کوچک بودن دندان یا میکرودنشیا
دندان های کوچک و نحوه ترمیم آن ها
در این نوشته می خوانید:
میکرودنشیا چیست؟
درست مانند هر چیز دیگری در بدن انسان، دندان ها نیز می توانند در ابعاد و اندازه های مختلفی وجود داشته باشند، به عنوان مثال ممکن است شما دندان هایی بزرگتر از حد متوسط داشته باشید که به آن ماکرودنشیا گفته می شود و یا ممکن است دندان هایی کوچک تر از حد متوسط داشته باشید که در آن صورت به آن میکرودنشیا گفته می شود.
در واقع میکرودنشیا یک اصطلاح پزشکی است که دندانپزشکان برای دندان هایی که ابعاد آن ها به نظر می رسد نسبت به سایر دندان ها به صورت غیرمتعارفی کوچکتر باشد، به کار می رود. برخی از افراد برای توصیف این مسئله از عنوان دندان های کوچک استفاده می کنند.
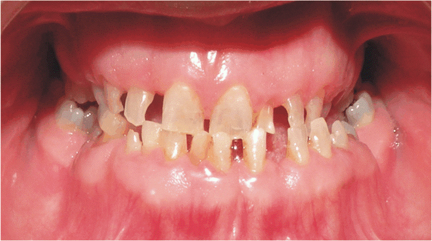
میکرودنشیا عموما برای یک تا دو دندان اتفاق می افتد و رخ دادن این مشکل برای همه دندان ها امری غیر متعارف است. یک فرد می تواند بدون داشتن هیچ علامتی مبتلا به میکرودنشیا باشد اما این مسئله در برخی مواقع با شرایط ژنتیکی فرد مرتبط خواهد بود.
انواع مختلف کوچک بودن دندان
میکرودنشیا انواع مختلفی دارد که در ادامه هر یک از آن ها معرفی خواهند شد:
- میکرودنشیا گسترده
این نوع از بیماری میکرودنشیا در واقع نادرترین نوع آن محسوب می شود. این بیماری عموما در افرادی که دچار مشکل هیپوفیز و یا مبتلا به سندروم داون هستند بیشتر رخ می دهد. در اثر این بیماری تعداد زیادی از دندان های فرد نسبت به اندازه عادی کوچک تر خواهند بود و ممکن است از بین کل دندان ها فقط یک دندان در اندازه نرمال خود باشد.
- میکرودنشیا نسبتاً عمومی
در صورتی که در یکی از فک ها دندان هایی با اندازه های کمی کوچکتر از حد نرمال وجود داشته باشد، دندان ها کوچک به نظر می رسند. اما عموماً این نوع از میکرودنشیا را به عنوان یک توهم حساب می کنند زیرا ممکن است فردی فک نسبتاً بزرگ یا برآمده ای نسبت به سایر افراد داشته باشد، این مسئله نیز بیشتر در مواقعی اتفاق می افتد که دندان های یک فک به پدر و دندان های فک دیگر به مادر تشابه یافته باشد. نکته مهم در این قسمت به کار بردن کلمه نسبتاً است، زیرا در بسیاری از مواقع همانطور که پیش از این نیز به آن اشاره شد، به دلیل بزرگ بودن اندازه فک، دندان ها کوچک تر به نظر می رسند، در صورتی که ممکن است در واقعیت اینگونه نباشد.
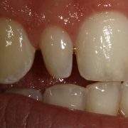
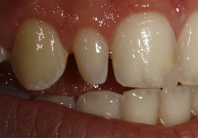
- میکرودنشیا موردی
این نوع از میکرودنشیا تنها شامل یک دندان می شود که در مقایسه با سایر دندان های قرار گرفته در اطراف آن بیش از حد معمول کوچک است. در بیشتر موارد این دندان های کوچک دارای ریشه های کوچک نیز هستند، حتی اگر تاج دندان ها حالتی مشابه حالت طبیعی داشته باشد. انواع مختلفی از این نوع میکرودنشیا وجود دارد که شامل میکرودنشیا ریشه دندان ها، میکرودنشیا تاج دندان ها و میکرودنشیا کل دندان ها می شود.
میکرودنشیای موردی رایج ترین نوع این بیماری است و به طور معمول روی دندان های فک بالا بیشتر از فک پایین تاثیر می گذارد. در واقع دندان های قرار گرفته در کناره های فک بالا دندان هایی هستند که بیشتر تحت تاثیر این بیماری قرار می گیرند.
دندان هایی که کنار دو دندان جلویی قرار می گیرند، به عنوان دندان های نیش یا دندان های قرار گرفته در کناره های دهان مشخص می شوند. شکل دندان های نیش ممکن است طبیعی باشد و یا مانند یک میخ حالت مثلثی داشته باشد، اما در صورت ابتلا به میکرودنشیا با هر ظاهری، دندان کوچکتر از حد نرمال خواهد بود.
برخی مواقع ممکن است فردی در یک طرف فک خود یک دندان داشته باشد و در طرف دیگر اصلاً دندانی نداشته باشد و یا دندان طرف دیگر سالم باشد. همچنین باید گفت دندان های مولر سوم یا دندان های عقل نیز گاهی اوقات تحت تاثیر این بیماری قرار می گیرند و ممکن است بسیار کوچک تر از سایر دندان های آسیاب باشند.
دلایل کوچک بودن دندان ها
بیشتر افراد تنها یک مورد میکرودنشیا دارند، یعنی فقط یکی از دندان های آن ها نسبت به سایرین اندازه کوچک تری دارد، اما در برخی مواقع نادر، یک سندروم ژنتیکی می تواند دلیل ابتلا به دندان های کوچک در افراد باشد که در آن صورت تعداد بیشتری از دندان ها تحت تاثیر قرار خواهند گرفت. میکرودنشیا عموماً در اثر عوامل محیطی و ارثی اتفاق می افتد. در ادامه شرایط مرتبط با میکرودنشیا معرفی خواهند شد.
- مشکل هیپوفیز
یکی از انواع مشکلات، بیماری های هیپوفیز است که می تواند موجب میکرودنشیای گسترده شود. زیرا در این حالت به نظر می رسد بیشتر دندان ها به صورت یکنواخت، کوچک تر از اندازه متوسط طبیعی هستند.
- شیمی درمانی یا پرتو درمانی
قرار گرفتن تحت شیمی درمانی یا پرتو درمانی در دوران نوزادی یا اوایل کودکی، قبل از شش سالگی می تواند تاثیرات منفی روی رشد دندان ها گذاشته و همچنین موجب ایجاد میکرودنشیا شود.
- شکاف کام و لب ها
در صورتی که کام و لب نوزاد به درستی در دوران جنینی تشکیل نشود، ممکن است نوزاد با شکاف کام به دنیا بیاید. یک کودک می تواند شکاف لب، شکاف کام یا هر دو ناهنجاری را داشته باشد. ناهنجاری های دندانی نیز بیشتر در ناحیه شکاف کام و لب مشاهده می شوند و بنابراین ممکن است میکرودنشیا در ناحیه ای که شکاف کام وجود دارد ایجاد شود.
- ناشنوایی مادرزادی
ناشنوایی مادرزادی روی گوش نوزاد و رشد دندان های وی تأثیر می گذارد. نوزادانی که با این شرایط متولد می شوند ممکن است دارای ساختارهای بسیار کوچکی در ناحیه گوش خود باشند و همچنین دندان های این نوزادان در بیشتر مواقع بسیار کوچکتر از حد نرمال است و با فاصله نسبتاً زیادی از هم قرار می گیرد.
- سندروم داون
مطالعات نشان می دهد که افراد مبتلا به سندروم داون بیشتر از سایر افراد در معرض ناهنجاری های دندانی قرار می گیرند. علاوه بر میکرودنشیا وجود دندان هایی به شکل مثلثی یا میخ شکل معمولاً در افراد مبتلا به سندروم داون بیشتر مشاهده می شود.
- دیسپلازی های اکتودرمال
دیسپلازی های اکتودرمال گروهی از شرایط ژنتیکی هستند که روی روند تشکیل پوست، مو و ناخن ها تاثیر می گذارند و همچنین می توانند موجب ایجاد دندان های کوچک در فرد بیمار بشوند. علاوه بر این دندان ها در این افراد معمولاً به شکل مخروطی هستند و همچنین ممکن است بسیاری از دندان ها خیلی زود از بین بروند.
- کم خونی فانکونی
افراد مبتلا به کم خونی فانکونی مشکلی در مغز استخوان خود دارند که موجب می شود سلول های خونی به اندازه کافی تولید نشوند. این افراد بسیار احساس خستگی می کنند. افراد مبتلا به کم خونی فانکونی علاوه بر مشکلات گفته شده ممکن است دارای ناهنجاری های جسمی مانند کوتاهی قد، مشکلات چشم و گوش، فرم بد انگشتان دست و ناهنجاری در ناحیه دستگاه تناسلی باشند.
- سندروم گورلین_چادری_ماس
این سندروم یک بیماری بسیار نادر است که موجب می شود استخوان های جمجمه بسیار زود هنگام بسته شود. این امر موجب ایجاد ناهنجاری هایی در ناحیه سر و صورت می شود که از جمله آن ها می توان به ظاهر صاف در قسمت میانی صورت و چشم های کوچک اشاره کرد. افرادی که مبتلا به این سندروم هستند عموما دچار هایپودنسیتی یا فقدان دندان ها خواهند بود.
- سندروم ویلیامز
این سندروم یک بیماری نادر ژنتیکی است که روی روند رشد اجزای صورت تاثیر می گذارد. در نتیجه این بیماری دندان هایی با فاصله زیاد و یا دهان بیش از اندازه گشاد ایجاد می شود. علاوه بر این سندروم ویلیامز می تواند موجب سایر ناهنجاری های جسمی مانند بروز مشکلات قلبی و مشکلاتی در نواحی رگ های خونی و یا اختلالات یادگیری شود.
- سندروم ترنر
سندروم ترنر یک اختلال کروموزومی است که بیشتر در بانوان اتفاق می افتد. از مشخصه های عمومی این سندروم می توان به کوتاهی قد، گردن کج، نارسایی قلبی و نارسایی های زودرس تخمدان اشاره کرد. این سندروم همچنین می تواند موجب کوتاه شدن عرض دندان ها نیز بشود.
- سندروم ریگر
این یک بیماری ژنتیکی نادر است که موجب بروز ناهنجاری چشم، تغییر رنگ دندان ها یا از بین رفتن آن ها و بروز ناهنجاری هایی در نواحی جمجمه و صورت می شود .
- سندروم هالرمن استریف
به این سندروم، سندروم چشم نیز گفته می شود که موجب ناهنجاری های فک و صورت خواهد شد. از جمله ویژگی های فرد مبتلا به این سندروم می توان به سر کوتاه و پهن و فک پایین کوچک اشاره کرد.
- سندروم رت باند تامسون
این سندروم به صورت بروز لکه های قرمز در ناحیه صورت کودک مشاهده می شود که کم کم گسترش می یابد و در نتیجه این امر روند رشد کودک کند شده پوست نازک می شود و موها شروع به ریزش می کنند. مژه ها نیز می ریزند و همچنین سرانجام موجب بروز ناهنجاری هایی در نواحی استخوان دندان و ناخن خواهد شد.
چه موقع باید دندانپزشک مراجعه کرد؟
دندان هایی که به صورت غیر عادی کوچک هستند یا اندازه کوچک دارند و فاصله بین آن ها زیاد است ممکن است به درستی روی هم قرار نگیرند، بنابراین ممکن است فرد مبتلا که می تواند بزرگسال یا خردسال باشد در معرض سایش بیشتر دندان ها قرار بگیرد و یا ممکن است غذا به راحتی بین دندان ها گیر بیفتد و دندان ها را فرسوده کند.
بنابراین در صورتی که در ناحیه دهان یا فک خود احساس درد می کنید و یا متوجه وجود آسیب دیدگی در ناحیه دندان خود شده اید، فوراً با یک دندانپزشک قرار ملاقات بگذارید تا دندانهای شما را معاینه کند و تشخیص دهد چه درمانی برای آن ها مفید خواهد بود. در بیشتر مواقع میکرودنشیای موضعی نیازی به درمان خاص ندارد.
روش های درمان میکرودنشیا
در صورتی که داشتن میکرودنشیا موجب بروز نگرانی از نظر زیبایی برای دندان های شما شده است و می خواهید ظاهر دندان های خود را بهبود ببخشید و لبخندی زیبا داشته باشید، می توانید به یک دندانپزشک مراجعه کنید. دندانپزشک روش هایی برای بهبود ظاهر دندان های شما ارائه می کند که شامل موارد زیر است:
- ونیر
ونیرهای دندانی روکش های نازکی هستند که معمولاً از جنس پرسلن یا رزین هستند. بنابراین دندانپزشک ونیرها را روی دندان های شما می چسباند تا ظاهری یک دست و بدون هرگونه تیرگی و لکه ای داشته باشد.
- روکش
روکش دندان ها یک مرحله پیچیده تر از ونیرها هستند و به جای یک پوسته نازک، بیشتر شبیه یک کلاهک برای دندان های شما هستند که کل دندان های جلو و عقب را پوشش می دهند. گاهی اوقات دندانپزشکان برای آماده کردن روکش دندان باید بخش هایی از دندان را بتراشند اما بسته به اندازه دندان شما ممکن است این مرحله نیاز نباشد.
- کامپوزیت
به این روش درمانی باندینگ دندان یا پیوند کامپوزیتی نیز گفته می شود. در این هنگام دندانپزشک یک ماده رزینی کامپوزیتی به سطح دندان می زند. این مواد هنگام تابش نور به آن ها سفت می شوند و پس از سفت شدن ظاهری شبیه به یک دندان معمولی با اندازه ای طبیعی پیدا می کنند.
کامپوزیت ها همچنین می تواند دندان های شما را در برابر هرگونه ساییدگی و پوسیدگی که ظاهری نازیبا به آن ها می بخشند، محافظت کند.
آزمایش برای یافتن دلیل ژنتیکی زمینه این بیماری
بسیاری از میکرودنشیاهای گسترده دلایل زمینه ای ژنتیکی دارند. در حقیقت تحقیقات نشان می دهد یافتن فردی که مبتلا به میکرودنشیای گسترده در ناحیه همه دندان ها است بدون داشتن هیچ نوع سندروم زمینه ای بسیار نادر است.
در صورتی که فردی در خانواده شما یکی از اختلالات ژنتیکی ذکر شده در بالا را داشته باشد و یا دندان هایی با اندازه کوچکتر از حد معمول داشته باشد، بهتر است در این خصوص به پزشک و یا دندانپزشک کودک خود اطلاع رسانی کنید.
همچنین اگر خود شما یا کودکتان یک یا دو دندان دارید که کوچک تر از حد معمول به نظر می رسد، ممکن است دندان ها به خاطر همین، ترتیب رشد خود را از دست داده باشند و هیچ سندروم زمینه ای و یا اختلال ژنتیکی دلیل آن نباشد.
در صورتی که سابقه خانوادگی یا بیماری ژنتیکی زمینه ای ندارید اما معتقدید که برخی از ویژگی های صورت و ناحیه دهان و دندان فرزند شما نامعمول به نظر می رسد بهتر است از دندانپزشک و یا پزشک مخصوص کودک خود بخواهید آن ها را ارزیابی کند.
پزشک ممکن است بنا به تشخیص خود از آزمایش خون و یا آزمایش ژنتیک برای تعیین این که کودک شما ممکن است بیماری دیگری داشته باشد یا نه استفاده کند.
سخن پایانی
ممکن است داشتن یک دندان کوچک در میان همه دندان ها هیچ مشکلی برای کسی ایجاد نکند، اما اگر نگران زیبایی ظاهری دندان ها یا چگونگی قرار گرفتن آن ها روی هم هستید، ممکن است بخواهید به دندانپزشک مراجعه کنید. دندانپزشک می تواند روش های مختلفی برای درمان این مشکل مانند استفاده از ونیر یا روکش به شما ارائه کند، اما در برخی موارد میکرودنشیا ممکن است موجب یک مسئله بزرگ تر برای سلامتی باشد که نیازمند رسیدگی بیشتر است.
پس اگر علائم و نشانه های غیر معمولی در دهان خود مشاهده می کنید و یا اگر کودکتان علائم ظاهری غیرمعمولی در صورت و دهان خود دارد، توصیه می شود حتماً در این خصوص به یک دندان پزشک متخصص مراجعه کنید.











دیدگاه خود را ثبت کنید
تمایل دارید در گفتگوها شرکت کنید؟در گفتگو ها شرکت کنید.