. برخی از فرم های تارتار، سیاه هستند که باعث به وجود آمدن دندان های سیاه می شود.
- تنباکو: سیگار کشیدن یا استعمال تنباکو و دخانیات می تواند موجب لکه دار شدن دندان ها به طرز چشمگیری شود.
بیشتر دلایل اصلی دندان های سیاه مستلزم مراقبت های دندانپزشکی برای حذف یا معالجه آن بخش است.
در برخی از نقاط جهان دندان های سیاه به نوعی زیبا به حساب می آیند. سال ها قبل، بانوانی از کشورهایی مانند ژاپن، لائوس و ویتنام دندان های خود را به رنگ سیاه درمی آوردند. البته این روش دیگر محبوب نیست، اما برخی از افراد مسن آن کشورها ممکن است دندان های سیاه داشته باشند!!
علائم تغییر رنگ و سیاه شدن دندان
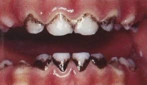
به طور معمول یک دندان به سرعت از رنگ سفید به رنگ سیاه تغییر نمی کند. قبل از شروع سیاه شدن دندان، معمولا فرد متوجه برخی علائم دیگر خواهد شد. دندان های سیاه با علائمی مانند ظهور لکه هایی روی دندان ها شروع می شوند که به رنگ قهوه ای یا خاکستری متمایل هستند. این لکه ها به مرور به سمت سیاه شدن پیش می روند. شخص به تدریج شاهد نواحی شبیه به نقاط سیاه، در بالای دندان ها، درست زیر خط لثه خواهد بود. این ظاهر در کودکانی که دارای دندان های سیاه هستند رایج است.
نواحی شایع برای ایجاد تارتار سیاه روی دندان ها در قسمت داخلی دندان های پایینی جلو یا قسمت بیرونی دندان های آسیاب است. دندان های سیاه ممکن است موجب ایجاد و گسترش پوسیدگی در نواحی ای که مینای دندان از بین رفته است، شوند.
نحوه درمان دندان سیاه
شخص حتی با بهترین مراقبت ها در منزل نیز نمی تواند دندان های سیاه را درمان کند. بلکه درمان دندان های سیاه مستلزم مراقبت و ارائه خدمات از سوی یک متخصص دندانپزشکی ترمیمی و زیبایی است. دندانپزشک دندان های شما را معاینه و ارزیابی می کند، دلایل اصلی سیاهی دندان های شما را مشخص کرده و معالجات مورد نیاز را توصیه خواهد کرد.
اگر تارتار علت اصلی دندان های سیاه باشد، ممکن است دندانپزشک سعی کند با استفاده از ابزارهای ویژه، تارتار را از بین ببرد. این ابزار شامل اسكالرهای دستی می شود كه به طور خاص برای تراشیدن پلاك و تارتار از روی دندان ها طراحی شده است. گاهی اوقات ممکن است متخصص دندانپزشکی زیبایی و ترمیمی به استفاده از ابزارهای لرزشی مخصوصی که به عنوان ابزار اولتراسونیک شناخته می شوند، نیاز داشته باشد که قادر است تارتار را از هم جدا کند.
چه زمانی سیاهی دندان از بین نمی رود؟
متأسفانه زمان هایی وجود دارد که دندانپزشک نمی تواند سیاهی دندان ها را به تنهایی با ابزارهای خود از بین ببرد. این مسئله در شرایطی پیش می آید که پوسیدگی دندان علت اصلی دندان های سیاه است. گاهی دندانپزشک می تواند پوسیدگی را از بین ببرد و سوراخ ایجاد شده ناشی از حذف پوسیدگی را پر کند. در صورتی که پوسیدگی دندان به عاج یا سطح زیرین مینای دندان رسیده باشد، ممکن است به روکش دندان نیاز داشته باشید که دندانپزشک می تواند بر روی دندان پوسیده ای که پوسیدگی از آن حذف شده است، قرار دهد.
گاهی نیز ممکن است دندان چنان دچار آسیب دیدگی یا پوسیدگی شده باشد که نتوان آن را نجات داد. در این موارد، دندانپزشک ممکن است توصیه به حذف و کشیدن دندان کند.
دندان های سیاه که به طور جدی دچار لکه شده اند را می توان با رفع حرفه ای لکه ها و سفید کردن دندان ها درمان کرد.
پیشگیری از سیاه شدن دندان
در صورتی که دندانپزشک شما قادر باشد تا زودهنگام برای حفظ و نجات دندان مداخله کند، این امر حائز اهمیت است که شما برای جلوگیری از ایجاد دوباره لکه ها، تارتار یا پوسیدگی عادت های بهداشتی مناسبی را اتخاذ نمایید. نمونه هایی از این عادت ها عبارتند از:
- از خمیر دندان حاوی فلوراید استفاده کنید و حداقل دو بار در روز مسواک بزنید.
- حداقل یک بار در روز نخ دندان بکشید یا از یک مسواک بین دندانی استفاده کنید.
- تعیین قرار ملاقات های منظم با دندانپزشک طبق توصیه وی (ممکن است نیاز باشد تا هر چهار تا شش ماه یک بار به دندانپزشک مراجعه کنید، البته برای برخی از افراد با پوسیدگی شدید نیاز به تعیین قرارهای ملاقات بیشتری است).
- داشتن یک رژیم غذایی سالم از میوه ها، سبزیجات و غلات کامل (از نوشیدنی ها و غذاهای قندی باید پرهیز شود زیرا قند باعث جذب باکتری های ایجاد کننده پوسیدگی می شود)
- جلوگیری و درمان خشکی مزمن دهان که ناشی از مصرف برخی داروهای خاص یا داشتن یک بیماری زمینه ای که باعث خشکی دهان می شود (بزاق و رطوبت باعث از بین رفتن باکتری های مضر می شوند، بنابراین در شخصی که از خشکی دهان رنج می برد بیشتر احتمال پوسیدگی وجود دارد)
به دلیل پیشرفت های بسیار خوب در صنعت دندانپزشکی، در حالت ایده آل فرد می تواند با بهداشت مناسب دهان و دندان، از سیاه شدن دوباره دندان های خود جلوگیری نماید.
دندانپزشک ترمیمی زیبایی، بهترین شخص برای تعیین دلایل ایجاد دندان های سیاه اعم از سیاهی دندان در اثر لکه، تارتار یا پوسیدگی است. فارغ از علت ایجاد آن، فرد برای درمان دندان های سیاه به کمک حرفه ای نیاز خواهد داشت. تمرین صحیح بهداشت دندان می تواند به جلوگیری از سیاه شدن دندان ها کمک کند. پس از حذف سیاهی دندان ها و با مراقبت مناسب، شخص می تواند هرگز دوباره دندان های سیاه را در دهان خود مشاهده نکند.






دیدگاه خود را ثبت کنید
تمایل دارید در گفتگوها شرکت کنید؟در گفتگو ها شرکت کنید.